Suppr超能文献

表达Foxl1的间充质细胞构成肠道干细胞微环境。

Foxl1-expressing mesenchymal cells constitute the intestinal stem cell niche.

作者信息

Aoki Reina, Shoshkes-Carmel Michal, Gao Nan, Shin Soona, May Catherine L, Golson Maria L, Zahm Adam M, Ray Michael, Wiser Caroline L, Wright Christopher V E, Kaestner Klaus H

机构信息

Department of Genetics and Center for Molecular Studies in Digestive and Liver Diseases, Perelman School of Medicine, University of Pennsylvania, Philadelphia, PA, USA.

Vanderbilt University Program in Developmental Biology, Vanderbilt Center for Stem Cell Biology, Department of Cell and Developmental Biology, Vanderbilt University Medical Center, Nashville, TN, USA.

出版信息

Cell Mol Gastroenterol Hepatol. 2016 Feb 1;2(2):175-188. doi: 10.1016/j.jcmgh.2015.12.004.

Abstract

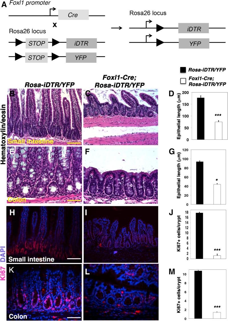
BACKGROUND & AIMS: Intestinal epithelial stem cells that express Lgr5 and/or Bmi1 continuously replicate and generate differentiated cells throughout life. Previously, Paneth cells were suggested to constitute an epithelium-intrinsic niche that regulates the behavior of these stem cells. However, ablating Paneth cells has no effect on maintenance of functional stem cells. Here, we demonstrate definitively that a small subset of mesenchymal, subepithelial cells expressing the winged-helix transcription factor Foxl1 are a critical component of the intestinal stem cell niche.

METHODS

We genetically ablated Foxl1 mesenchymal cells in adult mice using two separate models by expressing either the human or simian diphtheria toxin receptor (DTR) under Foxl1 promoter control.

CONCLUSIONS

Killing Foxl1 cells by diphtheria toxin administration led to an abrupt cessation of proliferation of both epithelial stem- and transit-amplifying progenitor-cell populations that was associated with a loss of active Wnt signaling to the intestinal epithelium. Therefore, Foxl1-expressing mesenchymal cells constitute the fundamental niche for intestinal stem cells.

摘要

背景与目的

表达Lgr5和/或Bmi1的肠道上皮干细胞在整个生命过程中持续复制并产生分化细胞。此前,有人提出潘氏细胞构成一个调节这些干细胞行为的上皮内源性微环境。然而,去除潘氏细胞对功能性干细胞的维持没有影响。在此,我们明确证明,一小部分表达翼状螺旋转录因子Foxl1的间充质、上皮下细胞是肠道干细胞微环境的关键组成部分。

方法

我们通过在Foxl1启动子控制下表达人类或猿猴白喉毒素受体(DTR),使用两种不同模型对成年小鼠的Foxl1间充质细胞进行基因消融。

结论

通过给予白喉毒素杀死Foxl1细胞导致上皮干细胞和过渡扩增祖细胞群体的增殖突然停止,这与肠道上皮活性Wnt信号的丧失有关。因此,表达Foxl1的间充质细胞构成肠道干细胞的基本微环境。

https://cdn.ncbi.nlm.nih.gov/pmc/blobs/2d11/4980750/6622deb649dc/gr1.jpg

文献AI研究员

20分钟写一篇综述,助力文献阅读效率提升50倍。

立即体验

用中文搜PubMed

大模型驱动的PubMed中文搜索引擎

马上搜索

文档翻译

学术文献翻译模型,支持多种主流文档格式。

立即体验