Ozmen Zafer, Aktas Fatma, Okan İsmail, Özsoy Zeki, Arıcı Akgül
Department of Radiology, Gaziosmanpaşa University, School of Medicine, Gaziosmanpaşa St, Tokat, Turkey.
Department of General Surgery, Gaziosmanpaşa University, School of Medicine, Gaziosmanpaşa St, Tokat, Turkey.
Radiol Case Rep. 2016 Jan 12;11(1):4-10. doi: 10.1016/j.radcr.2015.11.001. eCollection 2016 Mar.
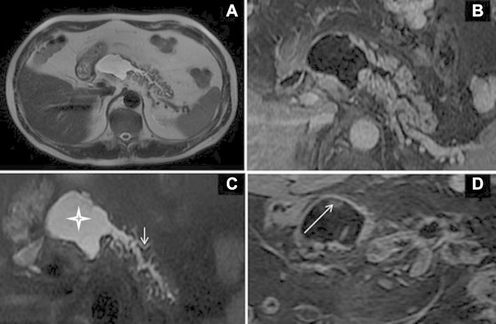
Intraductal papillary mucinous neoplasia (IPMN) is one of the cystic neoplasias of the pancreas. The imaging findings provide that these tumors are differentiated from the other cystic lesions of the pancreas, especially from the chronic pancreatitis, where the treatment protocol is completely different. Therefore, the correct diagnosis and classification of the IPMN ensures that the patient receives the correct approach and the appropriate surgery, if necessary. The purpose of this study is to emphasize the imaging findings of the different types of the IPMN and the changes in the management protocol of the patients according to these radiological findings.
导管内乳头状黏液性肿瘤(IPMN)是胰腺的囊性肿瘤之一。影像学表现提示这些肿瘤可与胰腺的其他囊性病变相鉴别,尤其是与治疗方案完全不同的慢性胰腺炎相鉴别。因此,IPMN的正确诊断和分类确保患者在必要时能接受正确的治疗方法和适当的手术。本研究的目的是强调不同类型IPMN的影像学表现以及根据这些影像学结果患者管理方案的变化。