Suppr超能文献

不同等级口腔黏膜下纤维化中肌腱蛋白表达的免疫组织化学分析

Immunohistochemical analysis of tenascin expression in different grades of oral submucous fibrosis.

作者信息

Tak Jalaj, Rao Nirmala N, Chandra Akhilesh, Gupta Neha

机构信息

Department of Oral Pathology and Microbiology, Shree Bankey Bihari Dental College and Research Centre, Ghaziabad, India.

Department of Oral Pathology and Microbiology, Manipal College of Dental Sciences, Manipal, Karnataka, India.

出版信息

J Oral Maxillofac Pathol. 2015 Sep-Dec;19(3):291-6. doi: 10.4103/0973-029X.174645.

Abstract

AIM

Tenascin, a glycoprotein, is one of the major constituents of extracellular matrix, which may function in organizing the stroma in normal and pathological conditions. The study aimed to correlate the structural organization of tenascin with the pathological progression of disease from early, moderate and advanced changes in oral submucous fibrosis (OSMF).

STUDY DESIGN

A retrospective cross-sectional immunohistochemical (IHC) analysis of OSMF cases was performed. Total 70 slide samples were prepared for the study from 35 formalin-fixed paraffin-embedded tissue blocks with 10 each from histologically proven and graded as early, moderate and advanced OSMF and 5 of normal oral mucosa. The IHC sections were analyzed for the intensity and pattern of tenascin expression at the junction of epithelium and connective tissue (ECJ) and deeper connective tissue (CT), as well as presence or absence of staining around inflammatory cells, fibroblast and endothelial cells using anti-human tenascin.

RESULT

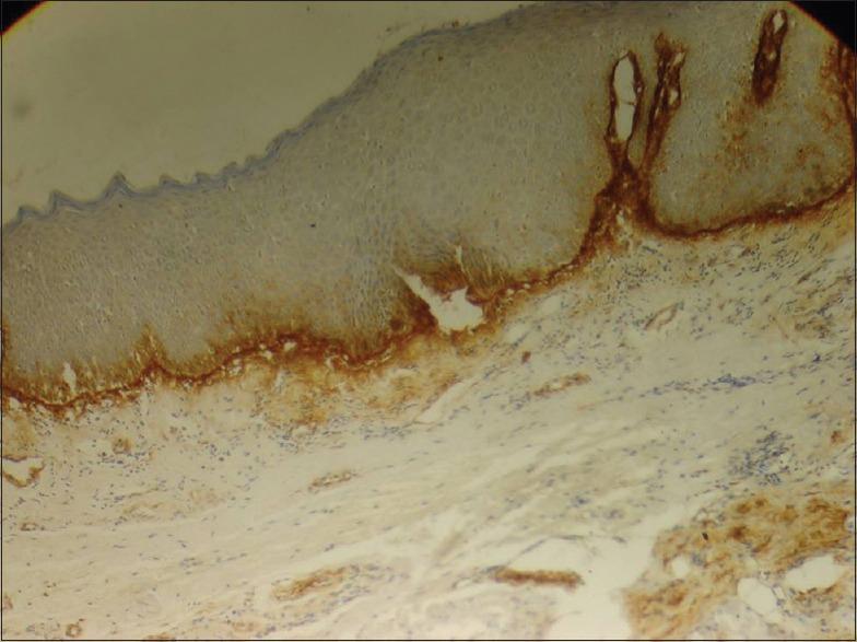
Most of the OSMF cases showed retention of antigen at ECJ and in deeper CT. Its expression varied in different grades as well as around inflammatory cells, fibroblast and endothelial cells in same tissue section. Highly significant P values of 0.001 and 0.003 were obtained for tenascin intensity and pattern, respectively, at ECJ in different OSMF grades. In addition, for the expression of tenascin pattern in deeper CT among different OSMF grades, a significant P value of 0.018 was obtained.

CONCLUSION

A differential expression of tenascin was observed with the progression of disease. The expression of tenascin as bright and continuous deposition at ECJ in early and moderate stages of OSMF signifies either proliferative organization within the overlying epithelium or an epithelial-mesenchymal interaction. However, a weak immunoreactivity of tenascin at ECJ was observed in advanced stage of OSMF.

摘要

目的

腱生蛋白是一种糖蛋白,是细胞外基质的主要成分之一,在正常和病理条件下可能参与组织基质的构建。本研究旨在将腱生蛋白的结构组织与口腔黏膜下纤维化(OSMF)从早期、中期到晚期变化的疾病病理进展相关联。

研究设计

对OSMF病例进行回顾性横断面免疫组织化学(IHC)分析。从35个福尔马林固定石蜡包埋组织块制备了总共70个载玻片样本,其中10个来自经组织学证实并分级为早期、中期和晚期OSMF的样本,5个来自正常口腔黏膜。使用抗人腱生蛋白对免疫组织化学切片分析腱生蛋白在上皮与结缔组织交界处(ECJ)和更深层结缔组织(CT)的表达强度和模式,以及炎症细胞、成纤维细胞和内皮细胞周围是否存在染色。

结果

大多数OSMF病例在ECJ和更深层CT显示抗原保留。其表达在不同分级以及同一组织切片中的炎症细胞、成纤维细胞和内皮细胞周围有所不同。在不同OSMF分级的ECJ处,腱生蛋白强度和模式的P值分别为0.001和0.003,具有高度显著性。此外,对于不同OSMF分级中更深层CT的腱生蛋白模式表达,获得了显著的P值0.018。

结论

随着疾病进展观察到腱生蛋白的差异表达。在OSMF早期和中期,腱生蛋白在ECJ处呈明亮且连续的沉积表达,这表明在上覆上皮内的增殖组织或上皮-间充质相互作用。然而,在OSMF晚期,在ECJ处观察到腱生蛋白的免疫反应较弱。

https://cdn.ncbi.nlm.nih.gov/pmc/blobs/ce68/4774280/bc043d15fbe1/JOMFP-19-291-g001.jpg

文献检索

告别复杂PubMed语法,用中文像聊天一样搜索,搜遍4000万医学文献。AI智能推荐,让科研检索更轻松。

立即免费搜索

文件翻译

保留排版,准确专业,支持PDF/Word/PPT等文件格式,支持 12+语言互译。

免费翻译文档

深度研究

AI帮你快速写综述,25分钟生成高质量综述,智能提取关键信息,辅助科研写作。

立即免费体验