Suppr超能文献

黏液纤维肉瘤——病例报告

Myxofibrosarcoma - Case report.

作者信息

de Castro Breno Augusto Campos, Piancastelli André Costa Cruz, Meyer Renata Leal Bregunci, Piancastelli Patricia Mourthe, Ribeiro Carlos Alberto, Miranda Rubem Mateus Campos

机构信息

Hospital da Polícia Militar de Minas Gerais, Belo Horizonte, MG, Brazil.

Hospital Belo Horizonte, Belo Horizonte, MG, Brazil.

出版信息

An Bras Dermatol. 2016 Jan-Feb;91(1):97-9. doi: 10.1590/abd1806-4841.20163922.

Abstract

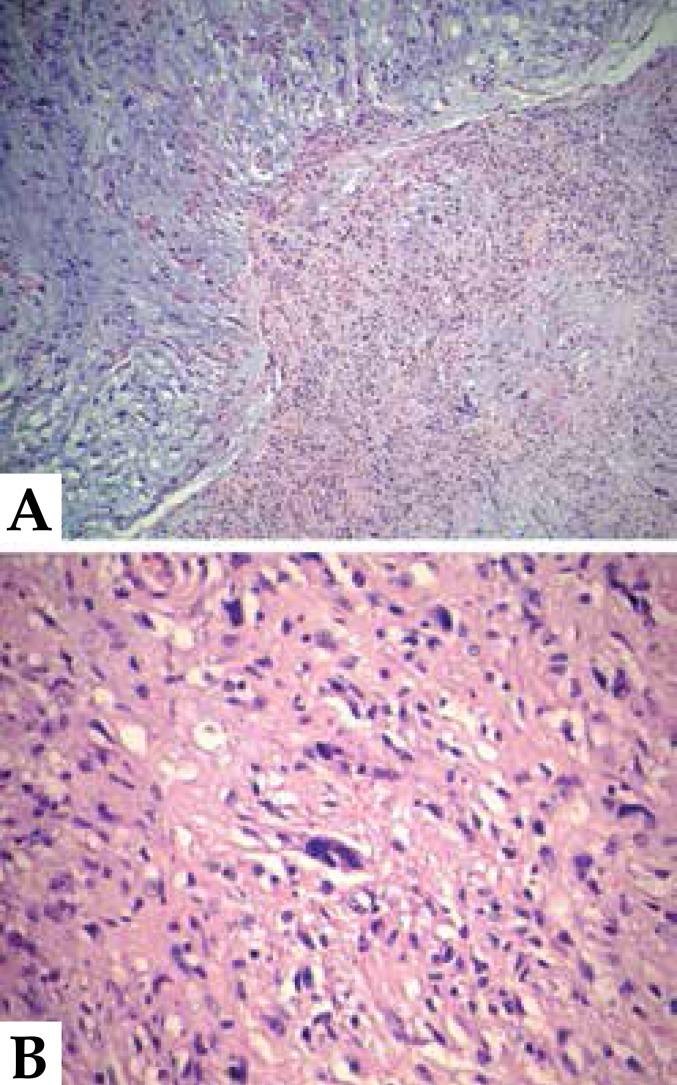
Myxofibrosarcoma is recognized as a malignant neoplasm of fibroblastic origin with increased prevalence in the elderly, presenting as nodules or tumors that may extend to the dermis and skeletal muscle, preferably in the lower limbs. Histologically it is characterized by a proliferation of spindle cells in a myxoid stroma. Myxofibrosarcoma has a high potential for local recurrence and metastasis, mainly when it presents a high or intermediate histological grade. We report the case of an eighty-four year old patient with a difficult diagnosis of a highly aggressive tumor.

摘要

黏液纤维肉瘤被认为是一种起源于成纤维细胞的恶性肿瘤,在老年人中发病率增加,表现为结节或肿瘤,可延伸至真皮和骨骼肌,以下肢最为常见。组织学上,其特征是在黏液样基质中梭形细胞增生。黏液纤维肉瘤具有较高的局部复发和转移潜能,主要发生在组织学分级为高级别或中级别时。我们报告了一例84岁患者,其诊断为高度侵袭性肿瘤存在困难。

https://cdn.ncbi.nlm.nih.gov/pmc/blobs/dd6c/4782656/8025226320b1/abd-91-01-0097-g01.jpg

文献AI研究员

20分钟写一篇综述,助力文献阅读效率提升50倍。

立即体验

用中文搜PubMed

大模型驱动的PubMed中文搜索引擎

马上搜索

文档翻译

学术文献翻译模型,支持多种主流文档格式。

立即体验