Suppr超能文献

右臂多发性皮肤黏液纤维肉瘤:临床病理特征及鉴别诊断

Multiple cutaneous myxofibrosarcoma on the right arm: Clinicopathological features and differential diagnosis.

作者信息

Ruan Shi-Fan, Zhang Peng, Huang Jinwen, Gong Ting, Ji Chao

机构信息

Department of Dermatology the First Affiliated Hospital of Fujian Medical University Fuzhou China.

Key Laboratory of Skin Cancer of Fujian Higher Education Institutions, the First Affiliated Hospital Fujian Medical University Fuzhou China.

出版信息

Clin Case Rep. 2024 Feb 16;12(2):e8346. doi: 10.1002/ccr3.8346. eCollection 2024 Feb.

Abstract

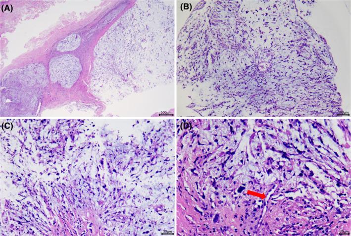
The clinical presentations and pathological features of low-grade myxofibrosarcoma can be misleading, frequently resulting in diagnostic errors. An accurate diagnosis requires the application of immunohistochemistry techniques and the discerning diagnostic acumen of experienced pathologists. A 62-year-old male patient visited our outpatient clinic with multiple painful and rapidly enlarging subcutaneous nodules on his right forearm. Initially, the condition was misdiagnosed as multiple lipomas. The final pathology revealed characteristics consistent with low-grade myxofibrosarcoma.

摘要

低度恶性黏液纤维肉瘤的临床表现和病理特征可能具有误导性,常常导致诊断错误。准确的诊断需要应用免疫组织化学技术以及经验丰富的病理学家敏锐的诊断洞察力。一名62岁男性患者因右前臂出现多个疼痛且迅速增大的皮下结节前来我院门诊就诊。最初,该病情被误诊为多发性脂肪瘤。最终病理显示其特征符合低度恶性黏液纤维肉瘤。

https://cdn.ncbi.nlm.nih.gov/pmc/blobs/496c/10870797/0ca9b1e42a00/CCR3-12-e8346-g002.jpg

文献AI研究员

20分钟写一篇综述,助力文献阅读效率提升50倍。

立即体验

用中文搜PubMed

大模型驱动的PubMed中文搜索引擎

马上搜索

文档翻译

学术文献翻译模型,支持多种主流文档格式。

立即体验