Suppr超能文献

乳腺错构瘤:14例未被充分认识和报道的病例报告

Breast hamartoma: A report of 14 cases of an under-recognized and under-reported entity.

作者信息

Amir R A, Sheikh S S

机构信息

University of Dammam, Dhahran, Saudi Arabia.

Dhahran Health Center, Johns Hopkins Aramco Healthcare, Dhahran, Saudi Arabia.

出版信息

Int J Surg Case Rep. 2016;22:1-4. doi: 10.1016/j.ijscr.2016.03.007. Epub 2016 Mar 14.

Abstract

OBJECTIVES

Mammary hamartoma is a rare benign lesion accounting for approximately 4.8% of all benign breast masses. It is often underdiagnosed and therefore is underreported mostly due to lack of awareness of the characteristic clinical and histological features. Raising awareness of this poorly recognized benign entity is of utmost significance as it clinically mimics other breast tumors including both benign and malignant ones. This study is to report and present our experience of breast hamartomas from Johns Hopkins Aramco Healthcare in the Eastern province of Saudi Arabia from which there have not been previous studies in literature.

METHOD

A retrospective review of our pathology files was done from 1994 to 2014 for cases diagnosed as breast hamartoma during this 20 year period.

RESULTS

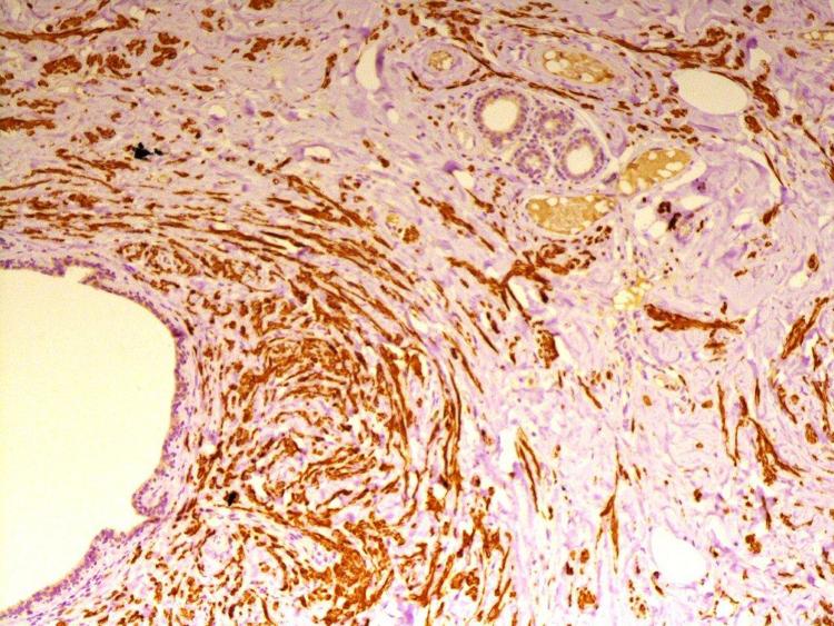
A total of 14 cases with diagnosis of breast hamartoma were identified in our institute. Histologically the lesion is mostly sharply demarcated showing a mixture of varying proportions of fibrous, adipose, and glandular tissue. 13 cases were seen in females (93%) and only one rare occurrence in a male patient (7%). The age ranges quite vastly from 18 to 51 years (mean 33 years). Two-third of these lesions were seen involving the right breast (9 cases/64.3%) and only one-third in the left side (5 cases/35.7%). 13 out of 14 patients had a well circumscribed lesion (92.9%) while only 1 case showed irregular borders (7.1%). The size varied from 1.4 to 9.5cm. Three cases (21.4%) showed evidence of myoid differentiation, a histopathologic variance which is important to identify however has no clinical significance. 3 cases had associated epithelial ductal hyperplasia of the usual type varying from mild (2 cases) to moderate (1 case); with two of these cases exhibiting additional features of fibrocystic mastopathy including adenosis, apocrine metaplasia, and cyst formation. None of our cases showed any malignancy or pseudoangiomatous stroma hyperplasia (PASH).

摘要

目的

乳腺错构瘤是一种罕见的良性病变,约占所有乳腺良性肿块的4.8%。它常常被漏诊,因此报告较少,主要是因为对其特征性临床和组织学特征认识不足。提高对这种认识不足的良性病变的认识至关重要,因为它在临床上可模仿其他乳腺肿瘤,包括良性和恶性肿瘤。本研究旨在报告并展示我们在沙特阿拉伯东部省约翰霍普金斯阿美医疗中心对乳腺错构瘤的诊治经验,此前文献中尚无相关研究。

方法

对1994年至2014年期间诊断为乳腺错构瘤的病例进行回顾性病理档案研究。

结果

我们研究所共确诊14例乳腺错构瘤病例。组织学上,病变大多界限清晰,显示出不同比例的纤维组织、脂肪组织和腺组织混合存在。13例见于女性(93%),男性患者仅1例(7%)。年龄范围跨度很大,从18岁至51岁(平均33岁)。这些病变中三分之二见于右侧乳腺(9例/64.3%),左侧仅占三分之一(5例/35.7%)。14例患者中有13例病变边界清晰(92.9%),仅1例边界不规则(7.1%)。大小从1.4厘米至9.5厘米不等。3例(21.4%)显示有肌样分化证据,这是一种组织病理学变异,虽对识别很重要,但无临床意义。3例伴有普通类型的上皮导管增生,程度从轻度(2例)到中度(1例)不等;其中2例还表现出纤维囊性乳腺病的其他特征,包括腺病、大汗腺化生和囊肿形成。我们的病例均未显示任何恶性或假血管瘤性间质增生(PASH)。

https://cdn.ncbi.nlm.nih.gov/pmc/blobs/c617/4802348/ac1ac8d7766a/gr1.jpg

文献AI研究员

20分钟写一篇综述,助力文献阅读效率提升50倍。

立即体验

用中文搜PubMed

大模型驱动的PubMed中文搜索引擎

马上搜索

文档翻译

学术文献翻译模型,支持多种主流文档格式。

立即体验