Suppr超能文献

II型内漏:挑战与解决方案

Type II endoleaks: challenges and solutions.

作者信息

Brown Andrew, Saggu Greta K, Bown Matthew J, Sayers Robert D, Sidloff David A

机构信息

Department of Vascular Surgery, Queens Medical Centre, University of Nottingham, Nottingham, UK.

Department of Cardiovascular Sciences, National Institute for Health Research Leicester Cardiovascular Biomedical Research Unit, University of Leicester, Leicester, UK.

出版信息

Vasc Health Risk Manag. 2016 Mar 2;12:53-63. doi: 10.2147/VHRM.S81275. eCollection 2016.

Abstract

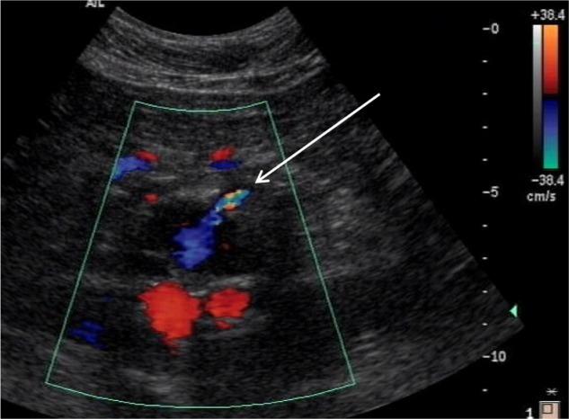
Type II endoleaks are the most common endovascular complications of endovascular abdominal aortic aneurysm repair (EVAR); however, there has been a divided opinion regarding their significance in EVAR. Some advocate a conservative approach unless there is clear evidence of sac expansion, while others maintain early intervention is best to prevent adverse late outcomes such as rupture. There is a lack of level-one evidence in this challenging group of patients, and due to a low event rate of complications, large numbers of patients would be required in well-designed trials to fully understand the natural history of type II endoleak. This review will discuss the imaging, management, and outcome of patients with isolated type II endoleaks following infra-renal EVAR.

摘要

II型内漏是腹主动脉瘤腔内修复术(EVAR)最常见的血管内并发症;然而,对于其在EVAR中的重要性存在不同观点。一些人主张采取保守方法,除非有明确的瘤体扩张证据,而另一些人则认为早期干预最有利于预防诸如破裂等不良晚期结局。在这类具有挑战性的患者群体中缺乏一级证据,并且由于并发症发生率较低,需要大量患者参与精心设计的试验才能全面了解II型内漏的自然病程。本综述将讨论肾下EVAR术后孤立性II型内漏患者的影像学表现、治疗及预后。

https://cdn.ncbi.nlm.nih.gov/pmc/blobs/b9f3/4780400/492889a51942/vhrm-12-053Fig1.jpg

文献AI研究员

20分钟写一篇综述,助力文献阅读效率提升50倍。

立即体验

用中文搜PubMed

大模型驱动的PubMed中文搜索引擎

马上搜索

文档翻译

学术文献翻译模型,支持多种主流文档格式。

立即体验