Suppr超能文献

SOX10/CD271(p75神经营养因子受体)与β-半乳糖苷酶在小儿患者大至巨大先天性黑素细胞痣中的共表达

Coexpression of SOX10/CD271 (p75(NTR)) and β-Galactosidase in Large to Giant Congenital Melanocytic Nevi of Pediatric Patients.

作者信息

Barysch Marjam J, Levesque Mitchell P, Cheng Phil, Karpova Maria B, Mihic-Probst Daniela, Civenni Gianluca, Shakhova Olga, Sommer Lukas, Biedermann Thomas, Schiestl Clemens, Dummer Reinhard

机构信息

Department of Dermatology, University Hospital Zurich, Switzerland.

Department of Pathology, University Hospital Zurich, Switzerland.

出版信息

Dermatopathology (Basel). 2014 May 1;1(1):35-46. doi: 10.1159/000362490. eCollection 2014 Jan-Jul.

Abstract

BACKGROUND

Congenital melanocytic nevi (CMNs) are melanocytic neoplasms that can transform into melanoma. However, this development is impeded in the majority of cases and mostly affects patients with large or giant CMNs.

METHODS

To elucidate mechanisms that keep CMNs from malignant transformation, CMN tissue biopsies were investigated for p-ERK and senescence markers by immunohistochemistry and for SOX10/CD271 (p75(NTR)) by immunofluorescence. CMN cells were cultivated, and MTT assays were performed for evaluating cell viability. Mutation status for NRAS and BRAF was performed by real-time PCR.

RESULTS

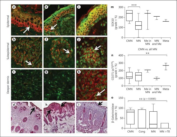
13 CMNs (from patients aged 0.5-11.8 years, mean: 2.7) showed immunoreactivity for SOX10/CD271 (p75(NTR)) in 34.2%. p-ERK was immunoreactive in 80% (4/5); β-galactosidase was significantly stronger expressed in CMNs compared to melanocytic nevi of patients over 70 years (p = 0.0085). The 5 CMN cultures were immunoreactive for SOX10/CD271 (p75(NTR)) in 36.7%. By silencing SOX10 by siRNA in 2 CMN cell cultures, cell viability decreased significantly. NRAS(Q61K) mutation was found in 91.7% (11/12) and BRAF(V600E) in 6.3% of all analyzable CMNs (1/16).

CONCLUSIONS

Oncogene-induced senescence might prevent malignant transformation through activation of the mitogen-activated protein kinase pathway. SOX10 is necessary for the viability of human CMN cell cultures and may be responsible for clinical changes during aging.

摘要

背景

先天性黑素细胞痣(CMNs)是可转变为黑色素瘤的黑素细胞肿瘤。然而,在大多数情况下这种转变会受到阻碍,且主要影响患有大型或巨型CMNs的患者。

方法

为阐明阻止CMNs发生恶性转化的机制,通过免疫组织化学研究CMN组织活检中的p-ERK和衰老标志物,并通过免疫荧光研究SOX10/CD271(p75(NTR))。培养CMN细胞,并进行MTT试验以评估细胞活力。通过实时PCR检测NRAS和BRAF的突变状态。

结果

13例CMNs(患者年龄0.5 - 11.8岁,平均2.7岁)中,34.2%显示SOX10/CD271(p75(NTR))免疫反应性。p-ERK在80%(4/5)中呈免疫反应性;与70岁以上患者的黑素细胞痣相比,CMNs中β-半乳糖苷酶表达明显更强(p = 0.0085)。5种CMN培养物中,36.7%显示SOX10/CD271(p75(NTR))免疫反应性。在2种CMN细胞培养物中通过siRNA沉默SOX10后,细胞活力显著下降。在所有可分析的CMNs中,91.7%(11/12)发现NRAS(Q61K)突变,6.3%(1/16)发现BRAF(V600E)突变。

结论

癌基因诱导的衰老可能通过丝裂原活化蛋白激酶途径的激活来阻止恶性转化。SOX10对人CMN细胞培养物的活力是必需的,并且可能是衰老过程中临床变化的原因。

https://cdn.ncbi.nlm.nih.gov/pmc/blobs/a21f/4772933/4146bb8e8dde/dpa-0001-0035-g01.jpg

文献AI研究员

20分钟写一篇综述,助力文献阅读效率提升50倍。

立即体验

用中文搜PubMed

大模型驱动的PubMed中文搜索引擎

马上搜索

文档翻译

学术文献翻译模型,支持多种主流文档格式。

立即体验