Suppr超能文献

病例报告:一名患有不明原因深静脉血栓形成的男性咯血的罕见病因。

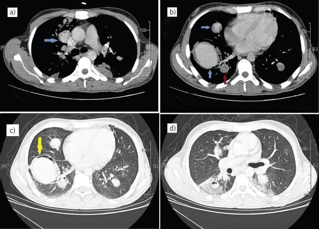
Case report: A rare cause of haemoptysis in a male with unprovoked deep venous thrombosis.

作者信息

Mahmoud Mahmoud I, Saadany Ayman, Hassan Maged, Essam Hatem

机构信息

Chest Diseases Dept, Faculty of Medicine, Alexandria University, Alexandria, Egypt.

出版信息

Breathe (Sheff). 2016 Mar;12(1):e12-9. doi: 10.1183/20734735.010715.

Abstract

A case report depicting a rare cause for the unusual entity of pulmonary artery aneurysm http://ow.ly/YvA1y.

摘要

一篇病例报告描述了肺动脉瘤这一罕见病症的罕见病因http://ow.ly/YvA1y。

https://cdn.ncbi.nlm.nih.gov/pmc/blobs/bc53/4818239/edd666ac1b20/EDU-0107-2015.01.jpg

文献AI研究员

20分钟写一篇综述,助力文献阅读效率提升50倍。

立即体验

用中文搜PubMed

大模型驱动的PubMed中文搜索引擎

马上搜索

文档翻译

学术文献翻译模型,支持多种主流文档格式。

立即体验