• 文献检索
  • 文档翻译
  • 深度研究
  • 学术资讯
  • Suppr Zotero 插件Zotero 插件
  • 邀请有礼
  • 套餐&价格
  • 历史记录
应用&插件
Suppr Zotero 插件Zotero 插件浏览器插件Mac 客户端Windows 客户端微信小程序
定价
高级版会员购买积分包购买API积分包
服务
文献检索文档翻译深度研究API 文档MCP 服务
关于我们
关于 Suppr公司介绍联系我们用户协议隐私条款
关注我们

Suppr 超能文献

核心技术专利:CN118964589B侵权必究
粤ICP备2023148730 号-1Suppr @ 2026

文献检索

告别复杂PubMed语法,用中文像聊天一样搜索,搜遍4000万医学文献。AI智能推荐,让科研检索更轻松。

立即免费搜索

文件翻译

保留排版,准确专业,支持PDF/Word/PPT等文件格式,支持 12+语言互译。

免费翻译文档

深度研究

AI帮你快速写综述,25分钟生成高质量综述,智能提取关键信息,辅助科研写作。

立即免费体验

股骨纵向应力性骨折:一种罕见的表现。

Longitudinal stress fracture of the femur: A rare presentation.

作者信息

Bilreiro Carlos, Bahia Carla, Castro Miguel Oliveira E

机构信息

Centro Hospitalar do Algarve, Serviço de Radiologia, Sítio do Poço Seco, 8500-338 Portimão, Portugal.

出版信息

Eur J Radiol Open. 2016 Feb 3;3:31-4. doi: 10.1016/j.ejro.2016.01.003. eCollection 2016.

DOI:10.1016/j.ejro.2016.01.003
PMID:27069976
原文链接:https://pmc.ncbi.nlm.nih.gov/articles/PMC4811848/
Abstract

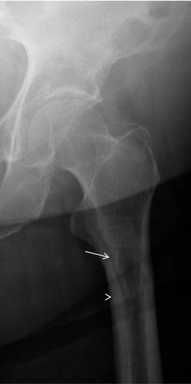
We present the case of an 80 year old woman with hip pain, caused by a longitudinal femoral insufficiency stress fracture, depicted with radiographs, CT and MR. This type of fracture is very rare, with only a few cases reported. We conducted a literature review and compared the findings with the present case.

摘要

我们报告一例80岁女性因股骨纵向应力性骨折导致髋部疼痛的病例,通过X线片、CT和磁共振成像(MR)进行了描述。这种类型的骨折非常罕见,仅有少数病例报道。我们进行了文献综述,并将研究结果与本病例进行了比较。

https://cdn.ncbi.nlm.nih.gov/pmc/blobs/1076/4811848/3df52b747bc1/gr3.jpg
https://cdn.ncbi.nlm.nih.gov/pmc/blobs/1076/4811848/cb89657f6166/gr1.jpg
https://cdn.ncbi.nlm.nih.gov/pmc/blobs/1076/4811848/a49f4ca8795f/gr2.jpg
https://cdn.ncbi.nlm.nih.gov/pmc/blobs/1076/4811848/3df52b747bc1/gr3.jpg
https://cdn.ncbi.nlm.nih.gov/pmc/blobs/1076/4811848/cb89657f6166/gr1.jpg
https://cdn.ncbi.nlm.nih.gov/pmc/blobs/1076/4811848/a49f4ca8795f/gr2.jpg
https://cdn.ncbi.nlm.nih.gov/pmc/blobs/1076/4811848/3df52b747bc1/gr3.jpg

相似文献

1
Longitudinal stress fracture of the femur: A rare presentation.股骨纵向应力性骨折:一种罕见的表现。
Eur J Radiol Open. 2016 Feb 3;3:31-4. doi: 10.1016/j.ejro.2016.01.003. eCollection 2016.
2
Incomplete Intertrochanteric Fracture: A Pattern Analysis Using Multiplanar Reformation Computed Tomography.不完整股骨转子间骨折:应用多平面重建 CT 的分型分析。
Clin Orthop Surg. 2022 Sep;14(3):328-334. doi: 10.4055/cios21058. Epub 2022 Apr 14.
3
Multiplanar reformation computed tomogram is better than MR imaging in decision making for apparently isolated fractures of the greater trochanter.多层重建 CT 优于 MRI 成像,有助于明确诊断大转子的隐匿性骨折。
J Orthop Trauma. 2013 Aug;27(8):e181-5. doi: 10.1097/BOT.0b013e31827d0ad8.
4
Imaging findings in symptomatic patients with femoral diaphyseal stress injuries.
Acta Radiol. 2006 May;47(4):377-84. doi: 10.1080/02841850600570508.
5
Computed tomography for occult fractures of the proximal femur, pelvis, and sacrum in clinical practice: single institution, dual-site experience.临床实践中计算机断层扫描用于检测股骨近端、骨盆和骶骨隐匿性骨折:单机构、双地点经验
Emerg Radiol. 2018 Jun;25(3):265-273. doi: 10.1007/s10140-018-1580-4. Epub 2018 Jan 11.
6
Bilateral subchondral insufficiency fracture of the femoral head.双侧股骨头软骨下不全骨折。
Orthopedics. 2008 Apr;31(4):399. doi: 10.3928/01477447-20080401-36.
7
Longitudinal insufficiency fractures of the femoral shaft.股骨干纵向不全骨折。
Rev Rhum Engl Ed. 1995 Jan;62(1):48-52.
8
[Computer tomography in the diagnosis and therapy of acetabular fractures].[计算机断层扫描在髋臼骨折诊断与治疗中的应用]
Srp Arh Celok Lek. 2001 Jul-Aug;129(7-8):194-8.
9
Femoral neck fractures after removal of hardware in healed trochanteric fractures.已愈合的转子骨折取出内固定后发生的股骨颈骨折。
Injury. 2017 Dec;48(12):2619-2624. doi: 10.1016/j.injury.2017.11.031.
10
Flat chest projection in the detection and visualization of rib fractures: A cross-sectional study comparing curved and multiplanar reformation of computed tomography images in different reader groups.平胸投影在肋骨骨折检测和可视化中的应用:一项在不同阅读者群组中比较 CT 图像曲面及多平面重建的横断面研究。
Forensic Sci Int. 2019 Oct;303:109942. doi: 10.1016/j.forsciint.2019.109942. Epub 2019 Sep 12.

引用本文的文献

1
Osteoid osteoma appearing after bony fracture in a girl with osteogenesis imperfecta.成骨不全症女孩骨折后出现骨样骨瘤。
Skeletal Radiol. 2025 Jan;54(1):147-151. doi: 10.1007/s00256-024-04672-w. Epub 2024 Apr 22.
2
[Stress fractures of the lower limbs].[下肢应力性骨折]
Orthopade. 2021 Sep;50(9):763-774. doi: 10.1007/s00132-021-04139-z. Epub 2021 Aug 20.

本文引用的文献

1
Longitudinal femoral shaft due to bone insufficiency. A review of three cases.由于骨量不足导致的股骨干纵向病变。三例病例回顾。
Joint Bone Spine. 2003 Dec;70(6):526-31. doi: 10.1016/s1297-319x(03)00051-4.
2
Unusual longitudinal stress fractures of the femoral diaphysis: report of five cases.股骨干不寻常的纵向应力性骨折:5例报告
Skeletal Radiol. 1999 Feb;28(2):81-5. doi: 10.1007/s002560050478.
3
Longitudinal tibial stress fractures: a report of eight cases and review of the literature.
J Comput Assist Tomogr. 1998 Mar-Apr;22(2):265-9. doi: 10.1097/00004728-199803000-00020.
4
General case of the day. Longitudinal stress fracture of the left femoral diaphysis and stress reaction in the right femur.当日普通病例。左股骨干纵向应力性骨折及右股骨应力反应。
Radiographics. 1997 Jul-Aug;17(4):1007-10. doi: 10.1148/radiographics.17.4.9225399.
5
Longitudinal tibial stress fracture.
Orthopedics. 1996 Mar;19(3):263; 66; 68; 70. doi: 10.3928/0147-7447-19960301-18.
6
Stress fractures.应力性骨折
Radiology. 1996 Apr;199(1):1-12. doi: 10.1148/radiology.199.1.8633129.
7
[Longitudinal fatigue fissure of the femoral diaphysis: apropos of a first case].[股骨干纵向疲劳性裂隙:首例报道]
Rev Rhum Ed Fr. 1994 Oct;61(9):651-3.
8
Longitudinal stress fractures of the tibia: diagnosis with CT.胫骨纵向应力性骨折:CT诊断
Radiology. 1988 Jun;167(3):799-801. doi: 10.1148/radiology.167.3.3363144.