Suppr超能文献

通过离子激流测序检测尤因肉瘤的分子异质性

Molecular Heterogeneity of Ewing Sarcoma as Detected by Ion Torrent Sequencing.

作者信息

Zhang Nana, Liu Haijing, Yue Guanjun, Zhang Yan, You Jiangfeng, Wang Hua

机构信息

Department of Pathology, School of Basic Medical Sciences, Peking University Health Science Center, Beijing, China.

Department of Pathology, Peking University Third Hospital, Beijing, China.

出版信息

PLoS One. 2016 Apr 14;11(4):e0153546. doi: 10.1371/journal.pone.0153546. eCollection 2016.

Abstract

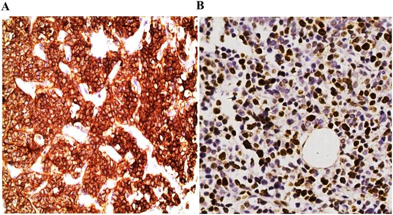
Ewing sarcoma (ES) is the second most common malignant bone and soft tissue tumor in children and adolescents. Despite advances in comprehensive treatment, patients with ES metastases still suffer poor outcomes, thus, emphasizing the need for detailed genetic profiles of ES patients to identify suitable molecular biomarkers for improved prognosis and development of effective and targeted therapies. In this study, the next generation sequencing Ion AmpliSeq™ Cancer Hotspot Panel v2 was used to identify cancer-related gene mutations in the tissue samples from 20 ES patients. This platform targeted 207 amplicons of 2800 loci in 50 cancer-related genes. Among the 20 tissue specimens, 62 nonsynonymous hotspot mutations were identified in 26 cancer-related genes, revealing the molecular heterogeneity of ES. Among these, five novel mutations in cancer-related genes (KDR, STK11, MLH1, KRAS, and PTPN11) were detected in ES, and these mutations were confirmed with traditional Sanger sequencing. ES patients with KDR, STK11, and MLH1 mutations had higher Ki-67 proliferation indices than the ES patients lacking such mutations. Notably, more than half of the ES patients harbored one or two possible 'druggable' mutations that have been previously linked to a clinical cancer treatment option. Our results provided the foundation to not only elucidate possible mechanisms involved in ES pathogenesis but also indicated the utility of Ion Torrent sequencing as a sensitive and cost-effective tool to screen key oncogenes and tumor suppressors in order to develop personalized therapy for ES patients.

摘要

尤因肉瘤(ES)是儿童和青少年中第二常见的恶性骨和软组织肿瘤。尽管综合治疗取得了进展,但发生转移的ES患者预后仍然很差,因此,强调需要详细了解ES患者的基因概况,以确定合适的分子生物标志物,从而改善预后并开发有效且有针对性的治疗方法。在本研究中,使用新一代测序Ion AmpliSeq™癌症热点Panel v2来鉴定20例ES患者组织样本中的癌症相关基因突变。该平台靶向50个癌症相关基因中2800个位点的207个扩增子。在20个组织标本中,在26个癌症相关基因中鉴定出62个非同义热点突变,揭示了ES的分子异质性。其中,在ES中检测到癌症相关基因(KDR、STK11、MLH1、KRAS和PTPN11)中的五个新突变,这些突变通过传统的桑格测序得到证实。具有KDR、STK11和MLH1突变的ES患者的Ki-67增殖指数高于缺乏此类突变的ES患者。值得注意的是,超过一半的ES患者携带一个或两个可能的“可靶向治疗”突变,这些突变先前已与临床癌症治疗方案相关联。我们的结果不仅为阐明ES发病机制中可能涉及的机制提供了基础,还表明Ion Torrent测序作为一种敏感且经济高效的工具,可用于筛选关键癌基因和肿瘤抑制因子,从而为ES患者制定个性化治疗方案。

https://cdn.ncbi.nlm.nih.gov/pmc/blobs/35fb/4831808/0bf8d31bfdef/pone.0153546.g001.jpg

文献AI研究员

20分钟写一篇综述,助力文献阅读效率提升50倍。

立即体验

用中文搜PubMed

大模型驱动的PubMed中文搜索引擎

马上搜索

文档翻译

学术文献翻译模型,支持多种主流文档格式。

立即体验