Suppr超能文献

用于最佳靶向的CRISPR:将CRISPR组件作为DNA、RNA和蛋白质递送至培养细胞和单细胞胚胎中

CRISPRs for Optimal Targeting: Delivery of CRISPR Components as DNA, RNA, and Protein into Cultured Cells and Single-Cell Embryos.

作者信息

Kouranova Evguenia, Forbes Kevin, Zhao Guojun, Warren Joe, Bartels Angela, Wu Yumei, Cui Xiaoxia

机构信息

Horizon Discovery Group Company , Saint Louis, Missouri.

出版信息

Hum Gene Ther. 2016 Jun;27(6):464-75. doi: 10.1089/hum.2016.009. Epub 2016 May 12.

Abstract

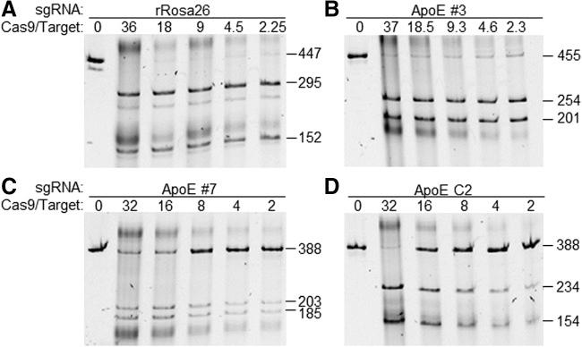
The rapid development of CRISPR technology greatly impacts the field of genetic engineering. The simplicity in design and generation of highly efficient CRISPR reagents allows more and more researchers to take on genome editing in different model systems in their own labs, even for those who found it daunting before. An active CRISPR complex contains a protein component (Cas9) and an RNA component (small guide RNA [sgRNA]), which can be delivered into cells in various formats. Cas9 can be introduced as a DNA expression plasmid, in vitro transcripts, or as a recombinant protein bound to the RNA portion in a ribonucleoprotein particle (RNP), whereas the sgRNA can be delivered either expressed as a DNA plasmid or as an in vitro transcript. Here we compared the different delivery methods in cultured cell lines as well as mouse and rat single-cell embryos and view the RNPs as the most convenient and efficient to use. We also report the detection of limited off-targeting in cells and embryos and discuss approaches to lower that chance. We hope that researchers new to CRISPR find our results helpful to their adaptation of the technology for optimal gene editing.

摘要

CRISPR技术的迅速发展极大地影响了基因工程领域。高效CRISPR试剂设计和生成的简便性使得越来越多的研究人员能够在自己实验室的不同模式系统中进行基因组编辑,即使是那些以前觉得这项工作令人生畏的研究人员也能做到。一个活跃的CRISPR复合物包含一个蛋白质组分(Cas9)和一个RNA组分(小向导RNA [sgRNA]),它们可以以各种形式导入细胞。Cas9可以作为DNA表达质粒、体外转录本引入,或者作为与核糖核蛋白颗粒(RNP)中的RNA部分结合的重组蛋白引入,而sgRNA可以作为DNA质粒表达的产物或体外转录本导入。在这里,我们比较了培养细胞系以及小鼠和大鼠单细胞胚胎中的不同导入方法,并认为核糖核蛋白颗粒是最方便且最有效的使用方式。我们还报告了在细胞和胚胎中检测到的有限的脱靶情况,并讨论了降低这种可能性的方法。我们希望刚接触CRISPR的研究人员能发现我们的结果有助于他们采用该技术进行最佳的基因编辑。

https://cdn.ncbi.nlm.nih.gov/pmc/blobs/1100/4931306/ff7d726d6404/fig-1.jpg

文献检索

告别复杂PubMed语法,用中文像聊天一样搜索,搜遍4000万医学文献。AI智能推荐,让科研检索更轻松。

立即免费搜索

文件翻译

保留排版,准确专业,支持PDF/Word/PPT等文件格式,支持 12+语言互译。

免费翻译文档

深度研究

AI帮你快速写综述,25分钟生成高质量综述,智能提取关键信息,辅助科研写作。

立即免费体验