Suppr超能文献

微小RNA-134和-370通过独立抑制表皮生长因子受体(EGFR)和磷脂酰肌醇-3激酶(PI3K)信号传导,在结直肠癌中发挥肿瘤抑制作用。

miRs-134 and -370 function as tumor suppressors in colorectal cancer by independently suppressing EGFR and PI3K signalling.

作者信息

El-Daly Sherien M, Abba Mohammed L, Patil Nitin, Allgayer Heike

机构信息

Department of Experimental Surgery, Medical Faculty Mannheim, University of Heidelberg, Germany.

Centre for Biomedicine and Medical Technology (CBTM) Mannheim, University of Heidelberg, Germany.

出版信息

Sci Rep. 2016 Apr 20;6:24720. doi: 10.1038/srep24720.

Abstract

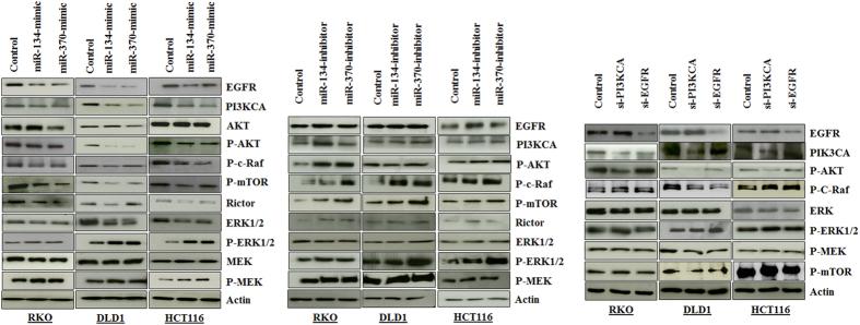
Growth factor receptor signalling plays a central and critical role in colorectal cancer. Most importantly, the EGFR signalling cascade involving PI3K/AKT/mTOR and Raf/MEK/ERK pathways are particularly relevant, since they are commonly activated in several cancer entities, including colorectal cancer. In this study, we show that miRs-134 and -370 are both capable of regulating these pathways by targeting EGFR and PIK3CA. In three different colorectal cancer cell lines (DLD1, HCT-116 and RKO), suppression of EGFR and PIK3CA through the enhanced expression of miR-134 or -370 led to a suppression of the key molecules of the PI3K/AKT/mTOR pathway. Furthermore, overexpression of miR-134 or -370 resulted in a significant reduction of cell proliferation, colony formation, migration, invasion and in-vivo tumor growth and metastasis. Concurrent experiments with small interfering RNAs targeting the prime targets show that our selected miRNAs exert a greater functional influence and affect more downstream molecules than is seen with silencing of the individual proteins. Taken together, these data indicate that miRs-134 and -370 are potential tumour suppressor miRNAs and could play a fundamental role in suppressing colorectal cancer tumorigenesis through their ability to co-ordinately regulate EGFR signalling cascade by independently targeting EGFR and PIK3CA.

摘要

生长因子受体信号传导在结直肠癌中发挥着核心且关键的作用。最重要的是,涉及PI3K/AKT/mTOR和Raf/MEK/ERK途径的表皮生长因子受体(EGFR)信号级联反应尤为相关,因为它们在包括结直肠癌在内的多种癌症实体中通常被激活。在本研究中,我们表明miR-134和miR-370均能够通过靶向EGFR和PIK3CA来调节这些途径。在三种不同的结直肠癌细胞系(DLD1、HCT-116和RKO)中,通过增强miR-134或miR-370的表达来抑制EGFR和PIK3CA,导致PI3K/AKT/mTOR途径的关键分子受到抑制。此外,miR-134或miR-370的过表达导致细胞增殖、集落形成、迁移、侵袭以及体内肿瘤生长和转移显著减少。针对主要靶点的小干扰RNA的同步实验表明,与单个蛋白质的沉默相比,我们所选的microRNA(miRNA)发挥了更大的功能影响并影响了更多的下游分子。综上所述,这些数据表明miR-134和miR-370是潜在的肿瘤抑制性miRNA,并且通过其独立靶向EGFR和PIK3CA来协调调节EGFR信号级联反应的能力,可能在抑制结直肠癌的肿瘤发生中发挥重要作用。

https://cdn.ncbi.nlm.nih.gov/pmc/blobs/3aa8/4837379/4362bb2285de/srep24720-f1.jpg

文献检索

告别复杂PubMed语法,用中文像聊天一样搜索,搜遍4000万医学文献。AI智能推荐,让科研检索更轻松。

立即免费搜索

文件翻译

保留排版,准确专业,支持PDF/Word/PPT等文件格式,支持 12+语言互译。

免费翻译文档

深度研究

AI帮你快速写综述,25分钟生成高质量综述,智能提取关键信息,辅助科研写作。

立即免费体验