• 文献检索
  • 文档翻译
  • 深度研究
  • 学术资讯
  • Suppr Zotero 插件Zotero 插件
  • 邀请有礼
  • 套餐&价格
  • 历史记录
应用&插件
Suppr Zotero 插件Zotero 插件浏览器插件Mac 客户端Windows 客户端微信小程序
定价
高级版会员购买积分包购买API积分包
服务
文献检索文档翻译深度研究API 文档MCP 服务
关于我们
关于 Suppr公司介绍联系我们用户协议隐私条款
关注我们

Suppr 超能文献

核心技术专利:CN118964589B侵权必究
粤ICP备2023148730 号-1Suppr @ 2026

文献检索

告别复杂PubMed语法,用中文像聊天一样搜索,搜遍4000万医学文献。AI智能推荐,让科研检索更轻松。

立即免费搜索

文件翻译

保留排版,准确专业,支持PDF/Word/PPT等文件格式,支持 12+语言互译。

免费翻译文档

深度研究

AI帮你快速写综述,25分钟生成高质量综述,智能提取关键信息,辅助科研写作。

立即免费体验

米曲霉S2 α-淀粉酶结构域C在活性和特异性中的作用:体内蛋白水解、分子及对接研究

Aspergillus Oryzae S2 α-Amylase Domain C Involvement in Activity and Specificity: In Vivo Proteolysis, Molecular and Docking Studies.

作者信息

Sahnoun Mouna, Jemli Sonia, Trabelsi Sahar, Ayadi Leila, Bejar Samir

机构信息

Laboratory of Microbial Biotechnology and Engineering Enzymes (LMBEE), Centre of Biotechnology of Sfax (CBS), University of Sfax, Sidi Mansour Road Km 6, P.O. Box 1177, Sfax, 3018, Tunisia.

Preparatory Institute for Engineering Studies, Sfax (IPEIS), University of Sfax, MenzelChaker Road Km 0.5, P.O. Box 3018, Sfax, Tunisia.

出版信息

PLoS One. 2016 Apr 21;11(4):e0153868. doi: 10.1371/journal.pone.0153868. eCollection 2016.

DOI:10.1371/journal.pone.0153868
PMID:27101008
原文链接:https://pmc.ncbi.nlm.nih.gov/articles/PMC4839703/
Abstract

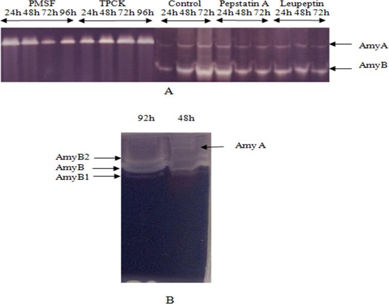
We previously reported that Aspergillus oryzae strain S2 had produced two α-amylase isoforms named AmyA and AmyB. The apparent molecular masses revealed by SDS-PAGE were 50 and 42 kDa, respectively. Yet AmyB has a higher catalytic efficiency. Based on a monitoring study of the α-amylase production in both the presence and absence of different protease inhibitors, a chymotrypsin proteolysis process was detected in vivo generating AmyB. A. oryzae S2 α-amylase gene was amplified, cloned and sequenced. The sequence analysis revealed nine exons, eight introns and an encoding open reading frame of 1500 bp corresponding to AmyA isoform. The amino-acid sequence analysis revealed aY371 potential chymotrypsin cleaving site, likely to be the AmyB C-Terminal end and two other potential sites at Y359, and F379. A zymogram with a high acrylamide concentration was used. It highlighted two other closed apparent molecular mass α-amylases termed AmyB1 and AmyB2 reaching40 kDa and 43 kDa. These isoforms could be possibly generated fromY359, and F379secondary cut, respectively. The molecular modeling study showed that AmyB preserved the (β/α)8 barrel domain and the domain B but lacked the C-terminal domain C. The contact map analysis and the docking studies strongly suggested a higher activity and substrate binding affinity for AmyB than AmyA which was previously experimentally exhibited. This could be explained by the easy catalytic cleft accessibility.

摘要

我们之前报道过米曲霉S2菌株产生了两种α-淀粉酶同工型,分别命名为AmyA和AmyB。SDS-PAGE显示的表观分子量分别为50 kDa和42 kDa。然而,AmyB具有更高的催化效率。基于在存在和不存在不同蛋白酶抑制剂的情况下对α-淀粉酶产生的监测研究,在体内检测到了产生AmyB的胰凝乳蛋白酶蛋白水解过程。扩增、克隆并测序了米曲霉S2的α-淀粉酶基因。序列分析揭示了九个外显子、八个内含子以及一个对应于AmyA同工型的1500 bp编码开放阅读框。氨基酸序列分析揭示了一个Y371潜在胰凝乳蛋白酶切割位点,可能是AmyB的C末端,以及在Y359和F379处的另外两个潜在位点。使用了高丙烯酰胺浓度的酶谱。它突出显示了另外两种表观分子量相近的α-淀粉酶,分别称为AmyB1和AmyB2,分子量分别达到40 kDa和43 kDa。这些同工型可能分别由Y359和F379的二次切割产生。分子建模研究表明,AmyB保留了(β/α)8桶状结构域和结构域B,但缺少C末端结构域C。接触图分析和对接研究强烈表明,AmyB比AmyA具有更高的活性和底物结合亲和力,这与之前的实验结果一致。这可以通过催化裂隙易于接近来解释。

https://cdn.ncbi.nlm.nih.gov/pmc/blobs/827e/4839703/3405113e1252/pone.0153868.g002.jpg
https://cdn.ncbi.nlm.nih.gov/pmc/blobs/827e/4839703/5c1457bf5b8a/pone.0153868.g001.jpg
https://cdn.ncbi.nlm.nih.gov/pmc/blobs/827e/4839703/3405113e1252/pone.0153868.g002.jpg
https://cdn.ncbi.nlm.nih.gov/pmc/blobs/827e/4839703/5c1457bf5b8a/pone.0153868.g001.jpg
https://cdn.ncbi.nlm.nih.gov/pmc/blobs/827e/4839703/3405113e1252/pone.0153868.g002.jpg

相似文献

1
Aspergillus Oryzae S2 α-Amylase Domain C Involvement in Activity and Specificity: In Vivo Proteolysis, Molecular and Docking Studies.米曲霉S2 α-淀粉酶结构域C在活性和特异性中的作用:体内蛋白水解、分子及对接研究
PLoS One. 2016 Apr 21;11(4):e0153868. doi: 10.1371/journal.pone.0153868. eCollection 2016.
2
Contribution ratios of amyA, amyB, amyC genes to high-level α-amylase expression in Aspergillus oryzae.米曲霉中amyA、amyB、amyC基因对高水平α-淀粉酶表达的贡献率
Biosci Biotechnol Biochem. 2012;76(8):1477-83. doi: 10.1271/bbb.120142. Epub 2012 Aug 7.
3
Aspergillus oryzae S2 alpha-amylase production under solid state fermentation: optimization of culture conditions.米曲霉S2固态发酵产α-淀粉酶:培养条件的优化
Int J Biol Macromol. 2015 Apr;75:73-80. doi: 10.1016/j.ijbiomac.2015.01.026. Epub 2015 Jan 21.
4
Cloning, characterization, and expression of two alpha-amylase genes from Aspergillus niger var. awamori.泡盛曲霉两个α-淀粉酶基因的克隆、特性分析及表达
Curr Genet. 1990 Mar;17(3):203-12. doi: 10.1007/BF00312611.
5
AmyA, an alpha-amylase with beta-cyclodextrin-forming activity, and AmyB from the thermoalkaliphilic organism Anaerobranca gottschalkii: two alpha-amylases adapted to their different cellular localizations.AmyA,一种具有形成β-环糊精活性的α-淀粉酶,以及来自嗜热嗜碱生物戈氏厌氧枝杆菌的AmyB:两种适应不同细胞定位的α-淀粉酶。
Appl Environ Microbiol. 2005 Jul;71(7):3709-15. doi: 10.1128/AEM.71.7.3709-3715.2005.
6
Modifing Aspergillus Oryzae S2 amylase substrate specificity and thermostability through its tetramerisation using biochemical and in silico studies and stabilization.通过生化和计算机模拟研究以及稳定化手段对米曲酶的四聚化来修饰其淀粉酶底物特异性和热稳定性。
Int J Biol Macromol. 2018 Oct 1;117:483-492. doi: 10.1016/j.ijbiomac.2018.05.136. Epub 2018 May 23.
7
The cloning and characterization of a second alpha-amylase of A. hydrophila JMP636.
J Appl Microbiol. 2002;92(2):289-96. doi: 10.1046/j.1365-2672.2002.01529.x.
8
Comparative analysis of heterologous expression, biochemical characterization optimal production of an alkaline α-amylase from alkaliphilic Alkalimonas amylolytica in Escherichia coli and Pichia pastoris.从嗜碱的 Alkalimonas amylolytica 在大肠杆菌和毕赤酵母中的异源表达、生化特性分析和最优生产碱性α-淀粉酶的比较。
Biotechnol Prog. 2013 Jan-Feb;29(1):39-47. doi: 10.1002/btpr.1657. Epub 2012 Dec 4.
9
Structure of a novel α-amylase AmyB from Thermotoga neapolitana that produces maltose from the nonreducing end of polysaccharides.来自嗜热栖热菌的新型α-淀粉酶AmyB的结构,该酶从多糖的非还原端产生麦芽糖。
Acta Crystallogr D Biol Crystallogr. 2013 Mar;69(Pt 3):442-50. doi: 10.1107/S0907444912049219. Epub 2013 Feb 16.
10
Insertion analysis of putative functional elements in the promoter region of the Aspergillus oryzae Taka-amylase A gene (amyB) using a heterologous Aspergillus nidulans amdS-lacZ fusion gene system.利用异源构巢曲霉amdS-lacZ融合基因系统对米曲霉Taka淀粉酶A基因(amyB)启动子区域假定功能元件进行插入分析。
Biosci Biotechnol Biochem. 1999 Jan;63(1):180-3. doi: 10.1271/bbb.63.180.

引用本文的文献

1
AmyJ33, a truncated amylase with improved catalytic properties.AmyJ33,一种具有改良催化性质的截断淀粉酶。
Biotechnol Lett. 2022 Dec;44(12):1447-1463. doi: 10.1007/s10529-022-03311-5. Epub 2022 Nov 3.
2
Aspergillus oryzae S2 AmyA amylase expression in Pichia pastoris: production, purification and novel properties.米曲霉S2淀粉酶在毕赤酵母中的表达:生产、纯化及新特性
Mol Biol Rep. 2019 Feb;46(1):921-932. doi: 10.1007/s11033-018-4548-2. Epub 2018 Dec 7.
3
Apigenin isolated from encodes Human and S2 α-amylase inhibitions: credible approach for antifungal and antidiabetic therapies.

本文引用的文献

1
Purification and characterization of a highly efficient calcium-independent α-amylase from Talaromyces pinophilus 1-95.嗜松青霉1-95高效钙非依赖性α-淀粉酶的纯化与特性分析
PLoS One. 2015 Mar 26;10(3):e0121531. doi: 10.1371/journal.pone.0121531. eCollection 2015.
2
Aspergillus oryzae S2 alpha-amylase production under solid state fermentation: optimization of culture conditions.米曲霉S2固态发酵产α-淀粉酶:培养条件的优化
Int J Biol Macromol. 2015 Apr;75:73-80. doi: 10.1016/j.ijbiomac.2015.01.026. Epub 2015 Jan 21.
3
Biocatalysts: application and engineering for industrial purposes.
从……中分离出的芹菜素编码人源和……S2α-淀粉酶抑制作用:抗真菌和抗糖尿病治疗的可靠方法。 (注:原文中“from”后面内容不完整)
J Food Sci Technol. 2018 Apr;55(4):1489-1498. doi: 10.1007/s13197-018-3065-6. Epub 2018 Feb 20.
生物催化剂:工业用途的应用与工程
Crit Rev Biotechnol. 2016;36(2):246-58. doi: 10.3109/07388551.2014.950550. Epub 2014 Nov 6.
4
New perspectives on the role of α- and β-amylases in transient starch synthesis.α-淀粉酶和β-淀粉酶在瞬时淀粉合成中的作用的新观点。
PLoS One. 2014 Jun 27;9(6):e100498. doi: 10.1371/journal.pone.0100498. eCollection 2014.
5
Domain C of thermostable α-amylase of Geobacillus thermoleovorans mediates raw starch adsorption.耐热解淀粉芽孢杆菌的热稳定 α-淀粉酶的结构域 C 介导生淀粉吸附。
Appl Microbiol Biotechnol. 2014 May;98(10):4503-19. doi: 10.1007/s00253-013-5459-8. Epub 2014 Jan 12.
6
α-Amylase: an enzyme specificity found in various families of glycoside hydrolases.α-淀粉酶:一种在各种糖苷水解酶家族中发现的酶特异性。
Cell Mol Life Sci. 2014 Apr;71(7):1149-70. doi: 10.1007/s00018-013-1388-z. Epub 2013 Jun 27.
7
In silico identification of catalytic residues and domain fold of the family GH119 sharing the catalytic machinery with the α-amylase family GH57.通过计算机模拟鉴定与α-淀粉酶家族 GH57 具有相同催化机制的 GH119 家族的催化残基和结构域折叠。
FEBS Lett. 2012 Sep 21;586(19):3360-6. doi: 10.1016/j.febslet.2012.07.020. Epub 2012 Jul 17.
8
Sequence-structural features and evolutionary relationships of family GH57 α-amylases and their putative α-amylase-like homologues.家族 GH57 α-淀粉酶及其假定的 α-淀粉酶样同源物的序列结构特征和进化关系。
Protein J. 2011 Aug;30(6):429-35. doi: 10.1007/s10930-011-9348-7.
9
SwissDock, a protein-small molecule docking web service based on EADock DSS.基于 EADock DSS 的蛋白质-小分子对接网络服务 SwissDock。
Nucleic Acids Res. 2011 Jul;39(Web Server issue):W270-7. doi: 10.1093/nar/gkr366. Epub 2011 May 29.
10
DUFs: families in search of function.未知功能结构域:寻找功能的家族。
Acta Crystallogr Sect F Struct Biol Cryst Commun. 2010 Oct 1;66(Pt 10):1148-52. doi: 10.1107/S1744309110001685. Epub 2010 Mar 5.