• 文献检索
  • 文档翻译
  • 深度研究
  • 学术资讯
  • Suppr Zotero 插件Zotero 插件
  • 邀请有礼
  • 套餐&价格
  • 历史记录
应用&插件
Suppr Zotero 插件Zotero 插件浏览器插件Mac 客户端Windows 客户端微信小程序
定价
高级版会员购买积分包购买API积分包
服务
文献检索文档翻译深度研究API 文档MCP 服务
关于我们
关于 Suppr公司介绍联系我们用户协议隐私条款
关注我们

Suppr 超能文献

核心技术专利:CN118964589B侵权必究
粤ICP备2023148730 号-1Suppr @ 2026

文献检索

告别复杂PubMed语法,用中文像聊天一样搜索,搜遍4000万医学文献。AI智能推荐,让科研检索更轻松。

立即免费搜索

文件翻译

保留排版,准确专业,支持PDF/Word/PPT等文件格式,支持 12+语言互译。

免费翻译文档

深度研究

AI帮你快速写综述,25分钟生成高质量综述,智能提取关键信息,辅助科研写作。

立即免费体验

恢复麻痹马杓状软骨外展功能的尝试。II. 神经植入(初步研究)。

Attempts to restore abduction of the paralyzed equine arytenoid cartilage. II. Nerve implantation (pilot study).

作者信息

Ducharme N G, Horney F D, Hulland T J, Partlow G D, Schnurr D, Zutrauen K

机构信息

Department of Clinical Studies, Ontario Veterinary College, University of Guelph.

出版信息

Can J Vet Res. 1989 Apr;53(2):210-5.

PMID:2713786
原文链接:https://pmc.ncbi.nlm.nih.gov/articles/PMC1255549/
Abstract

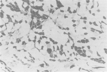
The purpose of this project was to attempt restoration of abduction of a recently experimentally denervated left dorsal cricoarytenoid muscle by implanting a transected nerve-end into the paralyzed muscle. In six ponies the cut end of the second cervical nerve was implanted into a slit made in the left dorsal cricoarytenoid muscle. The nerve end was secured in place with one 5-0 polypropylene suture connecting the epineurium to the epimysium. The left recurrent laryngeal nerve was transected during this procedure. All six ponies showed signs of complete left laryngeal hemiplegia immediately after surgery. Postoperatively all ponies were evaluated qualitatively on a monthly basis by subjective examination for evidence of abduction of the arytenoid cartilages on endoscopy and quantitatively by measurement of the cross sectional area of the left and right half of the rima glottidis. Subjective endoscopic evidence of partial abduction was seen in four of the six ponies six months postoperatively. Measurement of the cross sectional area of the rima glottidis revealed a total loss of 38% of the area immediately postoperatively. There were no significant changes in cross sectional areas of the rima glottidis between the immediate postoperative evaluation to the six months postoperative evaluation. Gross postmortem examination revealed partial dorsal cricoarytenoid muscle atrophy as evidenced by a 24-55% decrease in muscle mass compared to the right dorsal cricoarytenoid muscle. Histopathological studies revealed regions with clusters of large muscle fibers.(ABSTRACT TRUNCATED AT 250 WORDS)

摘要

本项目的目的是通过将横断的神经末端植入麻痹的肌肉,尝试恢复近期经实验去神经支配的左侧环杓后肌的外展功能。在6匹小马中,将第二颈神经的切断端植入左侧环杓后肌上所做的一个切口内。用一根5-0聚丙烯缝线将神经外膜与肌外膜相连,把神经末端固定到位。在此手术过程中,左侧喉返神经被横断。所有6匹小马在手术后立即出现完全性左侧喉偏瘫的体征。术后,每月对所有小马进行定性主观检查,通过内镜检查杓状软骨外展的证据,同时通过测量声门裂左右半侧的横截面积进行定量评估。术后6个月,6匹小马中有4匹在内镜检查中出现了部分外展的主观证据。声门裂横截面积的测量显示,术后立即总面积减少了38%。从术后立即评估到术后6个月评估,声门裂的横截面积没有显著变化。大体尸检显示,左侧环杓后肌部分萎缩,与右侧环杓后肌相比,肌肉质量减少了24%-55%。组织病理学研究显示存在大肌纤维簇的区域。(摘要截选至250字)

https://cdn.ncbi.nlm.nih.gov/pmc/blobs/b366/1255549/cb1f6a5125a3/cjvetres00050-0093-a.jpg
https://cdn.ncbi.nlm.nih.gov/pmc/blobs/b366/1255549/8f9cbf02653e/cjvetres00050-0092-a.jpg
https://cdn.ncbi.nlm.nih.gov/pmc/blobs/b366/1255549/cb1f6a5125a3/cjvetres00050-0093-a.jpg
https://cdn.ncbi.nlm.nih.gov/pmc/blobs/b366/1255549/8f9cbf02653e/cjvetres00050-0092-a.jpg
https://cdn.ncbi.nlm.nih.gov/pmc/blobs/b366/1255549/cb1f6a5125a3/cjvetres00050-0093-a.jpg

相似文献

1
Attempts to restore abduction of the paralyzed equine arytenoid cartilage. II. Nerve implantation (pilot study).恢复麻痹马杓状软骨外展功能的尝试。II. 神经植入(初步研究)。
Can J Vet Res. 1989 Apr;53(2):210-5.
2
Attempts to restore abduction of the paralyzed equine arytenoid cartilage. I. Nerve-muscle pedicle transplants.恢复麻痹马杓状软骨外展功能的尝试。I. 神经肌肉蒂移植。
Can J Vet Res. 1989 Apr;53(2):202-9.
3
Attempts to restore abduction of the paralyzed equine arytenoid cartilage. III. Nerve anastomosis.恢复麻痹马杓状软骨外展功能的尝试。III. 神经吻合术。
Can J Vet Res. 1989 Apr;53(2):216-23.
4
Neuromuscular pedicle graft for restoration of arytenoid abductor function in dogs with experimentally induced laryngeal hemiplegia.神经肌肉蒂移植术用于恢复实验性诱导喉偏瘫犬的杓状软骨外展肌功能。
Am J Vet Res. 1988 Aug;49(8):1360-6.
5
Histologic evaluation of nerve muscle pedicle graft used as a treatment for left laryngeal hemiplegia in standardbreds.用作治疗标准马左喉偏瘫的神经肌肉蒂移植的组织学评估。
Am J Vet Res. 1992 Apr;53(4):592-6.
6
Recovery of inspiratory abduction of the paralyzed vocal cords after bilateral reinnervation of the cricoarytenoid muscles by one single branch of the phrenic nerve.通过膈神经的单个分支对环杓肌进行双侧神经再支配后,麻痹声带的吸气外展恢复情况。
Laryngoscope. 1989 Dec;99(12):1286-92. doi: 10.1288/00005537-198912000-00014.
7
Attempted reinnervation of the equine larynx using a muscle pedicle graft.
Cornell Vet. 1992 Jan;82(1):59-68.
8
Experimental crush of the equine recurrent laryngeal nerve: a study of normal and aberrant reinnervation.马喉返神经实验性挤压:正常和异常再支配的研究
Am J Vet Res. 1987 Mar;48(3):431-8.
9
A comparison of techniques to enhance the evaluation of equine laryngeal function.
Equine Vet J. 1991 Mar;23(2):104-7. doi: 10.1111/j.2042-3306.1991.tb02731.x.
10
Neuroanatomy of the equine dorsal cricoarytenoid muscle: surgical implications.马环杓后肌的神经解剖学:手术意义
Equine Vet J. 2008 Jan;40(1):70-5. doi: 10.2746/042516407X240465.

引用本文的文献

1
Attempts to restore abduction of the paralyzed equine arytenoid cartilage. III. Nerve anastomosis.恢复麻痹马杓状软骨外展功能的尝试。III. 神经吻合术。
Can J Vet Res. 1989 Apr;53(2):216-23.

本文引用的文献

1
Experiments in laryngeal reinnervation.喉再支配实验
Laryngoscope. 1982 Sep;92(9 Pt 2 Suppl 30):1-27. doi: 10.1288/00005537-198209001-00001.
2
The nerve-muscle pedicle. A visual, electromyographic, and histochemical study.神经肌肉蒂。一项视觉、肌电图及组织化学研究。
Arch Otolaryngol. 1983 Apr;109(4):233-4. doi: 10.1001/archotol.1983.00800180031005.
3
Vocal cord remobilization in the canine larynx.犬类喉部声带复位术
Arch Otolaryngol. 1970 Dec;92(6):530-3. doi: 10.1001/archotol.1970.04310060002002.
4
Vocal cord remobilization in the canine larynx: an histologic evaluation.
Laryngoscope. 1971 Oct;81(10):1602-6. doi: 10.1288/00005537-197110000-00003.
5
The paralyzed larynx: an electromyographic study in dogs and humans.麻痹性喉:犬类和人类的肌电图研究
Laryngoscope. 1970 Oct;80(10):1455-517. doi: 10.1288/00005537-197010000-00001.
6
The mechanics of laryngeal function.喉功能的机制。
Acta Otolaryngol. 1970 Sep;70(3):203-11. doi: 10.3109/00016487009181879.
7
Folding mechanism of the human larynx.
Acta Otolaryngol. 1974 Jul-Aug;78(1-2):124-8. doi: 10.3109/00016487409126336.
8
The pathology of equine laryngeal hemiplegia.马属动物喉偏瘫的病理学
Acta Neuropathol. 1974 Apr 30;27(4):337-48. doi: 10.1007/BF00690698.
9
Further observations on laryngeal skeletal muscle in the horse.
Equine Vet J. 1973 Apr;5(2):77-80. doi: 10.1111/j.2042-3306.1973.tb03198.x.
10
Cross-sectional area of the aditus laryngis and rima glottidis before and after transection of the left recurrent laryngeal nerve in the horse.马左侧喉返神经横断前后喉口和声门裂的横截面积
Am J Vet Res. 1986 Feb;47(2):422-5.