Suppr超能文献

模拟包括肿瘤基质在内的转移:一种基于生物脱细胞肠道支架生成三维结直肠癌模型的新技术。

Mimicking Metastases Including Tumor Stroma: A New Technique to Generate a Three-Dimensional Colorectal Cancer Model Based on a Biological Decellularized Intestinal Scaffold.

作者信息

Nietzer Sarah, Baur Florentin, Sieber Stefan, Hansmann Jan, Schwarz Thomas, Stoffer Carolin, Häfner Heide, Gasser Martin, Waaga-Gasser Ana Maria, Walles Heike, Dandekar Gudrun

机构信息

1 Institute of Tissue Engineering and Regenerative Medicine (TERM), University Hospital of the Julius-Maximilians University , Würzburg, Germany .

2 Translational Center Würzburg "Regenerative Therapies in Oncology and Musculoskeletal Disease, " Fraunhofer Institute Interfacial Engineering and Biotechnology IGB , Würzburg, Germany .

出版信息

Tissue Eng Part C Methods. 2016 Jul;22(7):621-35. doi: 10.1089/ten.TEC.2015.0557. Epub 2016 Jun 3.

Abstract

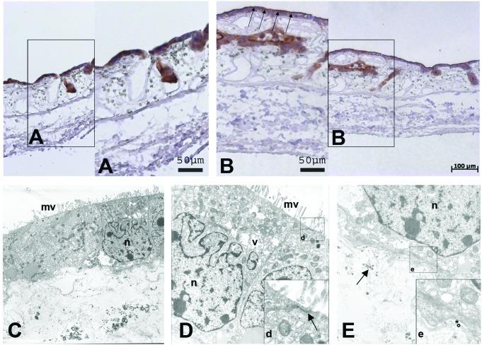
Tumor models based on cancer cell lines cultured two-dimensionally (2D) on plastic lack histological complexity and functionality compared to the native microenvironment. Xenogenic mouse tumor models display higher complexity but often do not predict human drug responses accurately due to species-specific differences. We present here a three-dimensional (3D) in vitro colon cancer model based on a biological scaffold derived from decellularized porcine jejunum (small intestine submucosa+mucosa, SISmuc). Two different cell lines were used in monoculture or in coculture with primary fibroblasts. After 14 days of culture, we demonstrated a close contact of human Caco2 colon cancer cells with the preserved basement membrane on an ultrastructural level as well as morphological characteristics of a well-differentiated epithelium. To generate a tissue-engineered tumor model, we chose human SW480 colon cancer cells, a reportedly malignant cell line. Malignant characteristics were confirmed in 2D cell culture: SW480 cells showed higher vimentin and lower E-cadherin expression than Caco2 cells. In contrast to Caco2, SW480 cells displayed cancerous characteristics such as delocalized E-cadherin and nuclear location of β-catenin in a subset of cells. One central drawback of 2D cultures-especially in consideration of drug testing-is their artificially high proliferation. In our 3D tissue-engineered tumor model, both cell lines showed decreased numbers of proliferating cells, thus correlating more precisely with observations of primary colon cancer in all stages (UICC I-IV). Moreover, vimentin decreased in SW480 colon cancer cells, indicating a mesenchymal to epithelial transition process, attributed to metastasis formation. Only SW480 cells cocultured with fibroblasts induced the formation of tumor-like aggregates surrounded by fibroblasts, whereas in Caco2 cocultures, a separate Caco2 cell layer was formed separated from the fibroblast compartment beneath. To foster tissue generation, a bioreactor was constructed for dynamic culture approaches. This induced a close tissue-like association of cultured tumor cells with fibroblasts reflecting tumor biopsies. Therapy with 5-fluorouracil (5-FU) was effective only in 3D coculture. In conclusion, our 3D tumor model reflects human tissue-related tumor characteristics, including lower tumor cell proliferation. It is now available for drug testing in metastatic context-especially for substances targeting tumor-stroma interactions.

摘要

与天然微环境相比,基于在塑料上二维(2D)培养的癌细胞系构建的肿瘤模型缺乏组织学复杂性和功能性。异种小鼠肿瘤模型显示出更高的复杂性,但由于物种特异性差异,通常不能准确预测人类药物反应。我们在此展示一种基于源自脱细胞猪空肠(小肠黏膜下层+黏膜,SISmuc)的生物支架构建的三维(3D)体外结肠癌模型。两种不同的细胞系用于单培养或与原代成纤维细胞共培养。培养14天后,我们在超微结构水平证明了人Caco2结肠癌细胞与保留的基底膜紧密接触,以及分化良好的上皮细胞的形态特征。为了构建组织工程肿瘤模型,我们选择了人SW480结肠癌细胞,据报道这是一种恶性细胞系。在2D细胞培养中证实了其恶性特征:SW480细胞与Caco2细胞相比,波形蛋白表达更高,E-钙黏蛋白表达更低。与Caco2不同,SW480细胞表现出癌性特征,如E-钙黏蛋白定位异常以及一部分细胞中β-连环蛋白位于细胞核内。2D培养的一个主要缺点——尤其是考虑到药物测试时——是其人为的高增殖率。在我们的3D组织工程肿瘤模型中,两种细胞系的增殖细胞数量均减少,因此与所有阶段(国际抗癌联盟I-IV期)原发性结肠癌的观察结果更精确地相关。此外,SW480结肠癌细胞中的波形蛋白减少,表明发生了间充质向上皮转变过程,这与转移形成有关。只有与成纤维细胞共培养的SW480细胞诱导形成了被成纤维细胞包围的肿瘤样聚集体,而在Caco2共培养中,形成了一个与下方成纤维细胞区室分离的单独Caco2细胞层。为促进组织生成,构建了一个生物反应器用于动态培养方法。这诱导了培养的肿瘤细胞与成纤维细胞形成紧密的组织样关联,反映了肿瘤活检情况。用5-氟尿嘧啶(5-FU)治疗仅在3D共培养中有效。总之,我们的3D肿瘤模型反映了与人类组织相关的肿瘤特征,包括较低的肿瘤细胞增殖率。它现在可用于转移背景下的药物测试——特别是针对靶向肿瘤-基质相互作用的物质。

https://cdn.ncbi.nlm.nih.gov/pmc/blobs/14b4/4943469/fec3223a515d/fig-1.jpg

文献AI研究员

20分钟写一篇综述,助力文献阅读效率提升50倍。

立即体验

用中文搜PubMed

大模型驱动的PubMed中文搜索引擎

马上搜索

文档翻译

学术文献翻译模型,支持多种主流文档格式。

立即体验