Suppr超能文献

Spontaneous cutaneous soft tissue sarcoma with differentiation into fibroblasts in a Sprague-Dawley rat.

作者信息

Ogawa Takashi, Onozato Tomoya, Okuhara Yuji, Nagasawa Tatsuya, Tamura Toru, Hayashi Morimichi

机构信息

Toxicology Research Laboratory, R&D, Kissei Pharmaceutical Co., Ltd., 2320-1 Maki, Hotaka, Azumino, Nagano 399-8305, Japan.

出版信息

J Toxicol Pathol. 2016 Apr;29(2):119-24. doi: 10.1293/tox.2015-0069. Epub 2016 Feb 25.

Abstract

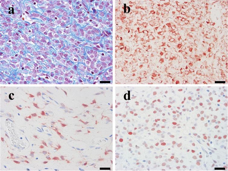
A small mass with an ulcer was found in the skin of the dorsal cervix of a 7-month-old male Sprague-Dawley rat. Histologically, the central region of the tumor showed a high cellular density with oval-shaped tumor cells arranged in an alveolar pattern and thin collagen fiber bundles. The peripheral region of the tumor had a low cellular density with short spindle- or polygonal-shaped tumor cells surrounded by abundant collagen fiber bundles. Immunohistochemically, the tumor cells were strongly positive for vimentin and proliferating cell nuclear antigen, and a portion of the short spindle- or polygonal-shaped cells located in the peripheral region of the tumor were positive for S100A4. However, the tumor cells were negative for alpha-smooth muscle actin, desmin, S100, chromogranin A, neurofilament, CD68, Iba-1, cytokeratin 20, von Willebrand factor, melanosome, and anti-melanoma. Electron microscopically, the tumor cells had an abundance of rough endoplasmic reticulum, the Golgi apparatus, and a few intracellular collagen fibrils, showing fibroblastic features. Considering the lack of diagnostic differentiation, the tumor was diagnosed as an undifferentiated malignant mesenchymal tumor and classified as a soft tissue sarcoma with differentiation into fibroblasts in a portion of the tumor cells.

摘要
https://cdn.ncbi.nlm.nih.gov/pmc/blobs/6e8f/4866009/5a8e00768567/tox-29-119-g001.jpg

文献AI研究员

20分钟写一篇综述,助力文献阅读效率提升50倍。

立即体验

用中文搜PubMed

大模型驱动的PubMed中文搜索引擎

马上搜索

文档翻译

学术文献翻译模型,支持多种主流文档格式。

立即体验