• 文献检索
  • 文档翻译
  • 深度研究
  • 学术资讯
  • Suppr Zotero 插件Zotero 插件
  • 邀请有礼
  • 套餐&价格
  • 历史记录
应用&插件
Suppr Zotero 插件Zotero 插件浏览器插件Mac 客户端Windows 客户端微信小程序
定价
高级版会员购买积分包购买API积分包
服务
文献检索文档翻译深度研究API 文档MCP 服务
关于我们
关于 Suppr公司介绍联系我们用户协议隐私条款
关注我们

Suppr 超能文献

核心技术专利:CN118964589B侵权必究
粤ICP备2023148730 号-1Suppr @ 2026

文献检索

告别复杂PubMed语法,用中文像聊天一样搜索,搜遍4000万医学文献。AI智能推荐,让科研检索更轻松。

立即免费搜索

文件翻译

保留排版,准确专业,支持PDF/Word/PPT等文件格式,支持 12+语言互译。

免费翻译文档

深度研究

AI帮你快速写综述,25分钟生成高质量综述,智能提取关键信息,辅助科研写作。

立即免费体验

一只斯普拉格-道利大鼠下颌下腺的自发性上皮-肌上皮癌。

A spontaneous epithelial-myoepithelial carcinoma of the submandibular gland in a sprague-dawley rat.

作者信息

Li Yinghua, Kim Hak-Soo, Kang Min-Soo, Shin Seo-Ho, Koo Kyo-Hwan, Kim Chul-Min, Kim Kap-Ho, Peck Charles, Bae Han-Ik, Jeong Ji Yun, Kang Jin Seok, Kang Boo-Hyon

机构信息

Department of Pathology, Chemon Co., Ltd., 240 Nampyeongro, Yangji-Myeon, Cheoin-Gu, Yongin-Si, Gyeonggi-Do 449-826, Republic of Korea.

出版信息

J Toxicol Pathol. 2013 Mar;26(1):67-72. doi: 10.1293/tox.26.67. Epub 2013 Apr 22.

DOI:10.1293/tox.26.67
PMID:23723571
原文链接:https://pmc.ncbi.nlm.nih.gov/articles/PMC3620217/
Abstract

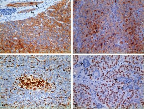
The present report describes a rare case of spontaneous tumor of the salivary gland in a male Sprague-Dawley rat. The clinically confirmed mass rapidly developed in the cervical region between 19 and 21 weeks of age, and the animal was subsequently euthanized. At necropsy, a well-circumscribed nodule approximately 7 × 6 cm in diameter was found at the site of the salivary gland. The cut surface of the nodule was lobulated and soft and had a pinkish tan fish-flesh appearance. One large cyst (approximately 3 × 2 cm in size) containing reddish fluid was also present in the nodule. Histopathologically, the tumor, with a partially lobulated structure, was surrounded by a thin fibrous capsule. The majority of tumor cells formed a diffuse solid sheet structure that mainly consisted of small ovoid or spindle-shaped cells. In the tumor periphery, some cells were arranged in nest-like structures. Small duct-like structures lined with a monolayer of cuboidal epithelial cells resembling an intercalated duct or large polygonal clear cells with a myoepithelial component were also observed. Mitotic figures and necrotic foci were frequently observed in solid areas. Immunohistochemically, the tumor cells were positive for cytokeratin, epithelial membrane antigen, vimentin, p63, α-smooth muscle actin and calponin. The cells were negative for calcitonin, synaptophysin and chromogranin A. On the basis of these findings, the tumor was diagnosed as an epithelial-myoepithelial carcinoma originating from the luminal epithelial cells and myoepithelial cells in the submandibular gland.

摘要

本报告描述了一例雄性斯普拉格-道利大鼠唾液腺自发性肿瘤的罕见病例。经临床确诊的肿块在19至21周龄时于颈部迅速生长,随后该动物被安乐死。尸检时,在唾液腺部位发现一个直径约7×6厘米、边界清晰的结节。结节的切面呈分叶状、质地柔软,外观呈淡粉红色鱼肉样。结节内还存在一个大囊肿(大小约为3×2厘米),内含红色液体。组织病理学检查显示,肿瘤具有部分分叶状结构,被一层薄纤维包膜包裹。大多数肿瘤细胞形成弥漫性实性片状结构,主要由小卵圆形或梭形细胞组成。在肿瘤周边,一些细胞呈巢状排列。还观察到由单层立方上皮细胞衬里的小导管样结构,类似闰管,或含有肌上皮成分的大的多边形透明细胞。在实性区域经常观察到有丝分裂象和坏死灶。免疫组织化学检查显示,肿瘤细胞细胞角蛋白、上皮膜抗原、波形蛋白、p63、α-平滑肌肌动蛋白和钙调蛋白呈阳性。细胞降钙素、突触素和嗜铬粒蛋白A呈阴性。基于这些发现,该肿瘤被诊断为起源于下颌下腺管腔上皮细胞和肌上皮细胞的上皮-肌上皮癌。

https://cdn.ncbi.nlm.nih.gov/pmc/blobs/5bec/3620217/71084ba24820/tox-26-067-g003.jpg
https://cdn.ncbi.nlm.nih.gov/pmc/blobs/5bec/3620217/a6103632dc66/tox-26-067-g001.jpg
https://cdn.ncbi.nlm.nih.gov/pmc/blobs/5bec/3620217/c2eb7c0356b1/tox-26-067-g002.jpg
https://cdn.ncbi.nlm.nih.gov/pmc/blobs/5bec/3620217/71084ba24820/tox-26-067-g003.jpg
https://cdn.ncbi.nlm.nih.gov/pmc/blobs/5bec/3620217/a6103632dc66/tox-26-067-g001.jpg
https://cdn.ncbi.nlm.nih.gov/pmc/blobs/5bec/3620217/c2eb7c0356b1/tox-26-067-g002.jpg
https://cdn.ncbi.nlm.nih.gov/pmc/blobs/5bec/3620217/71084ba24820/tox-26-067-g003.jpg

相似文献

1
A spontaneous epithelial-myoepithelial carcinoma of the submandibular gland in a sprague-dawley rat.一只斯普拉格-道利大鼠下颌下腺的自发性上皮-肌上皮癌。
J Toxicol Pathol. 2013 Mar;26(1):67-72. doi: 10.1293/tox.26.67. Epub 2013 Apr 22.
2
Low-grade epithelial-myoepithelial carcinoma of bartholin gland: report of 2 cases of a distinctive neoplasm arising in the vulvovaginal region.巴氏腺低度上皮-肌上皮癌:外阴阴道区域一种独特肿瘤的2例报告
Int J Gynecol Pathol. 2009 May;28(3):286-91. doi: 10.1097/PGP.0b013e31818e1040.
3
Spontaneous Basal cell carcinoma of the submandibular gland in a rat.大鼠下颌下腺自发性基底细胞癌
J Toxicol Pathol. 2010 Sep;23(3):147-9. doi: 10.1293/tox.23.147. Epub 2010 Oct 5.
4
Low-grade clear cell carcinoma with myoepithelial features in the submandibular gland.下颌下腺具有肌上皮特征的低级别透明细胞癌。
Indian J Otolaryngol Head Neck Surg. 2011 Jul;63(Suppl 1):131-4. doi: 10.1007/s12070-011-0196-8. Epub 2011 Apr 2.
5
Endocrine mucin-producing sweat gland carcinoma: twelve new cases suggest that it is a precursor of some invasive mucinous carcinomas.内分泌黏液生成性汗腺癌:12例新病例提示其为某些浸润性黏液癌的前驱病变。
Am J Surg Pathol. 2005 Oct;29(10):1330-9. doi: 10.1097/01.pas.0000170348.40057.60.
6
A spontaneous myoepithelial carcinoma in the mammary gland of an aged female ICR (CD-1) mouse.一只老年雌性ICR(CD-1)小鼠乳腺中的自发性肌上皮癌。
J Toxicol Pathol. 2017 Jul;30(3):245-250. doi: 10.1293/tox.2016-0080. Epub 2017 Apr 27.
7
[Experimental studies on regeneration of myoepithelial cells--the rat submandibular gland autografted in the tongue].[肌上皮细胞再生的实验研究——大鼠下颌下腺自体移植至舌部]
Hokkaido Igaku Zasshi. 1983 Sep;58(5):513-27.
8
Spontaneous Peripheral Ameloblastic Odontoma in a Male Sprague-Dawley Rat.一只雄性斯普拉格-道利大鼠的自发性外周成釉细胞瘤
Toxicol Res. 2017 Apr;33(2):141-147. doi: 10.5487/TR.2017.33.2.141. Epub 2017 Apr 15.
9
Epithelial-myoepithelial carcinoma of the hypopharynx: A rare case.下咽上皮-肌上皮癌:1例罕见病例
Oncol Lett. 2014 Jun;7(6):1978-1980. doi: 10.3892/ol.2014.2024. Epub 2014 Apr 2.
10
Macrocystic and non-necrotic salivary duct carcinoma of the submandibular gland: A case report.下颌下腺大囊型及非坏死性涎腺导管癌:一例报告。
Radiol Case Rep. 2024 May 7;19(8):3049-3055. doi: 10.1016/j.radcr.2024.04.014. eCollection 2024 Aug.

引用本文的文献

1
Case report: A nodular lesion in the ventral region of the neck in the rat as a starting point for considerations on differential diagnosis.病例报告:大鼠颈部腹侧的一个结节性病变作为鉴别诊断思考的起点。
Front Vet Sci. 2024 Sep 12;11:1472317. doi: 10.3389/fvets.2024.1472317. eCollection 2024.
2
Recurrent myoepithelial carcinoma of the submandibular gland treated by rAd-p53 combined with radiotherapy: A case report.重组腺病毒-p53联合放疗治疗复发性下颌下腺肌上皮癌:一例报告
Oncol Lett. 2016 Aug;12(2):915-917. doi: 10.3892/ol.2016.4746. Epub 2016 Jun 16.
3
Poorly differentiated salivary gland carcinoma with prominent squamous metaplasia in a pregnant Wistar Hannover rat.

本文引用的文献

1
Spontaneous Basal cell carcinoma of the submandibular gland in a rat.大鼠下颌下腺自发性基底细胞癌
J Toxicol Pathol. 2010 Sep;23(3):147-9. doi: 10.1293/tox.23.147. Epub 2010 Oct 5.
2
Spontaneous poorly differentiated carcinoma with cells positive for vimentin in a salivary gland of a young rat.幼鼠唾液腺中出现的具有波形蛋白阳性细胞的自发性低分化癌。
Toxicol Pathol. 2010 Feb;38(2):315-8. doi: 10.1177/0192623309358905. Epub 2010 Feb 2.
3
Epithelial-myoepithelial carcinoma of the minor salivary glands: immunohistochemical and morphological features.
一只怀孕的Wistar Hannover大鼠发生的伴有显著鳞状化生的低分化涎腺癌。
J Vet Med Sci. 2016 Jun 1;78(5):859-62. doi: 10.1292/jvms.15-0539. Epub 2016 Jan 18.
小唾液腺的上皮-肌上皮癌:免疫组织化学和形态学特征。
Anticancer Res. 2009 Nov;29(11):4703-9.
4
Myoepithelial carcinoma of the submandibular gland: report of a case with multiple cutaneous metastases.下颌下腺肌上皮癌:一例伴有多发皮肤转移的病例报告。
Oral Surg Oral Med Oral Pathol Oral Radiol Endod. 2008 Aug;106(2):e26-9. doi: 10.1016/j.tripleo.2008.04.011. Epub 2008 Jun 13.
5
Myoepithelial cell markers in salivary gland neoplasms.唾液腺肿瘤中的肌上皮细胞标志物
Int J Surg Pathol. 2005 Jan;13(1):57-65. doi: 10.1177/106689690501300108.
6
Pathologic and immunohistochemical findings in a feline aortic body tumor.猫主动脉体瘤的病理及免疫组化结果
Vet Pathol. 2004 Mar;41(2):195-8. doi: 10.1354/vp.41-2-195.
7
p63: a novel myoepithelial cell marker in canine mammary tissues.p63:犬乳腺组织中的一种新型肌上皮细胞标志物。
Vet Pathol. 2003 Jul;40(4):412-20. doi: 10.1354/vp.40-4-412.
8
Comparative immunohistochemical study of normal, hyperplastic and neoplastic C cells of the rat thyroid gland.大鼠甲状腺正常、增生及肿瘤性C细胞的免疫组织化学对比研究
Cell Tissue Res. 2002 Sep;309(3):361-8. doi: 10.1007/s00441-002-0599-7. Epub 2002 Jul 13.
9
Parotid gland papillary cystadenocarcinoma in a Fischer 344 rat.一只Fischer 344大鼠的腮腺乳头状囊腺癌
Contemp Top Lab Anim Sci. 2000 May;39(3):31-3.
10
Poorly differentiated carcinoma of the parotid gland in a six-week-old Sprague-Dawley rat.六周龄斯普拉格-道利大鼠的腮腺低分化癌。
Toxicol Pathol. 1997 Mar-Apr;25(2):225-8. doi: 10.1177/019262339702500213.