Suppr超能文献

评估内镜超声引导下细针穿刺胰腺肿块的最小样本量

Evaluating the Minimal Specimens From Endoscopic Ultrasound-Guided Fine-Needle Aspiration in Pancreatic Masses.

作者信息

Park Joo Kyung, Kang Ki Joo, Oh Cho Rong, Lee Jong Kyun, Lee Kyu Taek, Jang Kee Taek, Park Sang-Mo, Lee Kwang Hyuck

机构信息

From the Department of Medicine (JKP, JKL, KTL, KHL), Samsung Medical Center, Sungkyunkwan University School of Medicine, Seoul; Department of Medicine (KJK, CRO), Hallym University College of Medical School, Hallym University Sacred Heart Hospital, Anyang; Department of Pathology (KTJ), Samsung Medical Center, Sungkyunkwan University School of Medicine, Seoul; and Department of pathology (SMP), Soonchunhyang University Bucheon Hospital, Bucheon, Korea.

出版信息

Medicine (Baltimore). 2016 May;95(21):e3740. doi: 10.1097/MD.0000000000003740.

Abstract

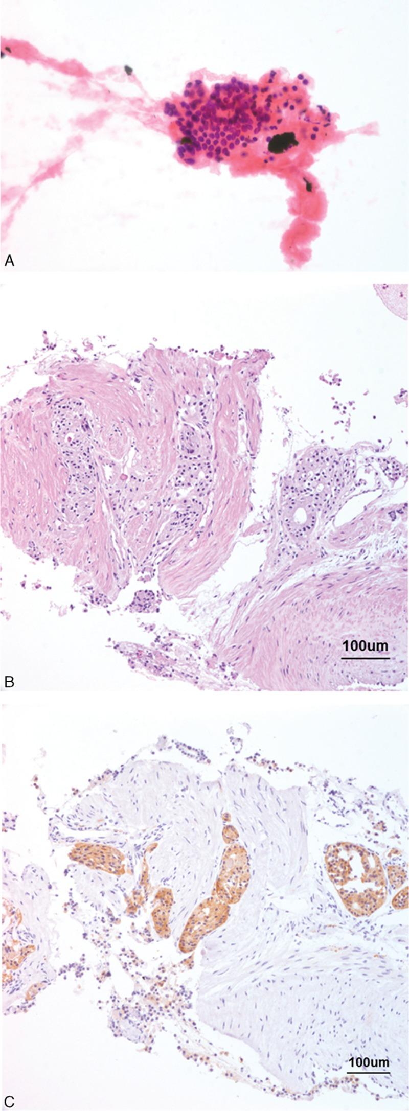
Endoscopic ultrasound-guided fine-needle aspiration (EUS-FNA) has become one of the most useful diagnostic modalities for the diagnosis of pancreatic mass. The aim of this study was to investigate the role of analyzing the minimal specimens obtained by EUS-FNA for the diagnosis of solid masses of pancreas.This study consisted of retrospective and prospective analyses. The retrospective study was performed on 116 patients who underwent EUS-FNA of solid masses for cytological smear, histological analysis, and combined analysis including immunohistochemical (IHC) staining. In the prospective study, 79 patients were enrolled to evaluate the quality and accuracy of EUS-FNA histological analysis and feasibility of IHC staining.The final diagnoses of all patients included pancreatic cancer (n = 126), nonpancreatic cancer (n = 21), other neoplasm (n = 27), and benign lesions (n = 21). In our retrospective study, the combined analysis was more sensitive than cytological analysis alone (P < 0.01). The overall sensitivity of cytology, histology, and combined analysis was 69.8%, 67.2%, and 81.8%, respectively. In the prospective analysis, 64.2% of all punctures were helpful for determining the diagnosis and 40.7% provided sufficient tissue for IHC staining. Histological analysis was helpful for diagnosis in 74.7% of patients. IHC staining was necessary for a definite diagnosis in 11.4% of patients, especially in the cases of nonmalignant pancreatic mass.Histological analysis and IHC study of EUS-FNA specimens was useful for the accurate diagnosis of pancreatic and peripancreatic lesions. Combined analysis showed significantly higher sensitivity than cytology alone because IHC staining was helpful for a diagnosis in some patients.

摘要

内镜超声引导下细针穿刺抽吸术(EUS-FNA)已成为诊断胰腺肿块最有用的诊断方法之一。本研究的目的是探讨分析EUS-FNA获取的微量标本在胰腺实性肿块诊断中的作用。本研究包括回顾性分析和前瞻性分析。回顾性研究对116例行EUS-FNA检查的实性肿块患者进行了细胞学涂片、组织学分析以及包括免疫组化(IHC)染色在内的联合分析。在前瞻性研究中,纳入了79例患者以评估EUS-FNA组织学分析的质量和准确性以及IHC染色的可行性。所有患者的最终诊断包括胰腺癌(n = 126)、非胰腺癌(n = 21)、其他肿瘤(n = 27)和良性病变(n = 21)。在我们的回顾性研究中,联合分析比单纯细胞学分析更敏感(P < 0.01)。细胞学、组织学和联合分析的总体敏感性分别为69.8%、67.2%和81.8%。在前瞻性分析中,所有穿刺中有64.2%有助于确定诊断,40.7%提供了足够的组织用于IHC染色。组织学分析对74.7%的患者诊断有帮助。11.4%的患者需要IHC染色才能明确诊断,尤其是在非恶性胰腺肿块的病例中。EUS-FNA标本的组织学分析和IHC研究有助于准确诊断胰腺及胰腺周围病变。联合分析显示出比单纯细胞学分析显著更高的敏感性,因为IHC染色对一些患者的诊断有帮助。

https://cdn.ncbi.nlm.nih.gov/pmc/blobs/8bed/4902361/855f8e223a24/medi-95-e3740-g001.jpg

文献AI研究员

20分钟写一篇综述,助力文献阅读效率提升50倍。

立即体验

用中文搜PubMed

大模型驱动的PubMed中文搜索引擎

马上搜索

文档翻译

学术文献翻译模型,支持多种主流文档格式。

立即体验