Suppr超能文献

后腹腔镜肾包膜切除术治疗自发性肾包膜下积液:病例系列报告及文献综述

The Retroperitoneal Laparoscopic Renal Capsulectomy for Spontaneous Renal Subcapsular Fluid Collection: A Case-Series Report and Literature Review.

作者信息

Zhu Guodong, Wu Dapeng, Wu Kaijie, Song Wenbin, Yang Zhishang, Zhang Yue, Zhang Linlin, He Dalin

机构信息

From the Department of Urology, The First Affiliated Hospital of Xi'an Jiaotong University, Xi'an, P. R. of China.

出版信息

Medicine (Baltimore). 2016 May;95(21):e3751. doi: 10.1097/MD.0000000000003751.

Abstract

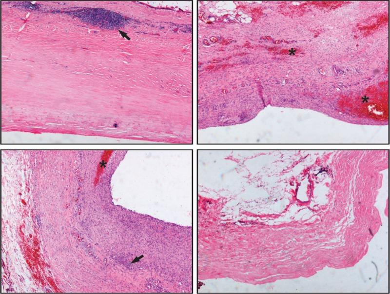
Spontaneous renal subcapsular fluid collection may occur as a rare presentation of nephritic syndrome, and distension of the renal capsula and Gerota fascia due to massive fluid accumulation may cause pain. In addition, hypertension secondary to renal ischemia and activation of renin-angiotensin-aldosterone system may also occur. The objective of this study is to evaluate the surgical outcome of retroperitoneal laparoscopic renal capsulectomy for patients with this disease.We retrospectively analyzed the clinical data of 10 female patients with spontaneous renal subcapsular fluid collection, diagnosed with B ultrasound and enhanced computed tomography (CT) scan. Eight patients first underwent percutaneous renal subcapsular drainage, which seemed to be less effective, and then all patients underwent retroperitoneal laparoscopic renal capsulectomy. The volume of renal subcapsular fluid was documented, the fluid was examined by routine biochemical tests, and the excised renal capsules underwent pathological examination individually. The postoperative drainage time for each patient was documented, and follow-up was conducted 1, 3, 6, 12 months, and 2 years postoperatively.Retroperitoneal laparoscopic renal capsulectomy was successfully performed in all patients with no major complications. The average volume of renal subcapsular fluid was 436 milliliter (mL, 180-880 mL) in light yellow color, and the concentration of creatinine and urea nitrogen was quite similar to that of serum. The pathological findings revealed fibrous dysplasia of the renal capsule with chronic infiltration of inflammatory cells. The average drainage time was 11.5 days (5-30 days) postoperatively. All patients recovered 1 month after the operation and there were no recurrences with a mean follow-up period of 12 months (6-24 months).The reason for spontaneous renal subcapsular fluid collection is unknown, and the aim of treatment is mainly to alleviate symptoms. In our experience, retroperitoneal laparoscopic renal capsulectomy is an effective surgical treatment, especially for patients who were refractory to percutaneous renal subcapsular drainage, with no observed recurrence.

摘要

自发性肾包膜下积液可能作为肾病综合征的一种罕见表现出现,大量液体蓄积导致肾包膜和肾周筋膜扩张可能引起疼痛。此外,继发于肾缺血和肾素 - 血管紧张素 - 醛固酮系统激活的高血压也可能发生。本研究的目的是评估腹膜后腹腔镜肾包膜切除术治疗该病患者的手术效果。我们回顾性分析了10例经B超和增强计算机断层扫描(CT)诊断为自发性肾包膜下积液的女性患者的临床资料。8例患者首先接受了经皮肾包膜下引流,但效果似乎不佳,随后所有患者均接受了腹膜后腹腔镜肾包膜切除术。记录肾包膜下积液的量,对液体进行常规生化检查,并对切除的肾包膜分别进行病理检查。记录每位患者的术后引流时间,并在术后1、3、6、12个月及2年进行随访。所有患者均成功进行了腹膜后腹腔镜肾包膜切除术,无重大并发症。肾包膜下积液的平均量为436毫升(mL,180 - 880 mL),呈浅黄色,肌酐和尿素氮浓度与血清相当。病理结果显示肾包膜纤维发育异常,伴有炎症细胞慢性浸润。术后平均引流时间为11.5天(5 - 30天)。所有患者术后1个月康复,平均随访12个月(6 - 24个月)无复发。自发性肾包膜下积液的原因尚不清楚,治疗目的主要是缓解症状。根据我们的经验,腹膜后腹腔镜肾包膜切除术是一种有效的手术治疗方法,特别是对于经皮肾包膜下引流无效的患者,未观察到复发情况。

https://cdn.ncbi.nlm.nih.gov/pmc/blobs/6b15/4902365/666ba893da8d/medi-95-e3751-g003.jpg

文献检索

告别复杂PubMed语法,用中文像聊天一样搜索,搜遍4000万医学文献。AI智能推荐,让科研检索更轻松。

立即免费搜索

文件翻译

保留排版,准确专业,支持PDF/Word/PPT等文件格式,支持 12+语言互译。

免费翻译文档

深度研究

AI帮你快速写综述,25分钟生成高质量综述,智能提取关键信息,辅助科研写作。

立即免费体验