Suppr超能文献

全膝关节置换术后双侧假体周围胫骨应力性骨折:一例报告。

Bilateral periprosthetic tibial stress fracture after total knee arthroplasty: A case report.

作者信息

Ozdemir Guzelali, Azboy Ibrahim, Yilmaz Baris

机构信息

Fatih Sultan Mehmet Research and Training Hospital, Orthopedics and Traumatology Clinic, Istanbul, Turkey.

Dicle University Medical Faculty, Orthopedics and Traumatology Clinic, Diyarbakir, Turkey.

出版信息

Int J Surg Case Rep. 2016;24:175-8. doi: 10.1016/j.ijscr.2016.04.023. Epub 2016 Apr 19.

Abstract

INTRODUCTION

Periprosthetic fractures around the knee after total knee arthroplasty can be seen in the femur, tibia and patella. The tibial fractures are rare cases. Our case with bilateral tibial stress fracture developed after total knee arthroplasty (TKA) is the first of its kind in the literature.

PRESENTATION OF CASE

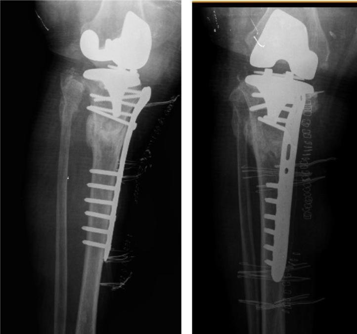
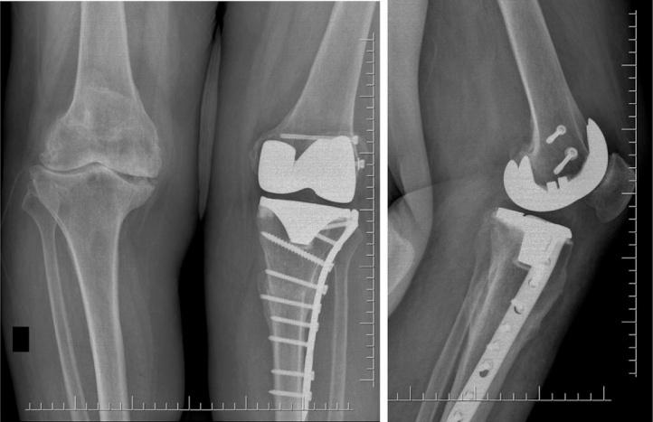
75-year-old male patient with bilateral knee osteoarthritis had not benefited from conservative treatment methods previously applied. Left TKA was applied. In the second month postoperatively, periprosthetic tibial fracture was identified and osteosynthesis was implemented with locked tibia proximal plate-screw. Bone union in 12 weeks was observed in his follow-ups. After 15 months of his first operation, TKA was applied to the right knee. Postoperatively in the second month, as in the first operation, periprosthetic tibial fracture was detected. Osteosynthesis with locking plate-screw was applied and union in 12 weeks was observed in his follow-up. He was seen mobilized independently and without support in the last control of the case made in the 24th month after the second operation.

DISCUSSION

The number of TKA applications is expected to increase in the future. The incidence of periprosthetic fractures should also be expected to increase in these cases. Periprosthetic tibial fractures after TKA are rarely seen. The treatment of periprosthetic fractures around the knee after TKA can be difficult.

CONCLUSION

In the case of persistent pain in the upper end of the tibia after the surgery, stress fracture should be considered.

摘要

引言

全膝关节置换术后膝关节周围的假体周围骨折可见于股骨、胫骨和髌骨。胫骨骨折是罕见病例。我们报道的这例全膝关节置换术后发生双侧胫骨应力性骨折的病例是文献中首例此类病例。

病例介绍

一名75岁男性患者患有双侧膝关节骨关节炎,之前采用的保守治疗方法均未见效。实施了左侧全膝关节置换术。术后第二个月,发现假体周围胫骨骨折,并采用锁定胫骨近端钢板螺钉进行了骨固定。随访观察到12周时骨愈合。首次手术15个月后,对右侧膝关节实施了全膝关节置换术。术后第二个月,如同首次手术一样,检测到假体周围胫骨骨折。采用锁定钢板螺钉进行骨固定,随访观察到12周时愈合。在第二次手术24个月后的最后一次病例检查中,发现他能够独立活动且无需支撑。

讨论

预计未来全膝关节置换术的应用数量将会增加。在这些病例中,假体周围骨折的发生率也可能会增加。全膝关节置换术后假体周围胫骨骨折很少见。全膝关节置换术后膝关节周围假体周围骨折的治疗可能具有挑战性。

结论

术后胫骨上端持续疼痛时,应考虑应力性骨折。

https://cdn.ncbi.nlm.nih.gov/pmc/blobs/c6ca/4908606/e05b5bb77de0/gr1.jpg

文献AI研究员

20分钟写一篇综述,助力文献阅读效率提升50倍。

立即体验

用中文搜PubMed

大模型驱动的PubMed中文搜索引擎

马上搜索

文档翻译

学术文献翻译模型,支持多种主流文档格式。

立即体验