Suppr超能文献

单侧BEST1相关性视网膜病变。

Unilateral BEST1-Associated Retinopathy.

作者信息

Arora Rashi, Khan Kamron, Kasilian Melissa L, Strauss Rupert W, Holder Graham E, Robson Anthony G, Thompson Dorothy A, Moore Anthony T, Michaelides Michel

机构信息

Moorfields Eye Hospital, London, United Kingdom; Salisbury District Hospital, Salisbury, United Kingdom.

Moorfields Eye Hospital, London, United Kingdom; University College London Institute of Ophthalmology, London, United Kingdom.

出版信息

Am J Ophthalmol. 2016 Sep;169:24-32. doi: 10.1016/j.ajo.2016.05.024. Epub 2016 Jun 7.

Abstract

PURPOSE

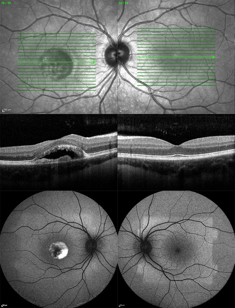
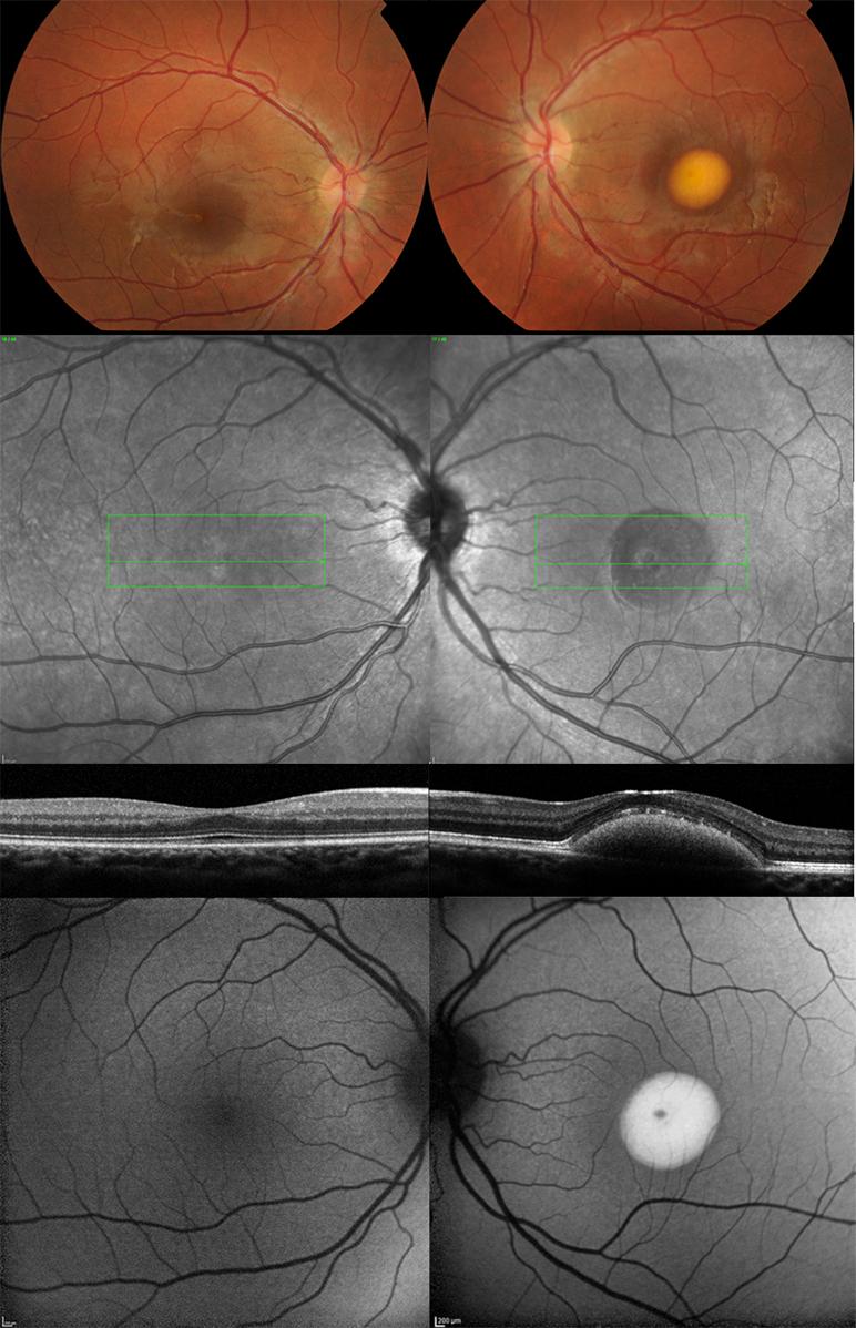
To describe a series of patients with molecularly confirmed mutation in BEST1 causing Best disease but with unilateral clinical manifestation.

DESIGN

Retrospective observational case series.

SETTING

Moorfields Eye Hospital and Great Ormond Street Hospital, London (United Kingdom).

PATIENTS

Five patients (10 eyes) with uniocular manifestation of BEST1 mutation causing Best disease were ascertained retrospectively from the clinical and genetic databases.

MAIN OUTCOME MEASURES

Patients had full ophthalmologic examination, color fundus photography, fundus autofluorescence imaging, spectral-domain optical coherence tomography, and detailed electrophysiological assessment. Genetic testing was performed.

RESULTS

All cases had a clinical appearance typical of and consistent with Best disease at various stages, except that the presentation was unilateral. The reduced electrooculogram light rise was bilateral and in the context of normal electroretinograms therefore indicates generalized dysfunction at the level of the retinal pigment epithelium.

CONCLUSIONS

Mutation in BEST1 has variable penetrance and expressivity, and can be uniocular. The clinical and electrophysiological features described assist targeted mutational screening and alert to the potential diagnosis even when there is an atypical unilateral presentation.

摘要

目的

描述一系列经分子确诊存在 BEST1 基因突变导致 Best 病但临床表现为单侧的患者。

设计

回顾性观察病例系列。

地点

英国伦敦的摩尔菲尔德眼科医院和大奥蒙德街医院。

患者

从临床和基因数据库中回顾性确定了 5 例(10 只眼)因 BEST1 基因突变导致 Best 病且表现为单眼症状的患者。

主要观察指标

患者接受了全面的眼科检查、彩色眼底照相、眼底自发荧光成像、光谱域光学相干断层扫描以及详细的电生理评估。进行了基因检测。

结果

所有病例在不同阶段均具有典型且符合 Best 病的临床表现,只是表现为单侧。眼电图光峰降低是双侧性的,且在视网膜电图正常的情况下,这表明视网膜色素上皮水平存在广泛功能障碍。

结论

BEST1 基因突变具有可变的外显率和表现度,且可为单眼发病。所描述的临床和电生理特征有助于进行针对性的突变筛查,即使在出现非典型单侧表现时也能提示潜在诊断。

https://cdn.ncbi.nlm.nih.gov/pmc/blobs/46cd/5016077/0913c2c5dadf/gr1.jpg

文献AI研究员

20分钟写一篇综述,助力文献阅读效率提升50倍。

立即体验

用中文搜PubMed

大模型驱动的PubMed中文搜索引擎

马上搜索

文档翻译

学术文献翻译模型,支持多种主流文档格式。

立即体验