Suppr超能文献

Use of Fibula Bridge Graft Technique to Treat a Distal Tibia Non Union- A Case Report.

作者信息

Rajani Amyn, Thakkar C J, Shah Ravi, Shyam Ashok

机构信息

The Orthopaedic and Knee Speciality Clinic, Court House, Mumbai.

Lake side nursing home, Bandra (west), Mumbai India.

出版信息

J Orthop Case Rep. 2013 Jan-Mar;3(1):11-4.

Abstract

INTRODUCTION

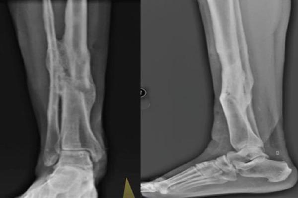
Compound distal tibia fractures have high incidence of nonunions and have varied presentation as far as status of fibula is concerned. If fibula is sufficiently healthy we can use it for bridging the nonunion of tibia.

CASE REPORT

We present a case of 20 year old female with compound and segmental tibia fracture. Primary stablisation by external fixation and later cast brace application achieved union at the proximal end of the segmental fragment with non union at the distal end. This was then treated with bridge grafting of fibula and screw fixation of fibula to the tibia. Five years follow shows good clinical and functional outcome without any complications.

CONCLUSION

Its infrequent to find fibula spanning across the tibia nonunion, however when available this can be used as bridge graft to promote healing.

摘要
https://cdn.ncbi.nlm.nih.gov/pmc/blobs/aac8/4719225/768ad0406c65/JOCR-3-11-g001.jpg

文献AI研究员

20分钟写一篇综述,助力文献阅读效率提升50倍。

立即体验

用中文搜PubMed

大模型驱动的PubMed中文搜索引擎

马上搜索

文档翻译

学术文献翻译模型,支持多种主流文档格式。

立即体验