• 文献检索
  • 文档翻译
  • 深度研究
  • 学术资讯
  • Suppr Zotero 插件Zotero 插件
  • 邀请有礼
  • 套餐&价格
  • 历史记录
应用&插件
Suppr Zotero 插件Zotero 插件浏览器插件Mac 客户端Windows 客户端微信小程序
定价
高级版会员购买积分包购买API积分包
服务
文献检索文档翻译深度研究API 文档MCP 服务
关于我们
关于 Suppr公司介绍联系我们用户协议隐私条款
关注我们

Suppr 超能文献

核心技术专利:CN118964589B侵权必究
粤ICP备2023148730 号-1Suppr @ 2026

文献检索

告别复杂PubMed语法,用中文像聊天一样搜索,搜遍4000万医学文献。AI智能推荐,让科研检索更轻松。

立即免费搜索

文件翻译

保留排版,准确专业,支持PDF/Word/PPT等文件格式,支持 12+语言互译。

免费翻译文档

深度研究

AI帮你快速写综述,25分钟生成高质量综述,智能提取关键信息,辅助科研写作。

立即免费体验

全髋关节置换术后严重的假体周围金属沉着症及聚乙烯内衬失败:云征

Severe Periprosthetic Metallosis and Polyethylene Liner Failure Complicating Total Hip Replacement: The Cloud Sign.

作者信息

Paydar Amir, Chew Felix S, Manner Paul A

出版信息

Radiol Case Rep. 2015 Dec 7;2(4):115. doi: 10.2484/rcr.v2i4.115. eCollection 2007.

DOI:10.2484/rcr.v2i4.115
PMID:27303496
原文链接:https://pmc.ncbi.nlm.nih.gov/articles/PMC4895867/
Abstract

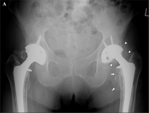
We present a case of an 85-year-old woman with extensive metallosis of the left hip joint secondary to prosthetic polyethelene liner dislocation and wear. Radiographs demonstrated amorphous cloudy radiodensities surrounding the prosthesis, a feature we have called the "cloud sign." The presence of amorphous cloudy radiodensities as a radiographic sign of metallosis has not been previously described to our knowledge.

摘要

我们报告一例85岁女性患者,因人工聚乙烯内衬脱位和磨损继发左髋关节广泛金属沉着症。X线片显示假体周围有无定形云雾状放射密度影,我们将这一特征称为“云雾征”。据我们所知,此前尚无将无定形云雾状放射密度影作为金属沉着症的影像学征象的相关描述。

https://cdn.ncbi.nlm.nih.gov/pmc/blobs/f145/4895867/2487d853c47f/gr3.jpg
https://cdn.ncbi.nlm.nih.gov/pmc/blobs/f145/4895867/2567fcd22800/gr1.jpg
https://cdn.ncbi.nlm.nih.gov/pmc/blobs/f145/4895867/5c697a62204f/gr2a.jpg
https://cdn.ncbi.nlm.nih.gov/pmc/blobs/f145/4895867/a273d5b3a5cf/gr2b.jpg
https://cdn.ncbi.nlm.nih.gov/pmc/blobs/f145/4895867/7aa65800c905/gr2c.jpg
https://cdn.ncbi.nlm.nih.gov/pmc/blobs/f145/4895867/2487d853c47f/gr3.jpg
https://cdn.ncbi.nlm.nih.gov/pmc/blobs/f145/4895867/2567fcd22800/gr1.jpg
https://cdn.ncbi.nlm.nih.gov/pmc/blobs/f145/4895867/5c697a62204f/gr2a.jpg
https://cdn.ncbi.nlm.nih.gov/pmc/blobs/f145/4895867/a273d5b3a5cf/gr2b.jpg
https://cdn.ncbi.nlm.nih.gov/pmc/blobs/f145/4895867/7aa65800c905/gr2c.jpg
https://cdn.ncbi.nlm.nih.gov/pmc/blobs/f145/4895867/2487d853c47f/gr3.jpg

相似文献

1
Severe Periprosthetic Metallosis and Polyethylene Liner Failure Complicating Total Hip Replacement: The Cloud Sign.全髋关节置换术后严重的假体周围金属沉着症及聚乙烯内衬失败:云征
Radiol Case Rep. 2015 Dec 7;2(4):115. doi: 10.2484/rcr.v2i4.115. eCollection 2007.
2
Metallosis and Metal-Induced Synovitis Following Total Knee Arthroplasty: Review of Radiographic and CT Findings.全膝关节置换术后金属中毒与金属诱导性滑膜炎:影像学及CT表现综述
J Radiol Case Rep. 2010;4(9):7-17. doi: 10.3941/jrcr.v4i9.423. Epub 2010 Sep 1.
3
Severe metallosis owing to intraprosthetic dislocation in a failed dual-mobility cup primary total hip arthroplasty.初次双动人工全髋关节置换术后因假体脱位导致严重金属磨损。
J Arthroplasty. 2012 Mar;27(3):493.e1-3. doi: 10.1016/j.arth.2010.11.019. Epub 2011 Jul 12.
4
Radiographic and CT features of metallosis in a lame dog after total hip replacement: the cloud sign.全髋关节置换术后跛行犬金属病的放射学和 CT 特征:云征。
Vet Radiol Ultrasound. 2024 Jan;65(1):49-53. doi: 10.1111/vru.13322. Epub 2023 Dec 22.
5
The result of revision total hip arthroplasty in patients with metallosis following a catastrophic failure of a polyethylene liner.聚乙烯内衬灾难性失败后患有金属沉着病患者的翻修全髋关节置换术结果。
Clin Orthop Surg. 2015 Mar;7(1):46-53. doi: 10.4055/cios.2015.7.1.46. Epub 2015 Feb 10.
6
Catastrophic Failure of the Acetabular Polyethylene Liner in Ceramic-on-Polyethylene Total Hip Arthroplasty.陶瓷对聚乙烯全髋关节置换术中髋臼聚乙烯内衬的灾难性失败
J Orthop Case Rep. 2014 Apr-Jun;4(2):51-6. doi: 10.13107/jocr.2250-0685.168.
7
[Early failure of the polyethylene liner in the ABG I total hip prosthesis].[ABG I全髋关节假体中聚乙烯衬垫的早期失效]
Acta Chir Orthop Traumatol Cech. 2003;70(6):343-9.
8
The bubble sign: a new radiographic sign in total hip arthroplasty.气泡征:全髋关节置换术中一种新的影像学征象。
J Arthroplasty. 2003 Jan;18(1):110-2. doi: 10.1054/arth.2003.50007.
9
Metallosis Presenting as Knee Pain 26 years after Primary Total Knee Arthroplasty.初次全膝关节置换术后26年出现金属沉着病并表现为膝关节疼痛
J Orthop Case Rep. 2015 Apr-Jun;5(2):62-5. doi: 10.13107/jocr.2250-0685.277.
10
Protrusio of a ceramic femoral head through the acetabular metallic shell, extensive metallosis and 'bubble sign'.陶瓷股骨头穿出髋臼金属杯,广泛金属沉着症及“气泡征”
Orthopedics. 2009 Feb;32(2):128.

引用本文的文献

1
Metallosis Following Non-Metal-on-Metal Hip Arthroplasty: A Case Report and Review.非金属对金属髋关节置换术后金属沉着症:一例报告及文献复习
J Orthop Case Rep. 2024 Sep;14(9):111-115. doi: 10.13107/jocr.2024.v14.i09.4748.
2
Synovial Calprotectin for Diagnosing Periprosthetic Joint Infection in Loose Hip and Knee Arthroplasties: A Prospective Cohort Study.滑膜钙卫蛋白诊断髋关节和膝关节置换术后假体周围感染的前瞻性队列研究。
In Vivo. 2023 Jul-Aug;37(4):1714-1720. doi: 10.21873/invivo.13258.
3
Bilateral Failure of Oxidized Zirconium Implants in Total Knee Arthroplasty.

本文引用的文献

1
Images in pathology. Histiocytic lymphadenopathy secondary to metallosis following hip replacement.病理学图像。髋关节置换术后金属沉着病继发组织细胞性淋巴结病。
Int J Surg Pathol. 2006 Oct;14(4):329-30. doi: 10.1177/1066896906292536.
2
[Chronic cobalt poisoning in endoprosthetic replacement].[人工关节置换术后的慢性钴中毒]
Orthopade. 2006 Aug;35(8):860-4. doi: 10.1007/s00132-006-0973-3.
3
Metallosis after contemporary metal-on-metal total hip arthroplasty. Five to nine-year follow-up.当代金属对金属全髋关节置换术后金属沉着病。5至9年随访。
全膝关节置换术中氧化锆植入物的双侧失败
Arthroplast Today. 2023 May 8;21:101144. doi: 10.1016/j.artd.2023.101144. eCollection 2023 Jun.
4
The contribution of the histopathological examination to the diagnosis of adverse local tissue reactions in arthroplasty.组织病理学检查在关节置换术中对局部组织不良反应诊断的贡献。
EFORT Open Rev. 2021 Jun 28;6(6):399-419. doi: 10.1302/2058-5241.6.210013. eCollection 2021 Jun.
5
Fatal vascular complication due to metallosis.金属沉着病导致的致命血管并发症。
J Vasc Surg Cases Innov Tech. 2021 Apr 15;7(2):311-314. doi: 10.1016/j.jvscit.2021.03.010. eCollection 2021 Jun.
6
The Oxinium Arthrogram: A Sign of Oxidized Zirconium Implant Failure.氧化锆关节造影:氧化锆植入失败的迹象。
Arthroplast Today. 2021 Mar 7;8:103-109. doi: 10.1016/j.artd.2021.02.001. eCollection 2021 Apr.
7
Metallosis following a clip breakage in a total knee arthroplasty implant: A case report.全膝关节置换植入物夹子断裂后发生金属沉着症:一例报告。
World J Orthop. 2018 Dec 18;9(12):300-303. doi: 10.5312/wjo.v9.i12.300.
8
Retrieval analysis of ceramic-coated metal-on-polyethylene total hip replacements.陶瓷涂层金属对聚乙烯全髋关节置换术的检索分析
Int Orthop. 2017 Jun;41(6):1101-1105. doi: 10.1007/s00264-016-3314-0. Epub 2016 Oct 25.
9
Metallosis: CT findings in a total hip arthroplasty.金属沉着症:全髋关节置换术的CT表现
Radiol Case Rep. 2015 Nov 6;5(2):410. doi: 10.2484/rcr.v5i2.410. eCollection 2010.
10
Metallosis Presenting as Knee Pain 26 years after Primary Total Knee Arthroplasty.初次全膝关节置换术后26年出现金属沉着病并表现为膝关节疼痛
J Orthop Case Rep. 2015 Apr-Jun;5(2):62-5. doi: 10.13107/jocr.2250-0685.277.
J Bone Joint Surg Am. 2006 Jun;88(6):1183-91. doi: 10.2106/JBJS.D.02916.
4
High failure rate of a modern, proximally roughened, cemented stem for total hip arthroplasty.用于全髋关节置换术的一种现代的、近端表面粗糙的骨水泥型股骨柄假体的高失败率。
Int Orthop. 2006 Aug;30(4):243-7. doi: 10.1007/s00264-005-0066-7. Epub 2006 Apr 29.
5
Revision total hip arthroplasty in hip joints with metallosis: a single-center experience with 31 cases.金属沉着症髋关节的翻修全髋关节置换术:单中心31例经验
J Arthroplasty. 2005 Aug;20(5):568-73. doi: 10.1016/j.arth.2005.04.001.
6
Magnetic resonance imaging in the evaluation of periprosthetic acetabular osteolysis: a cadaveric study.磁共振成像在评估人工关节周围髋臼骨溶解中的应用:一项尸体研究
J Orthop Res. 2005 Jul;23(4):713-9. doi: 10.1016/j.orthres.2005.02.007. Epub 2005 Apr 12.
7
[Osteolysis in revision total knee arthroplasty: a comparative study of osteolysis with and without metallosis].[全膝关节置换翻修术中的骨溶解:有金属沉着症与无金属沉着症的骨溶解对比研究]
Rev Chir Orthop Reparatrice Appar Mot. 2005 Feb;91(1):51-7. doi: 10.1016/s0035-1040(05)84275-8.
8
Computed tomography to assess pelvic lysis after total hip replacement.计算机断层扫描用于评估全髋关节置换术后的骨盆溶解情况。
Clin Orthop Relat Res. 2004 May(422):167-74. doi: 10.1097/01.blo.0000129345.22322.8a.
9
Metallosis due to impingement between the socket and the femoral head in a total hip prosthesis. A case report.全髋关节置换术中髋臼与股骨头撞击导致的金属沉着症。病例报告。
Acta Biomed. 2002;73(5-6):85-91.
10
The bubble sign: a new radiographic sign in total hip arthroplasty.气泡征:全髋关节置换术中一种新的影像学征象。
J Arthroplasty. 2003 Jan;18(1):110-2. doi: 10.1054/arth.2003.50007.