• 文献检索
  • 文档翻译
  • 深度研究
  • 学术资讯
  • Suppr Zotero 插件Zotero 插件
  • 邀请有礼
  • 套餐&价格
  • 历史记录
应用&插件
Suppr Zotero 插件Zotero 插件浏览器插件Mac 客户端Windows 客户端微信小程序
定价
高级版会员购买积分包购买API积分包
服务
文献检索文档翻译深度研究API 文档MCP 服务
关于我们
关于 Suppr公司介绍联系我们用户协议隐私条款
关注我们

Suppr 超能文献

核心技术专利:CN118964589B侵权必究
粤ICP备2023148730 号-1Suppr @ 2026

文献检索

告别复杂PubMed语法,用中文像聊天一样搜索,搜遍4000万医学文献。AI智能推荐,让科研检索更轻松。

立即免费搜索

文件翻译

保留排版,准确专业,支持PDF/Word/PPT等文件格式,支持 12+语言互译。

免费翻译文档

深度研究

AI帮你快速写综述,25分钟生成高质量综述,智能提取关键信息,辅助科研写作。

立即免费体验

结节性硬化症复合体:一例报告。

Tuberous sclerosis complex: A case report.

作者信息

Sarkar Soumyabrata, Khaitan Tanya, Sinha Rupam, Kabiraj Arpita

机构信息

Department of Oral Medicine and Radiology, Haldia Institute of Dental Sciences and Research, Purba Medinipur, Haldia, West Bengal, India.

Department of Oral Pathology and Microbiology, Haldia Institute of Dental Sciences and Research, Purba Medinipur, Haldia, West Bengal, India.

出版信息

Contemp Clin Dent. 2016 Apr-Jun;7(2):236-9. doi: 10.4103/0976-237X.183071.

DOI:10.4103/0976-237X.183071
PMID:27307675
原文链接:https://pmc.ncbi.nlm.nih.gov/articles/PMC4906871/
Abstract

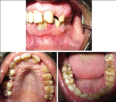
Tuberous sclerosis complex is an unusual autosomal dominant neurocutaneous syndrome characterized by the development of benign tumors affecting different body systems affecting the brain, skin, retina, and viscera. It is characterized by cutaneous changes, neurologic conditions, and the formation of hamartomas in multiple organs leading to morbidity and mortality. The most common oral manifestations are fibromas, gingival hyperplasia, and enamel hypoplasia. The management of these patients is often multidisciplinary involving specialists from various fields. Here, we present a case report of a 26-old-year male patient with characteristic clinical, radiological, and histological features of tuberous sclerosis complex.

摘要

结节性硬化症是一种罕见的常染色体显性神经皮肤综合征,其特征是在影响大脑、皮肤、视网膜和内脏的不同身体系统中出现良性肿瘤。它的特点是皮肤改变、神经系统疾病以及多个器官中错构瘤的形成,从而导致发病和死亡。最常见的口腔表现是纤维瘤、牙龈增生和釉质发育不全。这些患者的治疗通常需要多学科参与,涉及各个领域的专家。在此,我们报告一例26岁男性患者,具有结节性硬化症的典型临床、放射学和组织学特征。

https://cdn.ncbi.nlm.nih.gov/pmc/blobs/79a2/4906871/315c185ad0cf/CCD-7-236-g004.jpg
https://cdn.ncbi.nlm.nih.gov/pmc/blobs/79a2/4906871/03a956ae44e6/CCD-7-236-g001.jpg
https://cdn.ncbi.nlm.nih.gov/pmc/blobs/79a2/4906871/67aef5be2788/CCD-7-236-g002.jpg
https://cdn.ncbi.nlm.nih.gov/pmc/blobs/79a2/4906871/97de791c03ad/CCD-7-236-g003.jpg
https://cdn.ncbi.nlm.nih.gov/pmc/blobs/79a2/4906871/315c185ad0cf/CCD-7-236-g004.jpg
https://cdn.ncbi.nlm.nih.gov/pmc/blobs/79a2/4906871/03a956ae44e6/CCD-7-236-g001.jpg
https://cdn.ncbi.nlm.nih.gov/pmc/blobs/79a2/4906871/67aef5be2788/CCD-7-236-g002.jpg
https://cdn.ncbi.nlm.nih.gov/pmc/blobs/79a2/4906871/97de791c03ad/CCD-7-236-g003.jpg
https://cdn.ncbi.nlm.nih.gov/pmc/blobs/79a2/4906871/315c185ad0cf/CCD-7-236-g004.jpg

相似文献

1
Tuberous sclerosis complex: A case report.结节性硬化症复合体:一例报告。
Contemp Clin Dent. 2016 Apr-Jun;7(2):236-9. doi: 10.4103/0976-237X.183071.
2
Tuberous sclerosis complex with oral manifestations: a case report and literature review.结节性硬化症的口腔表现:病例报告及文献复习。
Med Oral Patol Oral Cir Bucal. 2011 Jul 1;16(4):e478-81. doi: 10.4317/medoral.16.e478.
3
Unusual adult-onset cardiac rhabdomyomas in tuberous sclerosis complex: a case report.结节性硬化症中的罕见成人期心脏横纹肌瘤:一例报告
Front Med (Lausanne). 2024 Jul 31;11:1386089. doi: 10.3389/fmed.2024.1386089. eCollection 2024.
4
A 28-Year-Old Male Patient with Nail Tumors, Skin Lesions, and Epilepsy.一名患有指甲肿瘤、皮肤病变和癫痫的28岁男性患者。
Case Rep Dermatol. 2017 Jan 26;9(1):12-19. doi: 10.1159/000455037. eCollection 2017 Jan-Apr.
5
Gingival enlargement as a manifestation of tuberous sclerosis: case report and periodontal management.牙龈肿大作为结节性硬化症的一种表现:病例报告及牙周治疗
J Periodontol. 2008 Apr;79(4):759-63. doi: 10.1902/jop.2008.070407.
6
Pictorial review of tuberous sclerosis in various organs.各器官结节性硬化症的影像学综述。
Radiographics. 2008 Nov-Dec;28(7):e32. doi: 10.1148/rg.e32. Epub 2008 Sep 4.
7
Tuberous sclerosis: histological analysis with confocal laser scanning microscope of gingival angiofibromatosis.结节性硬化症:牙龈血管纤维瘤病的共聚焦激光扫描显微镜组织学分析
Pathologica. 2015 Sep-Dec;107(3-4):197-200.
8
Comprehensive imaging manifestations of tuberous sclerosis.结节性硬化症的综合影像学表现。
AJR Am J Roentgenol. 2015 May;204(5):933-43. doi: 10.2214/AJR.13.12235.
9
Central nervous system manifestations of tuberous sclerosis complex.结节性硬化症的中枢神经系统表现。
Am J Med Genet C Semin Med Genet. 2018 Sep;178(3):291-298. doi: 10.1002/ajmg.c.31647. Epub 2018 Sep 19.
10
Clinical and radiological findings related to tuberous sclerosis complex: a case report.与结节性硬化症相关的临床及影像学表现:一例病例报告
J Contemp Dent Pract. 2008 May 1;9(4):85-91.

引用本文的文献

1
Tuberous Sclerosis Complex Presenting as Periungual Fibromas: A Rare Case Report and Literature Review.以甲周纤维瘤为表现的结节性硬化症:1例罕见病例报告及文献复习
Clin Cosmet Investig Dermatol. 2024 Dec 3;17:2747-2753. doi: 10.2147/CCID.S488272. eCollection 2024.
2
Late diagnosis of tuberous sclerosis complex in a 40-year-old female presenting with abdominal pain: a case report.一名40岁腹痛女性结节性硬化症的延迟诊断:病例报告
Ann Med Surg (Lond). 2023 Feb 7;85(2):203-207. doi: 10.1097/MS9.0000000000000149. eCollection 2023 Feb.
3
Epilepsy associated tuberous sclerosis; a case report from Bangladesh.

本文引用的文献

1
Tuberous sclerosis complex diagnosed from oral lesions.从口腔病变诊断出结节性硬化症复合体。
Sao Paulo Med J. 2013;131(5):351-5. doi: 10.1590/1516-3180.2013.1315441.
2
Tuberous sclerosis complex diagnostic criteria update: recommendations of the 2012 Iinternational Tuberous Sclerosis Complex Consensus Conference.结节性硬化症综合诊断标准更新:2012 年国际结节性硬化症共识会议推荐。
Pediatr Neurol. 2013 Oct;49(4):243-54. doi: 10.1016/j.pediatrneurol.2013.08.001.
3
Tuberous sclerosis complex with oral manifestations: a case report and literature review.
癫痫相关结节性硬化症;来自孟加拉国的一例病例报告。
Ann Med Surg (Lond). 2022 May 11;78:103738. doi: 10.1016/j.amsu.2022.103738. eCollection 2022 Jun.
4
Congenital cardiac masses: a case report.先天性心脏肿块:病例报告。
J Med Case Rep. 2022 Apr 22;16(1):166. doi: 10.1186/s13256-022-03371-1.
5
Diagnostic features of tuberous sclerosis complex: case report and literature review.结节性硬化症复合体的诊断特征:病例报告与文献综述
Quant Imaging Med Surg. 2022 Jan;12(1):846-861. doi: 10.21037/qims-21-412.
6
Incidental case finding of a 19-year-old woman with Tuberous Sclerosis Complex: A step-wise Multidisciplinary approach.一名19岁结节性硬化症女性患者的偶然病例发现:一种逐步的多学科方法。
Clin Case Rep. 2021 Oct 6;9(10):e04933. doi: 10.1002/ccr3.4933. eCollection 2021 Oct.
结节性硬化症的口腔表现:病例报告及文献复习。
Med Oral Patol Oral Cir Bucal. 2011 Jul 1;16(4):e478-81. doi: 10.4317/medoral.16.e478.
4
Misdiagnosis of tuberous sclerosis in a Nigerian girl: a case report and review of literature.一名尼日利亚女孩结节性硬化症的误诊:病例报告及文献综述
Ann Afr Med. 2010 Apr-Jun;9(2):95-101. doi: 10.4103/1596-3519.64754.
5
Tuberous sclerosis complex: report of two intrafamilial cases, both in mother and daughter.结节性硬化症复合体:两例家族内病例报告,均为母女。
Rom J Morphol Embryol. 2009;50(1):119-24.
6
Genotype/phenotype correlation in 325 individuals referred for a diagnosis of tuberous sclerosis complex in the United States.美国325例因结节性硬化症复合体诊断而接受检查的个体的基因型/表型相关性。
Genet Med. 2007 Feb;9(2):88-100. doi: 10.1097/gim.0b013e31803068c7.