Zhao Hongyi, Wu Huijuan, He Jialin, Zhuang Jianhua, Liu Zhenyu, Yang Yang, Huang Liuqing, Zhao Zhongxin
aDepartment of Neurology, Changzheng Hospital bAcademy of Clinical Medicine, Second Military Medical University of PLA, Shanghai, People's Republic of China.
Neuroreport. 2016 Aug 17;27(12):916-22. doi: 10.1097/WNR.0000000000000631.
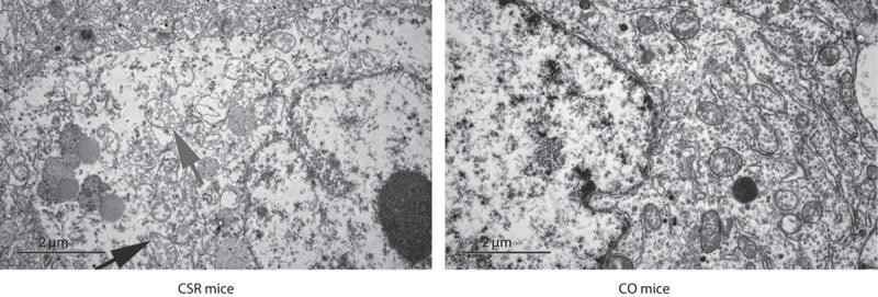
Mitochondrial dysfunction induced by mitochondria-related β-amyloid (Aβ) accumulation is increasingly being considered a novel risk factor for sporadic Alzheimer's disease pathophysiology. The close relationship between chronic sleep restriction (CSR) and cortical Aβ elevation was confirmed recently. By assessing frontal cortical mitochondrial function (electron microscopy manifestation, cytochrome C oxidase concentration, ATP level, and mitochondrial membrane potential) and the levels of mitochondria-related Aβ in 9-month-old adult male C57BL/6J mice subjected to CSR and as an environmental control (CO) group, we aimed to evaluate the association of CSR with mitochondrial dysfunction and mitochondria-related Aβ accumulation. In this study, frontal cortical mitochondrial dysfunction was significantly more severe in CSR mice compared with CO animals. Furthermore, CSR mice showed higher mitochondria-associated Aβ, total Aβ, and mitochondria-related β-amyloid protein precursor (AβPP) levels compared with CO mice. In the CSR model, mouse frontal cortical mitochondrial dysfunction was correlated with mitochondria-associated Aβ and mitochondria-related AβPP levels. However, frontal cortical mitochondria-associated Aβ levels showed no significant association with cortical total Aβ and mitochondrial AβPP concentrations. These findings indicated that CSR-induced frontal cortical mitochondrial dysfunction and mitochondria-related Aβ accumulation, which was closely related to mitochondrial dysfunction under CSR.
由线粒体相关的β-淀粉样蛋白(Aβ)积累所诱导的线粒体功能障碍,日益被视为散发性阿尔茨海默病病理生理学的一种新的风险因素。慢性睡眠限制(CSR)与皮质Aβ升高之间的密切关系最近得到了证实。通过评估9月龄成年雄性C57BL/6J小鼠(分为遭受CSR的实验组和作为环境对照的CO组)的额叶皮质线粒体功能(电子显微镜表现、细胞色素C氧化酶浓度、ATP水平和线粒体膜电位)以及线粒体相关Aβ的水平,我们旨在评估CSR与线粒体功能障碍和线粒体相关Aβ积累之间的关联。在本研究中,与CO组动物相比,CSR小鼠的额叶皮质线粒体功能障碍明显更严重。此外,与CO组小鼠相比,CSR小鼠表现出更高的线粒体相关Aβ、总Aβ以及线粒体相关β-淀粉样蛋白前体(AβPP)水平。在CSR模型中,小鼠额叶皮质线粒体功能障碍与线粒体相关Aβ和线粒体相关AβPP水平相关。然而,额叶皮质线粒体相关Aβ水平与皮质总Aβ和线粒体AβPP浓度之间未显示出显著关联。这些发现表明,CSR诱导了额叶皮质线粒体功能障碍和线粒体相关Aβ积累,而这与CSR条件下的线粒体功能障碍密切相关。