Suppr超能文献

一名患有伏格特-小柳-原田综合征的患者在接受全身糖皮质激素脉冲治疗后出现髋部疼痛,诊断为极早期股骨头坏死:病例报告

Extremely early stage osteonecrosis of the femoral head in a patient with hip pain secondary systemic steroid pulse therapy for Vogt-Koyanagi-Harada syndrome: A case report.

作者信息

Kuroda Yutaka, So Kazutaka, Goto Koji, Matsuda Shuichi

机构信息

Department of Orthopaedic Surgery, Graduate School of Medicine, Kyoto University, Shogoin, Kawahara-cho 54, Sakyo-ku, Kyoto 606-8507, Japan.

Department of Orthopaedic Surgery, Graduate School of Medicine, Kyoto University, Shogoin, Kawahara-cho 54, Sakyo-ku, Kyoto 606-8507, Japan.

出版信息

Int J Surg Case Rep. 2016;25:97-101. doi: 10.1016/j.ijscr.2016.06.003. Epub 2016 Jun 15.

Abstract

INTRODUCTION

Osteonecrosis of the femoral head (ONFH) is a corticosteroid-associated disease that mostly cause femoral head collapse and gait disturbance. At the final stage of ONFH, the most reliable treatment is total hip arthroplasty even in young patients. Although magnetic resonance imaging (MRI) is useful for early diagnosis, initial stages are asymptomatic, with pain intensifying after femoral head collapse.

PRESENTATION OF CASE

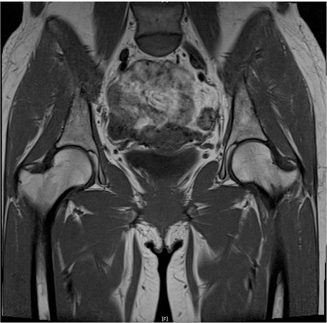
A 34-year-old female patient with rapid bilateral loss of vision was diagnosed Vogt-Koyanagi-Harada syndrome. She immediately received corticosteroid pulse therapy. While undergoing therapy, she complained of groin pain. The initial MRI of the hip did not show abnormal findings. As the right proximal thigh pain progressed, an MRI of the lumbar spine was performed. No compression of the spinal cord was observed, and right ONFH was suspected on the basis of a characteristic band image. The patient was diagnosed with Stage 1 ONFH 7 weeks after the initial symptoms. She was successfully treated by joint-preserving regenerative therapy using growth factor. After surgery, the patient completely recovered from pain.

DISCUSSION

The occurrence of hip pain while receiving corticosteroid therapy was very rare. The present case was considered a result of reduction of the blood supply to the femoral head induced by hip pain that progressed to ONFH for unknown reasons.

CONCLUSION

It is difficult to identify cases of corticosteroid-associated ONFH even in patients with potential risk. In this case, we could identify the patient extremely early based on the ONFH image and could provide joint-preserving regenerative therapy.

摘要

引言

股骨头坏死(ONFH)是一种与皮质类固醇相关的疾病,主要导致股骨头塌陷和步态障碍。在ONFH的终末期,即使是年轻患者,最可靠的治疗方法也是全髋关节置换术。尽管磁共振成像(MRI)有助于早期诊断,但在疾病初期患者没有症状,在股骨头塌陷后疼痛加剧。

病例介绍

一名34岁女性患者因双眼视力迅速丧失被诊断为Vogt-小柳原田综合征。她立即接受了皮质类固醇脉冲治疗。在治疗过程中,她主诉腹股沟疼痛。最初的髋关节MRI未显示异常。随着右大腿近端疼痛加剧,进行了腰椎MRI检查。未观察到脊髓受压,根据特征性带状影像怀疑为右股骨头坏死。在出现初始症状7周后,该患者被诊断为1期股骨头坏死。通过使用生长因子的保关节再生疗法,她得到了成功治疗。术后,患者疼痛完全缓解。

讨论

在接受皮质类固醇治疗时出现髋关节疼痛的情况非常罕见。本病例被认为是由于髋关节疼痛导致股骨头血供减少,原因不明,进而发展为股骨头坏死。

结论

即使是有潜在风险的患者,也很难识别出与皮质类固醇相关的股骨头坏死病例。在本病例中,我们能够根据股骨头坏死影像极早期识别出患者,并提供保关节再生疗法。

https://cdn.ncbi.nlm.nih.gov/pmc/blobs/3902/4925909/810dd099958f/gr1.jpg

文献AI研究员

20分钟写一篇综述,助力文献阅读效率提升50倍。

立即体验

用中文搜PubMed

大模型驱动的PubMed中文搜索引擎

马上搜索

文档翻译

学术文献翻译模型,支持多种主流文档格式。

立即体验