Suppr超能文献

一种极其罕见的并存情况:成人急性阑尾炎与多发肠套叠

An Extremely Rare Coexistence: Acute Appendicitis and Multiple Intussusceptions in an Adult.

作者信息

Ozan Ebru, Atac Gokce Kaan

机构信息

Department of Radiology, Ufuk University School of Medicine, Ankara, Turkey.

出版信息

Pol J Radiol. 2016 Jun 4;81:265-7. doi: 10.12659/PJR.896501. eCollection 2016.

Abstract

BACKGROUND

Adult intussusception is a rare phenomenon, acute appendicitis accompanying multiple transient intussusceptions are much more uncommon. Satisfaction and quiting imaging studies after finding an intussusception on ultrasound, may lead diagnostic errors. Radiologists should raise their awareness of imaging findings in intussusception and keep in their mind coexistent troubles in the belly. This unique case presents unusual imaging findings of a rare dual abdominal emergency condition, particularly highlighting the value of abdominal computed tomography.

CASE REPORT

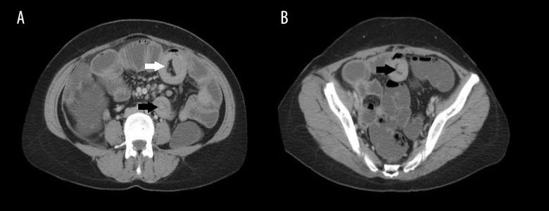
32-year-old female was admitted to Emergency Department with complaints of epigastric abdominal pain and vomiting. US identified 'target' appereance on left paramedian location at umbilical level. Contrast enhanced abdominal CT not only confirmed the enteric intussusception that was demonstrated on previos US, but also showed additional concomitant intussusceptions and inflamed appendix.

CONCLUSIONS

Adult intussusception is a rare phenomenon, multiple transient intussusceptions are even more uncommon. This unique report adds, precious clinical and imaging findings of acute appendicitis coexisting with multiple spontaneously resolving intussusceptions, to the literature. Physicians should be alerted for accompanying multiple abdominal pathologies and use justification essentials to make their decisions about the selection of the appropriate imaging modality.

摘要

背景

成人肠套叠是一种罕见现象,急性阑尾炎伴发多个短暂性肠套叠则更为罕见。在超声检查发现肠套叠后就感到满意并停止影像学检查,可能会导致诊断错误。放射科医生应提高对肠套叠影像学表现的认识,并牢记腹部可能并存的问题。这个独特的病例展示了一种罕见的双重腹部急症的不寻常影像学表现,特别凸显了腹部计算机断层扫描的价值。

病例报告

一名32岁女性因上腹部疼痛和呕吐被收入急诊科。超声检查在脐水平左旁正中位置发现“靶征”。增强腹部CT不仅证实了先前超声检查显示的肠套叠,还显示了额外并存的肠套叠和发炎的阑尾。

结论

成人肠套叠是一种罕见现象,多个短暂性肠套叠更为罕见。这份独特的报告为文献增添了急性阑尾炎与多个自发缓解的肠套叠并存的宝贵临床和影像学发现。医生应警惕并存的多种腹部病变,并合理运用必要依据来决定选择合适的影像学检查方式。

https://cdn.ncbi.nlm.nih.gov/pmc/blobs/2883/4907400/aeb4bd762d6c/poljradiol-81-265-g001.jpg

文献检索

告别复杂PubMed语法,用中文像聊天一样搜索,搜遍4000万医学文献。AI智能推荐,让科研检索更轻松。

立即免费搜索

文件翻译

保留排版,准确专业,支持PDF/Word/PPT等文件格式,支持 12+语言互译。

免费翻译文档

深度研究

AI帮你快速写综述,25分钟生成高质量综述,智能提取关键信息,辅助科研写作。

立即免费体验