Suppr超能文献

通过靶向 SHP-1 阻断 VEGF-A 旁分泌和自分泌环可抑制三阴性乳腺癌转移。

Disrupting VEGF-A paracrine and autocrine loops by targeting SHP-1 suppresses triple negative breast cancer metastasis.

机构信息

Institute of Biopharmaceutical Sciences, National Yang-Ming University, Taipei, Taiwan.

Department of Clinical Laboratory Sciences and Medical Biotechnology, National Taiwan University, Taipei, Taiwan.

出版信息

Sci Rep. 2016 Jul 1;6:28888. doi: 10.1038/srep28888.

Abstract

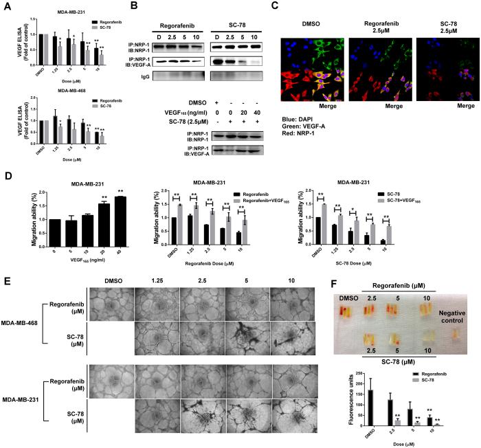
Patients with triple-negative breast cancer (TNBC) had an increased likelihood of distant recurrence and death, as compared with those with non-TNBC subtype. Regorafenib is a multi-receptor tyrosine kinase (RTK) inhibitor targeting oncogenesis and has been approved for metastatic colorectal cancer and advanced gastrointestinal stromal tumor. Recent studies suggest regorafenib acts as a SHP-1 phosphatase agonist. Here, we investigated the potential of regorafenib to suppress metastasis of TNBC cells through targeting SHP-1/p-STAT3/VEGF-A axis. We found a significant correlation between cancer cell migration and SHP-1/p-STAT3/VEGF-A expression in human TNBC cells. Clinically, high VEGF-A expression is associated with worse disease-free and distant metastasis-free survival. Regorafenib induced significant anti-migratory effects, in association with downregulation of p-STAT3 and VEGF-A. To exclude the role of RTK inhibition in regorafenib-induced anti-metastasis, we synthesized a regorafenib derivative, SC-78, that had minimal effect on VEGFR2 and PDGFR kinase inhibition, while having more potent effects on SHP-1 activation. SC-78 demonstrated superior in vitro and in vivo anti-migration to regorafenib. Furthermore, VEGF-A dependent autocrine/paracrine loops were disrupted by regorafenib and SC-78. This study implies that SHP-1/p-STAT3/VEGF-A axis is a potential therapeutic target for metastatic TNBC, and the more potent SC-78 may be a promising lead for suppressing metastasis of TNBC.

摘要

与非三阴性乳腺癌(non-TNBC)亚型相比,三阴性乳腺癌(TNBC)患者发生远处复发和死亡的可能性增加。regorafenib 是一种针对肿瘤发生的多受体酪氨酸激酶(RTK)抑制剂,已被批准用于转移性结直肠癌和晚期胃肠道间质瘤。最近的研究表明,regorafenib 作为 SHP-1 磷酸酶激动剂发挥作用。在这里,我们研究了 regorafenib 通过靶向 SHP-1/p-STAT3/VEGF-A 轴抑制 TNBC 细胞转移的潜力。我们发现人 TNBC 细胞中癌细胞迁移与 SHP-1/p-STAT3/VEGF-A 表达之间存在显著相关性。临床上,高 VEGF-A 表达与无病生存和无远处转移生存不良相关。Regorafenib 诱导了显著的抗迁移作用,与 p-STAT3 和 VEGF-A 的下调相关。为了排除 RTK 抑制在 regorafenib 诱导的抗转移中的作用,我们合成了 regorafenib 衍生物 SC-78,它对 VEGFR2 和 PDGFR 激酶抑制的作用很小,而对 SHP-1 激活的作用更强。SC-78 在体外和体内均表现出优于 regorafenib 的抗迁移作用。此外,regorafenib 和 SC-78 破坏了 VEGF-A 依赖性自分泌/旁分泌环。这项研究表明,SHP-1/p-STAT3/VEGF-A 轴是转移性 TNBC 的潜在治疗靶点,而更有效的 SC-78 可能是抑制 TNBC 转移的有前途的先导化合物。

https://cdn.ncbi.nlm.nih.gov/pmc/blobs/86ec/4929457/07fbbc206602/srep28888-f1.jpg

文献AI研究员

20分钟写一篇综述,助力文献阅读效率提升50倍。

立即体验

用中文搜PubMed

大模型驱动的PubMed中文搜索引擎

马上搜索

文档翻译

学术文献翻译模型,支持多种主流文档格式。

立即体验