Suppr超能文献

维甲酸(4-HPR)作用于髓母细胞瘤细胞和髓母细胞瘤细胞球中的半胱天冬酶-9、细胞外调节蛋白激酶1/2以及Wnt3a/β-连环蛋白信号通路。

Fenretinide (4-HPR) Targets Caspase-9, ERK 1/2 and the Wnt3a/β-Catenin Pathway in Medulloblastoma Cells and Medulloblastoma Cell Spheroids.

作者信息

Bassani Barbara, Bartolini Desirèe, Pagani Arianna, Principi Elisa, Zollo Massimo, Noonan Douglas M, Albini Adriana, Bruno Antonino

机构信息

Scientific and Technological Pole, IRCCS MultiMedica, Milano, Italy.

Department of Molecular Medicine and Medical Biotechnology, University of Naples Federico II, Naples, Italy.

出版信息

PLoS One. 2016 Jul 1;11(7):e0154111. doi: 10.1371/journal.pone.0154111. eCollection 2016.

Abstract

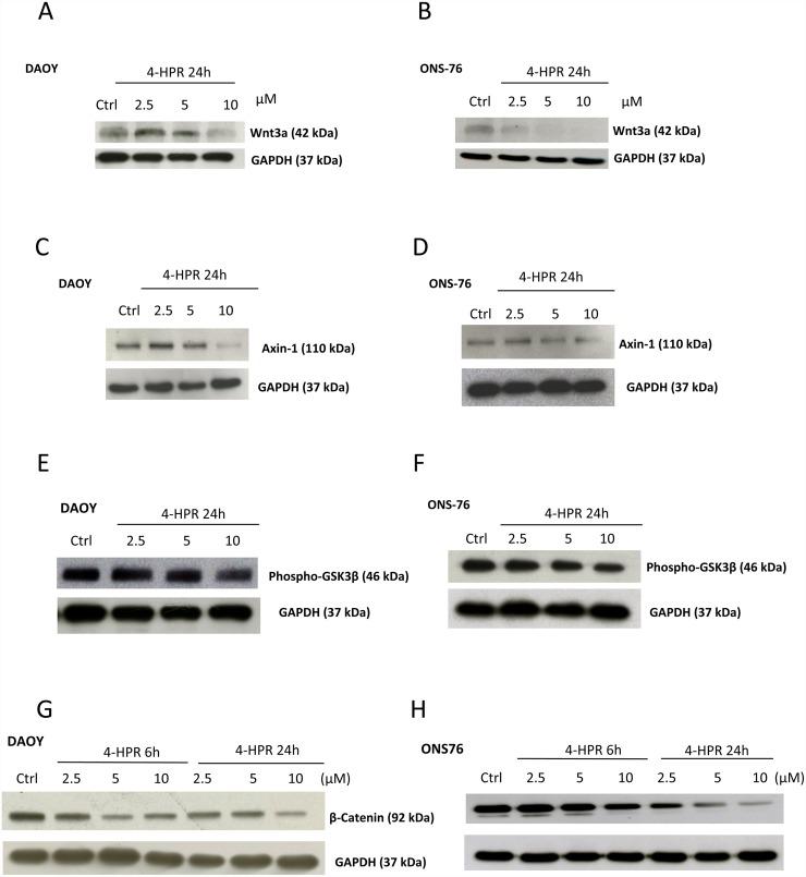
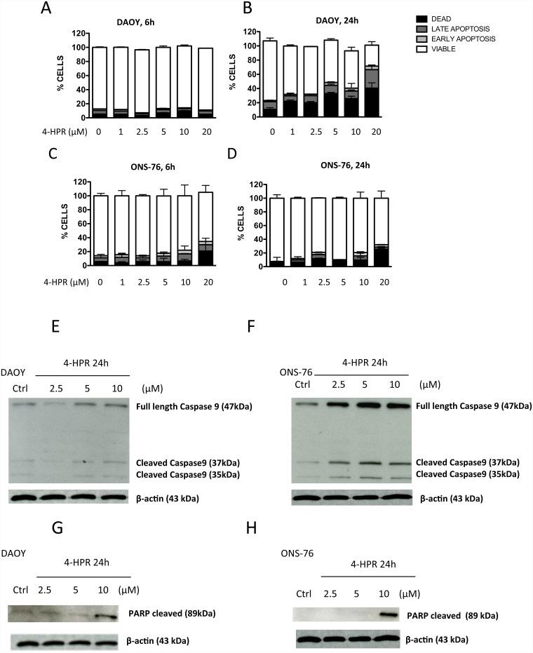
Medulloblastoma (MB), a neuroectodermal tumor arising in the cerebellum, represents the most frequent childhood brain malignancy. Current treatments for MB combine radiation and chemotherapy and are often associated with relevant side effects; novel therapeutic strategies are urgently needed. N-(4-Hydroxyphenyl) retinamide (4-HPR, fenretinide), a synthetic analogue of all-trans retinoic acid, has emerged as a promising and well-tolerated cancer chemopreventive and chemotherapeutic agent for various neoplasms, from breast cancer to neuroblastoma. Here we investigated the effects of 4-HPR on MB cell lines and identified the mechanism of action for a potential use in therapy of MB. Flow cytometry analysis was performed to evaluate 4-HPR induction of apoptosis and oxygen reactive species (ROS) production, as well as cell cycle effects. Functional analysis to determine 4-HPR ability to interfere with MB cell migration and invasion were performed. Western Blot analysis were used to investigate the crucial molecules involved in selected signaling pathways associated with apoptosis (caspase-9 and PARP-1), cell survival (ERK 1/2) and tumor progression (Wnt3a and β-catenin). We show that 4-HPR induces caspase 9-dependent cell death in DAOY and ONS-76 cells, associated with increased ROS generation, suggesting that free radical intermediates might be directly involved. We observed 4-HPR induction of cell cycle arrest in G1/S phase, inactivated β-catenin, and inhibition of MB cell migration and invasion. We also evaluated the ability of 4-HPR to target MB cancer-stem/cancer-initiating cells, using an MB spheroids model, followed by flow cytometry and quantitative real-time PCR. 4-HPR treatment reduced DAOY and ONS-76 spheroid formation, in term of number and size. Decreased expression of the surface markers CD133+ and ABCG2+ as well as Oct-4 and Sox-2 gene expression were observed on BTICs treated with 4-HPR further reducing BITIC invasive activities. Finally, we analyzed 4-HPR ability to inhibit MB tumor cell growth in vivo in nude mice. Taken together, our data suggest that 4-HPR targets both parental and MB tumor stem/initiating cell-like populations. Since 4-HPR exerts low toxicity, it could represent a valid compound in the treatment of human MB.

摘要

髓母细胞瘤(MB)是一种起源于小脑的神经外胚层肿瘤,是儿童期最常见的脑恶性肿瘤。目前MB的治疗方法是放疗和化疗相结合,且常常伴有相关副作用;因此迫切需要新的治疗策略。N-(4-羟基苯基)视黄酸酰胺(4-HPR,非诺贝特)是全反式维甲酸的合成类似物,已成为一种有前景且耐受性良好的癌症化学预防和化疗药物,可用于治疗从乳腺癌到神经母细胞瘤的各种肿瘤。在此,我们研究了4-HPR对MB细胞系的影响,并确定了其在MB治疗中潜在应用的作用机制。通过流式细胞术分析评估4-HPR诱导的细胞凋亡、氧自由基(ROS)生成以及细胞周期效应。进行功能分析以确定4-HPR干扰MB细胞迁移和侵袭的能力。采用蛋白质免疫印迹分析来研究与细胞凋亡(半胱天冬酶-9和PARP-1)、细胞存活(ERK 1/2)和肿瘤进展(Wnt3a和β-连环蛋白)相关的特定信号通路中涉及的关键分子。我们发现,4-HPR可诱导DAOY和ONS-76细胞发生半胱天冬酶9依赖性细胞死亡,并伴有ROS生成增加,这表明自由基中间体可能直接参与其中。我们观察到4-HPR可诱导细胞周期在G1/S期停滞,使β-连环蛋白失活,并抑制MB细胞的迁移和侵袭。我们还使用MB球体模型,通过流式细胞术和定量实时PCR评估了4-HPR靶向MB癌症干细胞/癌症起始细胞的能力。4-HPR处理减少了DAOY和ONS-76球体的形成数量和大小。在用4-HPR处理的脑肿瘤起始细胞(BTIC)上观察到表面标志物CD133+和ABCG2+的表达降低,以及Oct-4和Sox-2基因表达下降,进一步降低了BTIC的侵袭活性。最后,我们分析了4-HPR在裸鼠体内抑制MB肿瘤细胞生长的能力。综上所述,我们的数据表明,4-HPR可靶向亲本细胞以及MB肿瘤干细胞/起始细胞样群体。由于4-HPR毒性较低,它可能是治疗人类MB的一种有效化合物。

https://cdn.ncbi.nlm.nih.gov/pmc/blobs/dd1d/4930187/31660040e540/pone.0154111.g001.jpg

文献检索

告别复杂PubMed语法,用中文像聊天一样搜索,搜遍4000万医学文献。AI智能推荐,让科研检索更轻松。

立即免费搜索

文件翻译

保留排版,准确专业,支持PDF/Word/PPT等文件格式,支持 12+语言互译。

免费翻译文档

深度研究

AI帮你快速写综述,25分钟生成高质量综述,智能提取关键信息,辅助科研写作。

立即免费体验