Nguyen Xuan Canh, Nguyen Dinh Song Huy, Ngo Van Tan, Maurea Simone
Unit of PET/CT and Cyclotron, Choray Hospital, Vietnam.
Department of Liver Tumor, Choray Hospital, Vietnam.
Asia Ocean J Nucl Med Biol. 2015 Winter;3(1):10-7.
In this study, we aimed to describe the characteristics of portal vein tumor thrombosis (PVTT), complicating hepatocellular carcinoma (HCC) in contrast-enhanced FDG PET/CT scan.
In this retrospective study, 9 HCC patients with FDG-avid PVTT were diagnosed by contrast-enhanced fluorodeoxyglucose positron emission tomography/computed tomography (FDG PET/CT), which is a combination of dynamic liver CT scan, multiphase imaging, and whole-body PET scan. PET and CT DICOM images of patients were imported into the PET/CT imaging system for the re-analysis of contrast enhancement and FDG uptake in thrombus, the diameter of the involved portal vein, and characteristics of liver tumors and metastasis.
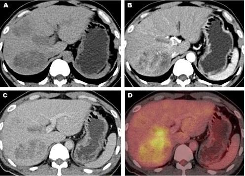
Two patients with previously untreated HCC and 7 cases with previously treated HCC had FDG-avid PVTT in contrast-enhanced FDG PET/CT scan. During the arterial phase of CT scan, portal vein thrombus showed contrast enhancement in 8 out of 9 patients (88.9%). PET scan showed an increased linear FDG uptake along the thrombosed portal vein in all patients. The mean greatest diameter of thrombosed portal veins was 1.8 ± 0.2 cm, which was significantly greater than that observed in normal portal veins (P<0.001). FDG uptake level in portal vein thrombus was significantly higher than that of blood pool in the reference normal portal vein (P=0.001). PVTT was caused by the direct extension of liver tumors. All patients had visible FDG-avid liver tumors in contrast-enhanced images. Five out of 9 patients (55.6%) had no extrahepatic metastasis, 3 cases (33.3%) had metastasis of regional lymph nodes, and 1 case (11.1%) presented with distant metastasis. The median estimated survival time of patients was 5 months.
The intraluminal filling defect consistent with thrombous within the portal vein, expansion of the involved portal vein, contrast enhancement, and linear increased FDG uptake of the thrombus extended from liver tumor are findings of FDG-avid PVTT from HCC in contrast-enhanced FDG PET/CT.
在本研究中,我们旨在描述在对比增强FDG PET/CT扫描中,合并肝细胞癌(HCC)的门静脉肿瘤血栓形成(PVTT)的特征。
在这项回顾性研究中,9例FDG摄取阳性的PVTT的HCC患者通过对比增强氟脱氧葡萄糖正电子发射断层扫描/计算机断层扫描(FDG PET/CT)确诊,该检查结合了肝脏动态CT扫描、多期成像和全身PET扫描。将患者的PET和CT DICOM图像导入PET/CT成像系统,以重新分析血栓中的对比增强和FDG摄取情况、受累门静脉的直径以及肝肿瘤和转移灶的特征。
2例既往未治疗的HCC患者和7例既往接受过治疗的HCC患者在对比增强FDG PET/CT扫描中出现FDG摄取阳性的PVTT。在CT扫描的动脉期,9例患者中有8例(88.9%)门静脉血栓显示对比增强。PET扫描显示所有患者沿血栓形成的门静脉FDG摄取呈线性增加。血栓形成的门静脉的平均最大直径为1.8±0.2 cm,显著大于正常门静脉的直径(P<0.001)。门静脉血栓中的FDG摄取水平显著高于正常门静脉参考血池的摄取水平(P=0.001)。PVTT是由肝肿瘤直接蔓延所致。所有患者在对比增强图像中均可见FDG摄取阳性的肝肿瘤。9例患者中有5例(55.6%)无肝外转移,3例(33.3%)有区域淋巴结转移,1例(11.1%)有远处转移。患者的中位估计生存时间为5个月。
在对比增强FDG PET/CT中,门静脉内与血栓一致的腔内充盈缺损、受累门静脉扩张、对比增强以及源于肝肿瘤的血栓FDG摄取线性增加是HCC患者FDG摄取阳性PVTT的表现。