Mytsyk Miroslawa, Grapow Martin T R, Shahinian Jasmin, Maurer Markus, Gurke Lorenz, Eckstein Friedrich S
Division of Cardiac Surgerz, University Hospital of Basel, Basel, Switzerland.
Department of Anesthesia, University Hospital of Basel, Basel, Switzerland.
J Cardiothorac Surg. 2016 Jul 16;11(1):110. doi: 10.1186/s13019-016-0485-0.
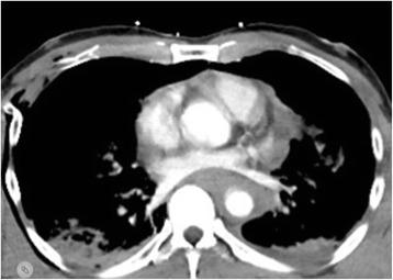
An incomplete traumatic rupture of the ascending aorta is a rare but life-threatening condition. Hence, the assessment of the extent of the injury prior to therapy is crucial. We report a case of a 50-year-old male with traumatic aortic rupture who underwent emergency surgery after the evaluation of computed tomography scan (CT-scan). The surgical treatment involved replacement of the ascending aorta and stent implantation in descending aorta due to its covered rupture.
升主动脉不完全性创伤性破裂是一种罕见但危及生命的病症。因此,在治疗前评估损伤程度至关重要。我们报告一例50岁男性创伤性主动脉破裂患者,在计算机断层扫描(CT扫描)评估后接受了急诊手术。手术治疗包括升主动脉置换以及因降主动脉覆膜破裂而行的支架植入术。