Suppr超能文献

间充质干细胞给药途径对顺铂诱导的Sprague Dawley大鼠急性肾损伤影响的研究

Study of the Effect of Route of Administration of Mesenchymal Stem Cells on Cisplatin-Induced Acute Kidney Injury in Sprague Dawley Rats.

作者信息

Moustafa Fatma E, Sobh Mohamed-A, Abouelkheir Mohamed, Khater Youmna, Mahmoud Khalid, Saad Mohamed-Ahdy, Sobh Mohamed A

机构信息

Department of Clinical Pathology, Faculty of Medicine, Mansoura University, Mansoura, Egypt.

Urology and Nephrology Center, Faculty of Medicine, Mansoura University, Mansoura, Egypt.

出版信息

Int J Stem Cells. 2016 May 30;9(1):79-89. doi: 10.15283/ijsc.2016.9.1.79.

Abstract

BACKGROUND AND OBJECTIVES

Mesenchymal stem cells (MSCs) have been shown to ameliorate cisplatin-induced acute kidney injury (AKI). The present study compares the efficacy of different routes of MSCs administration on kidney damage and regeneration after cisplatin-induced AKI.

METHODS

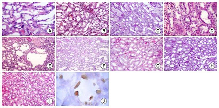
A single intraperitoneal injection of cisplatin (5 mg/kg) was used to induce AKI in 160 rats. MSCs (5×10⁶) were given by either intravenous, intra-arterial or kidney sub capsular injection one day after cisplatin injection. Suitable control groups were included. Rats were sacrificed at 4, 7, 11 and 30 days after cisplatin injection. Kidney function parameters, kidney tissue oxidative stress markers, and scoring for renal tissue injury, regeneration and chronicity were all determined.

RESULTS

MSCs by any routes were able to ameliorate kidney function deterioration and renal tissue damage induced by cisplatin. The overall results of the three routes were equal. Differences between the different routes in one parameter were transient and inconsistent with other parameters.

CONCLUSIONS

Changing the route of MSCs injection does not have a major influence on the outcome. Future evaluation should focus on differences between the routes of administration considering the long term safety.

摘要

背景与目的

间充质干细胞(MSCs)已被证明可改善顺铂诱导的急性肾损伤(AKI)。本研究比较了不同途径给予MSCs对顺铂诱导的AKI后肾脏损伤和再生的疗效。

方法

单次腹腔注射顺铂(5mg/kg)诱导160只大鼠发生AKI。在顺铂注射后一天,通过静脉、动脉或肾被膜下注射给予MSCs(5×10⁶)。纳入合适的对照组。在顺铂注射后4、7、11和30天处死大鼠。测定肾功能参数、肾组织氧化应激标志物以及肾组织损伤、再生和慢性化评分。

结果

任何途径给予的MSCs均能改善顺铂诱导的肾功能恶化和肾组织损伤。三种途径的总体结果相当。不同途径在一个参数上的差异是短暂的,且与其他参数不一致。

结论

改变MSCs注射途径对结果没有重大影响。未来的评估应考虑长期安全性,关注给药途径之间的差异。

https://cdn.ncbi.nlm.nih.gov/pmc/blobs/f149/4961107/32801e6a4658/ijsc-09-079f1.jpg

文献检索

告别复杂PubMed语法,用中文像聊天一样搜索,搜遍4000万医学文献。AI智能推荐,让科研检索更轻松。

立即免费搜索

文件翻译

保留排版,准确专业,支持PDF/Word/PPT等文件格式,支持 12+语言互译。

免费翻译文档

深度研究

AI帮你快速写综述,25分钟生成高质量综述,智能提取关键信息,辅助科研写作。

立即免费体验