Suppr超能文献

An Eustachian Tube Neuroendocrine Carcinoma: A Previously Undescribed Entity and Review of the Literature.

作者信息

le Nobel Gavin J, Lin Vincent Y, Iakovlev Vladimir, Lee John M

机构信息

Department of Otolaryngology, Head and Neck Surgery, University of Toronto, Toronto, ON, Canada M5G 2N2; Sunnybrook Health Sciences Center, Toronto, ON, Canada M4N 3M5; St. Michael's Hospital, Toronto, ON, Canada M5B 1W8.

Department of Otolaryngology, Head and Neck Surgery, University of Toronto, Toronto, ON, Canada M5G 2N2; Sunnybrook Health Sciences Center, Toronto, ON, Canada M4N 3M5.

出版信息

Case Rep Surg. 2016;2016:4643615. doi: 10.1155/2016/4643615. Epub 2016 Jun 27.

Abstract

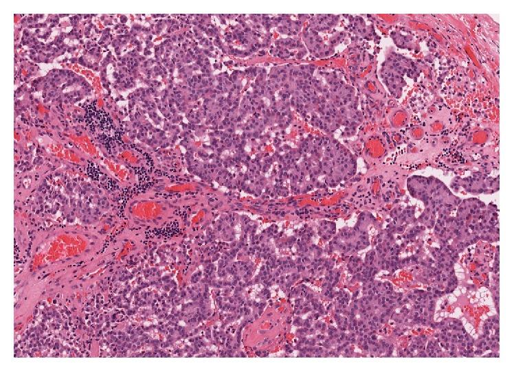
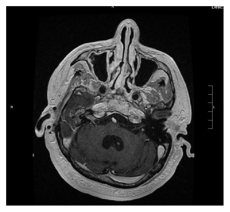
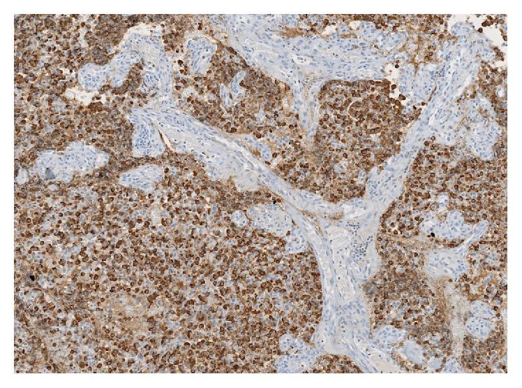
Primary sinonasal and middle ear neuroendocrine carcinomas are rare malignancies of the head and neck. Owing to the rarity of these tumors, the clinical behavior and optimal management of these tumors are not well defined. We present a case of an incidentally discovered sinonasal neuroendocrine carcinoma that was found to originate from the Eustachian tube, which has not previously been described in the literature. This patient was treated with primary surgical resection using a combination of transnasal and transaural approaches and achieved an incomplete resection. Follow-up imaging demonstrated continued tumor growth in the Eustachian tube as well as a new growth in the ipsilateral cerebellopontine angle and findings suspicious of perineural invasion. However, the tumor exhibited a benign growth pattern and despite continued growth the patient did not receive additional treatment and he remains asymptomatic 35 months following his original surgery.

摘要
https://cdn.ncbi.nlm.nih.gov/pmc/blobs/8dea/4939327/eca91f48525f/CRIS2016-4643615.001.jpg

文献AI研究员

20分钟写一篇综述,助力文献阅读效率提升50倍。

立即体验

用中文搜PubMed

大模型驱动的PubMed中文搜索引擎

马上搜索

文档翻译

学术文献翻译模型,支持多种主流文档格式。

立即体验