Hana Ardian, Hana Anisa, Dooms Georges, Boecher-Schwarz Hans, Hertel Frank
National Service of Neurosurgery, Centre Hospitalier de Luxembourg, Rue Barblé 25, 1210, Luxembourg, Luxembourg.
Internal Medicine Rotterdam, Erasmus University Rotterdam, Rotterdam, The Netherlands.
BMC Res Notes. 2016 Jul 18;9:345. doi: 10.1186/s13104-016-2162-8.
We wanted to depict fibers of the dentatorubrothalamic tract in patients with Parkinson's disease and multiple sclerosis in order to use this knowledge for clinical routine and to show its relation to the corticospinal tract for deep brain stimulation. Fibers of these white matter tracts were depicted between February 2014 and February 2015 in nine patients of all ages. There were seven men and two women. The mean age was 60 years. We used a 3DT1 sequence for the navigation. Additional scanning time was less than 9 min. Both tracts were portrayed in all patients.
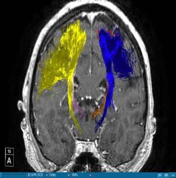
We were able to successfully portray these white matter tracts in all patients. We visualized the medial and lateral parts of the corticospinal tract by using a region of interest which covered the whole motor cortex. Furthermore we segmented the motor cortex. The fibers ran from this area of the brain through the internal capsule and they could be followed until their entry in the brainstem. The dentatorubrothalamic tract was smaller than the corticospinal tract. It was situated medio-posteriorly of the corticospinal tract. After decussation to the contralateral red nucleus it was localised next to the midline when it entered the motor cortex. From the thalamus on, it proceeds medially and posteriorly of the corticospinal tract further to the motor cortex. Depiction of the whole tract is essential for the differentiation of the dentatorubrothalamic tract with the corticospinal tract.
The depiction of the dentatorubrothalamic tract might be useful for neurosurgeons when deep brain stimulation is planned. Knowing its relation to other white matter tracts can help physicians like neurosurgeons or neurologists avoid side effects and deal with patients with DBS. The position of the electrode might be crucial for a satisfactory outcome.
我们希望描绘帕金森病和多发性硬化症患者的齿状核红核丘脑束纤维,以便将这些知识应用于临床实践,并展示其与皮质脊髓束在脑深部刺激中的关系。2014年2月至2015年2月期间,对各年龄段的9名患者的这些白质束纤维进行了描绘。其中男性7名,女性2名。平均年龄为60岁。我们使用3DT1序列进行导航。额外的扫描时间少于9分钟。所有患者均描绘了这两条束。
我们能够在所有患者中成功描绘这些白质束。我们通过使用覆盖整个运动皮层的感兴趣区域来可视化皮质脊髓束的内侧和外侧部分。此外,我们对运动皮层进行了分割。纤维从大脑的这个区域穿过内囊,并且可以追踪到它们进入脑干。齿状核红核丘脑束比皮质脊髓束小。它位于皮质脊髓束的中后部。交叉到对侧红核后,当它进入运动皮层时位于中线附近。从丘脑开始,它在皮质脊髓束的内侧和后方继续延伸至运动皮层。描绘整个束对于区分齿状核红核丘脑束和皮质脊髓束至关重要。
在计划进行脑深部刺激时,描绘齿状核红核丘脑束可能对神经外科医生有用。了解其与其他白质束的关系可以帮助神经外科医生或神经科医生等医生避免副作用并治疗接受脑深部刺激的患者。电极的位置对于获得满意的结果可能至关重要。