Suppr超能文献

短链脂肪酸(SCFA)可重编程人类恶性上皮细胞和淋巴细胞中的基因表达。

Short Chain Fatty Acids (SCFA) Reprogram Gene Expression in Human Malignant Epithelial and Lymphoid Cells.

作者信息

Astakhova Lidiia, Ngara Mtakai, Babich Olga, Prosekov Aleksandr, Asyakina Lyudmila, Dyshlyuk Lyubov, Midtvedt Tore, Zhou Xiaoying, Ernberg Ingemar, Matskova Liudmila

机构信息

Institute of Food Science and Technology, Kemerovo, Russia.

Department of Microbiology, Tumor and Cell Biology (MTC), Karolinska Institutet, Stockholm, Sweden.

出版信息

PLoS One. 2016 Jul 21;11(7):e0154102. doi: 10.1371/journal.pone.0154102. eCollection 2016.

Abstract

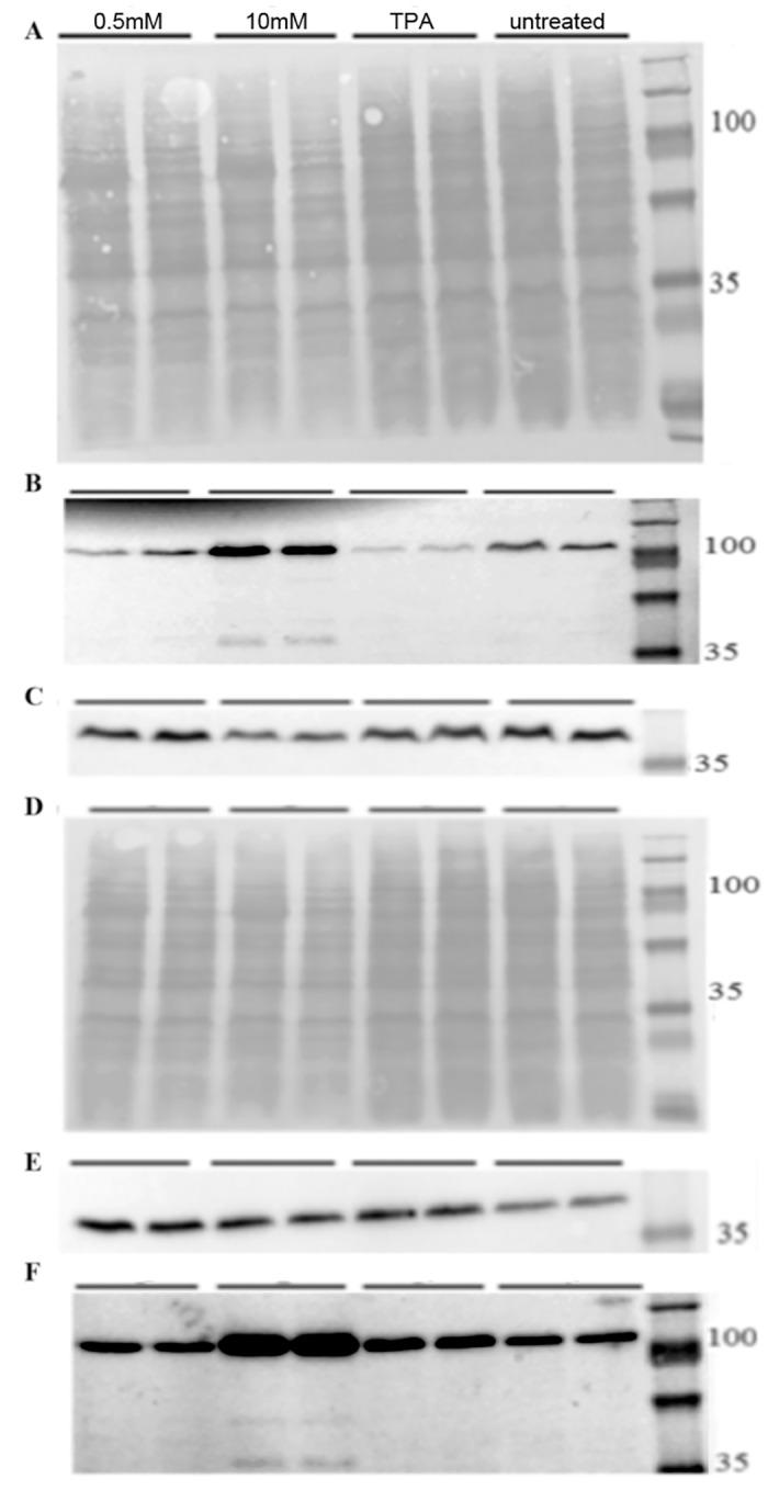
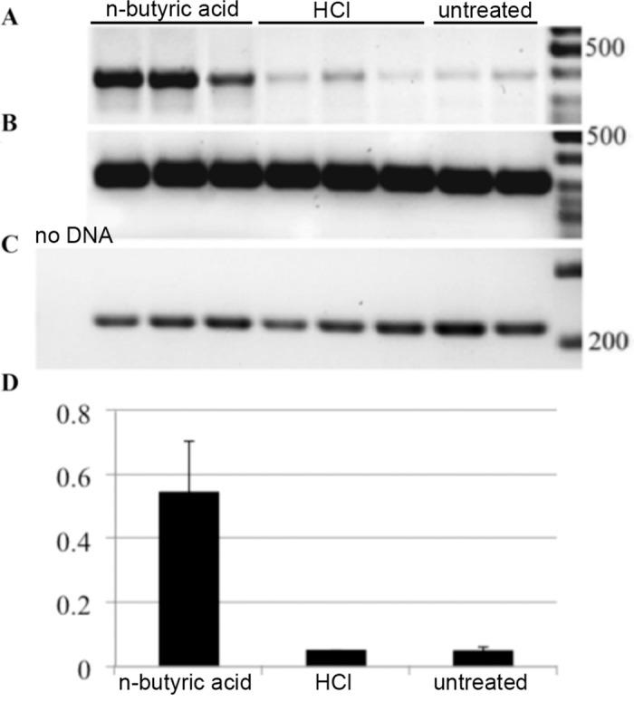
The effect of short chain fatty acids (SCFAs) on gene expression in human, malignant cell lines was investigated, with a focus on signaling pathways. The commensal microbial flora produce high levels of SCFAs with established physiologic effects in humans. The most abundant SCFA metabolite in the human microflora is n-butyric acid. It is well known to activate endogenous latent Epstein-Barr virus (EBV), that was used as a reference read out system and extended to EBV+ epithelial cancer cell lines. N-butyric acid and its salt induced inflammatory and apoptotic responses in tumor cells of epithelial and lymphoid origin. Epithelial cell migration was inhibited. The n-butyric gene activation was reduced by knock-down of the cell membrane transporters MCT-1 and -4 by siRNA. N-butyric acid show biologically significant effects on several important cellular functions, also with relevance for tumor cell phenotype.

摘要

研究了短链脂肪酸(SCFAs)对人类恶性细胞系基因表达的影响,重点关注信号通路。共生微生物群产生高水平的SCFAs,对人类具有既定的生理作用。人类微生物群中最丰富的SCFA代谢产物是正丁酸。众所周知,它能激活内源性潜伏性爱泼斯坦-巴尔病毒(EBV),该病毒被用作参考读出系统,并扩展到EBV阳性上皮癌细胞系。正丁酸及其盐在上皮和淋巴来源的肿瘤细胞中诱导炎症和凋亡反应。上皮细胞迁移受到抑制。通过小干扰RNA(siRNA)敲低细胞膜转运蛋白MCT-1和-4可降低正丁酸基因的激活。正丁酸对几种重要的细胞功能具有生物学上的显著影响,这也与肿瘤细胞表型相关。

https://cdn.ncbi.nlm.nih.gov/pmc/blobs/6c74/4956219/119dc680ce2f/pone.0154102.g001.jpg

文献AI研究员

20分钟写一篇综述,助力文献阅读效率提升50倍。

立即体验

用中文搜PubMed

大模型驱动的PubMed中文搜索引擎

马上搜索

文档翻译

学术文献翻译模型,支持多种主流文档格式。

立即体验