Suppr超能文献

肾素缺乏型Dahl盐敏感大鼠的肾脏钠转运

Renal sodium transport in renin-deficient Dahl salt-sensitive rats.

作者信息

Pavlov Tengis S, Levchenko Vladislav, Ilatovskaya Daria V, Moreno Carol, Staruschenko Alexander

机构信息

Department of Physiology, Medical College of Wisconsin, USA.

Department of Physiology, Medical College of Wisconsin, USA Cardiovascular and Metabolic Diseases, MedImmune, Cambridge, UK.

出版信息

J Renin Angiotensin Aldosterone Syst. 2016 Jul 21;17(3). doi: 10.1177/1470320316653858. Print 2016 Jul.

Abstract

OBJECTIVE

The Dahl salt-sensitive rat is a well-established model of salt-sensitive hypertension. The goal of this study was to assess the expression and activity of renal sodium channels and transporters in the renin-deficient salt-sensitive rat.

METHODS

Renin knockout (Ren(-/-)) rats created on the salt-sensitive rat background were used to investigate the role of renin in the regulation of ion transport in salt-sensitive hypertension. Western blotting and patch-clamp analyses were utilized to assess the expression level and activity of Na(+) transporters.

RESULTS

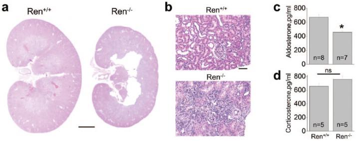
It has been described previously that Ren(-/-) rats exhibit severe kidney underdevelopment, polyuria, and lower body weight and blood pressure compared to their wild-type littermates. Here we found that renin deficiency led to decreased expression of sodium-hydrogen antiporter (NHE3), the Na(+)/H(+) exchanger involved in Na(+) absorption in the proximal tubules, but did not affect the expression of Na-K-Cl cotransporter (NKCC2), the main transporter in the loop of Henle. In the distal nephron, the expression of sodium chloride cotransporter (NCC) was lower in Ren(-/-) rats. Single-channel patch clamp analysis detected decreased ENaC activity in Ren(-/-) rats which was mediated via changes in the channel open probability.

CONCLUSION

These data illustrate that renin deficiency leads to significant dysregulation of ion transporters.

摘要

目的

达利盐敏感大鼠是一种成熟的盐敏感性高血压模型。本研究的目的是评估肾素缺乏型盐敏感大鼠肾钠通道和转运体的表达及活性。

方法

以盐敏感大鼠为背景构建的肾素敲除(Ren(-/-))大鼠用于研究肾素在盐敏感性高血压离子转运调节中的作用。采用蛋白质印迹法和膜片钳分析法评估钠转运体的表达水平和活性。

结果

先前已有报道称,与野生型同窝仔鼠相比,Ren(-/-)大鼠表现出严重的肾脏发育不全、多尿、体重和血压较低。在此我们发现,肾素缺乏导致近端小管中参与钠重吸收的钠氢交换体(NHE3)表达降低,但不影响亨利氏袢中的主要转运体钠钾氯共转运体(NKCC2)的表达。在远端肾单位,Ren(-/-)大鼠中氯化钠共转运体(NCC)的表达较低。单通道膜片钳分析检测到Ren(-/-)大鼠中ENaC活性降低,这是通过通道开放概率的变化介导的。

结论

这些数据表明肾素缺乏导致离子转运体显著失调。

https://cdn.ncbi.nlm.nih.gov/pmc/blobs/5ed8/5843935/9abdff58d02b/10.1177_1470320316653858-fig1.jpg

文献AI研究员

20分钟写一篇综述,助力文献阅读效率提升50倍。

立即体验

用中文搜PubMed

大模型驱动的PubMed中文搜索引擎

马上搜索

文档翻译

学术文献翻译模型,支持多种主流文档格式。

立即体验