Suppr超能文献

小麦穗轴木质部堵塞及相关水力导度损失与籽粒灌浆结束同时发生。

Ear Rachis Xylem Occlusion and Associated Loss in Hydraulic Conductance Coincide with the End of Grain Filling for Wheat.

作者信息

Neghliz Hayet, Cochard Hervé, Brunel Nicole, Martre Pierre

机构信息

UMR GDEC, INRA, Blaise Pascal UniversityClermont-Ferrand, France; Laboratoire d'Ecophysiologie Végétale, Ecole Normale SupérieureKouba, Algeria.

UMR PIAF, INRA, UCA Clermont-Ferrand, France.

出版信息

Front Plant Sci. 2016 Jun 27;7:920. doi: 10.3389/fpls.2016.00920. eCollection 2016.

Abstract

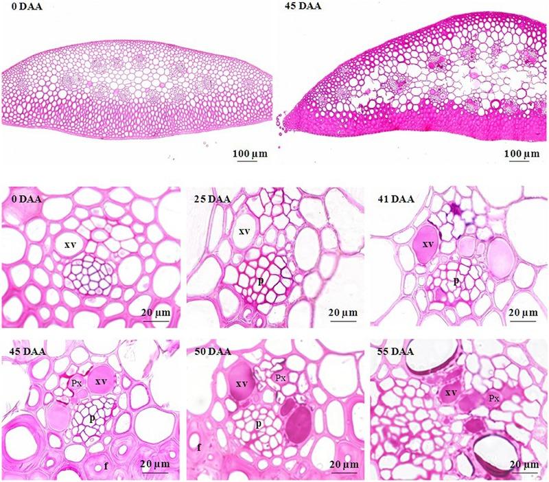
Seed dehydration is the normal terminal event in the development of orthodox seeds and is physiologically related to the cessation of grain dry mass accumulation and crop grain yield. For a better understanding of grain dehydration, we evaluated the hypothesis that hydraulic conductance of the ear decreases during the latter stages of development and that this decrease results from disruption or occlusion of xylem conduits. Whole ear, rachis, and stem nodes hydraulic conductance and percentage loss of xylem conductivity were measured from flowering to harvest-ripeness on bread wheat (Triticum aestivum L.) cv. Récital grown under controlled environments. Flag leaf transpiration, stomatal conductance, chlorophyll content and grain and ear water potentials were also measured during grain development. We show that grain dehydration was not related with whole plant physiology and leaf senescence, but closely correlated with the hydraulic properties of the xylem conduits irrigating the grains. Indeed, there was a substantial decrease in rachis hydraulic conductance at the onset of the grain dehydration phase. This hydraulic impairment was not caused by the presence of air embolism in xylem conduits of the stem internodes or rachis but by the occlusion of the xylem lumens by polysaccharides (pectins and callose). Our results demonstrate that xylem hydraulics plays a key role during grain maturation.

摘要

种子脱水是传统型种子发育过程中的正常末期事件,在生理上与谷物干物质积累的停止以及作物籽粒产量相关。为了更好地理解谷物脱水,我们评估了以下假设:在发育后期,穗部的水力导度会降低,且这种降低是由于木质部导管的破坏或堵塞所致。在可控环境下种植的面包小麦(Triticum aestivum L.)品种Récital上,从开花到收获成熟阶段,测量了整穗、穗轴和茎节的水力导度以及木质部导水率的损失百分比。在籽粒发育过程中,还测量了旗叶蒸腾作用、气孔导度、叶绿素含量以及籽粒和穗部的水势。我们发现,籽粒脱水与整株植物生理和叶片衰老无关,而是与灌溉籽粒的木质部导管的水力特性密切相关。实际上,在籽粒脱水阶段开始时,穗轴的水力导度大幅下降。这种水力损伤并非由茎节间或穗轴的木质部导管中存在空气栓塞引起,而是由多糖(果胶和胼胝质)堵塞木质部腔所致。我们的结果表明,木质部水力在籽粒成熟过程中起关键作用。

https://cdn.ncbi.nlm.nih.gov/pmc/blobs/3091/4921477/0207df251282/fpls-07-00920-g001.jpg

文献AI研究员

20分钟写一篇综述,助力文献阅读效率提升50倍。

立即体验

用中文搜PubMed

大模型驱动的PubMed中文搜索引擎

马上搜索

文档翻译

学术文献翻译模型,支持多种主流文档格式。

立即体验