• 文献检索
  • 文档翻译
  • 深度研究
  • 学术资讯
  • Suppr Zotero 插件Zotero 插件
  • 邀请有礼
  • 套餐&价格
  • 历史记录
应用&插件
Suppr Zotero 插件Zotero 插件浏览器插件Mac 客户端Windows 客户端微信小程序
定价
高级版会员购买积分包购买API积分包
服务
文献检索文档翻译深度研究API 文档MCP 服务
关于我们
关于 Suppr公司介绍联系我们用户协议隐私条款
关注我们

Suppr 超能文献

核心技术专利:CN118964589B侵权必究
粤ICP备2023148730 号-1Suppr @ 2026

文献检索

告别复杂PubMed语法,用中文像聊天一样搜索,搜遍4000万医学文献。AI智能推荐,让科研检索更轻松。

立即免费搜索

文件翻译

保留排版,准确专业,支持PDF/Word/PPT等文件格式,支持 12+语言互译。

免费翻译文档

深度研究

AI帮你快速写综述,25分钟生成高质量综述,智能提取关键信息,辅助科研写作。

立即免费体验

孤立性单侧舌萎缩:近头部放疗可能出现的晚期并发症

Isolated Unilateral Tongue Atrophy: A Possible Late Complication of Juxta Cephalic Radiation Therapy.

作者信息

Alqahtani Saeed A, Agha Caroline, Rothstein Ted

机构信息

National Institute of Neurological Disorders and Stroke (NINDS), National Institutes of Health (NIH), Bethesda, MD, USA.

Department of Neurology, The School of Medicine and Health Sciences, The George Washington University, Washington, DC, USA.

出版信息

Am J Case Rep. 2016 Jul 26;17:535-7. doi: 10.12659/ajcr.897989.

DOI:10.12659/ajcr.897989
PMID:27458010
原文链接:https://pmc.ncbi.nlm.nih.gov/articles/PMC4968431/
Abstract

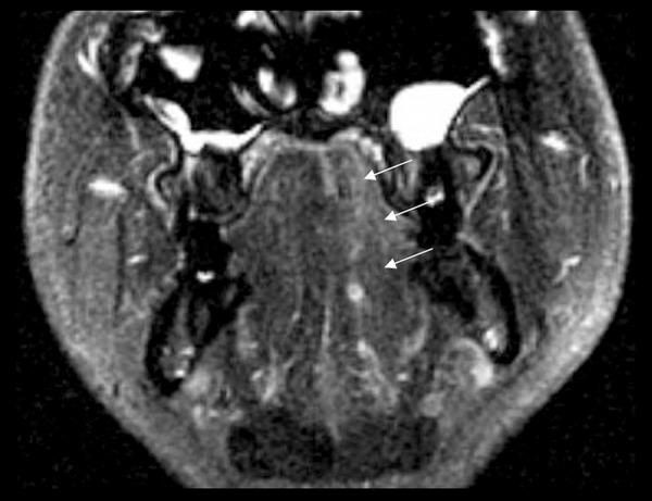
BACKGROUND Isolated unilateral hypoglossal nerve injury is extremely rare. It may be caused by radiation therapy targeting neoplasms of the cephalic region. CASE REPORT A 51-year-old man with synovial sarcoma of the left upper arm status post extensive radiation therapy in 1980 presented in late 2014 with gradual onset of speech difficulty and difficulty moving his tongue for a couple of weeks. Neurological examination revealed isolated left-sided unilateral tongue atrophy. Postradiation residual extensive cicatrix with erythema over the whole left upper extremity extending to the neck on the affected side was noticed. On head magnetic resonance imaging (MRI) before and after administration of gadolinium, he was found to have asymmetrically fatty striations, atrophy, and fibrosis in the left tongue consistent with radiation toxicity. The patient's tongue weakness persisted without improvement. CONCLUSIONS The diagnosis of unilateral hypoglossal nerve injury is usually difficult. Detailed neurological examinations and thorough investigations including head MRI are very helpful. Previous exposure to radiation therapy is a potential cause of hypoglossal nerve injury. To our knowledge, this is the first case report that presents isolated unilateral tongue atrophy as a late complication of juxta cephalic radiation therapy.

摘要

背景

孤立性单侧舌下神经损伤极为罕见。它可能由针对头颈部肿瘤的放射治疗引起。病例报告:一名51岁男性,1980年因左上臂滑膜肉瘤接受广泛放射治疗,2014年末出现渐进性言语困难及数周来舌运动困难。神经系统检查发现孤立性左侧单侧舌萎缩。注意到放疗后残留广泛瘢痕,整个左侧上肢包括患侧颈部出现红斑。在钆剂增强前后的头部磁共振成像(MRI)检查中,发现其左侧舌部存在不对称性脂肪条纹、萎缩及纤维化,符合放射毒性表现。患者的舌肌无力持续存在且无改善。结论:单侧舌下神经损伤的诊断通常较为困难。详细的神经系统检查以及包括头部MRI在内的全面检查非常有帮助。既往接受放射治疗是舌下神经损伤的一个潜在原因。据我们所知,这是首例将孤立性单侧舌萎缩作为头颈部放疗晚期并发症的病例报告。

https://cdn.ncbi.nlm.nih.gov/pmc/blobs/f047/4968431/34ff98650cff/amjcaserep-17-535-g002.jpg
https://cdn.ncbi.nlm.nih.gov/pmc/blobs/f047/4968431/4b8cbeb36aa2/amjcaserep-17-535-g001.jpg
https://cdn.ncbi.nlm.nih.gov/pmc/blobs/f047/4968431/34ff98650cff/amjcaserep-17-535-g002.jpg
https://cdn.ncbi.nlm.nih.gov/pmc/blobs/f047/4968431/4b8cbeb36aa2/amjcaserep-17-535-g001.jpg
https://cdn.ncbi.nlm.nih.gov/pmc/blobs/f047/4968431/34ff98650cff/amjcaserep-17-535-g002.jpg

相似文献

1
Isolated Unilateral Tongue Atrophy: A Possible Late Complication of Juxta Cephalic Radiation Therapy.孤立性单侧舌萎缩:近头部放疗可能出现的晚期并发症
Am J Case Rep. 2016 Jul 26;17:535-7. doi: 10.12659/ajcr.897989.
2
Oral manifestations and differential diagnosis of isolated hypoglossal nerve palsy: report of two cases.
Oral Surg Oral Med Oral Pathol Oral Radiol Endod. 1997 Dec;84(6):635-40. doi: 10.1016/s1079-2104(97)90365-6.
3
Myokymia and neuromyotonia of the tongue: a case report of complication of irradiation.舌部肌束震颤和神经性肌强直:一例放疗并发症报告
Zhonghua Yi Xue Za Zhi (Taipei). 1993 Dec;52(6):413-5.
4
Unilateral hypoglossal nerve atrophy as a late complication of radiation therapy ofhead and neck carcinoma: a report of four cases and a review of the literature on peripheral and cranial nerve damages after radiation therapy.单侧舌下神经萎缩作为头颈部癌放射治疗的晚期并发症:4例报告及放疗后周围神经和颅神经损伤的文献综述
Cancer. 1975 Jun;35(6):1537-44. doi: 10.1002/1097-0142(197506)35:6<1537::aid-cncr2820350610>3.0.co;2-l.
5
Isolated unilateral idiopathic transient hypoglossal nerve palsy.孤立性单侧特发性短暂性舌下神经麻痹。
BMJ Case Rep. 2014 Jun 26;2014:bcr2014203930. doi: 10.1136/bcr-2014-203930.
6
Electromyography findings in radiation-induced unilateral tongue immobility.放射性单侧舌运动障碍的肌电图表现。
Head Neck. 2024 Jun;46(6):1304-1309. doi: 10.1002/hed.27692. Epub 2024 Feb 14.
7
Unilateral tongue atrophy due to an enlarged emissary vein in the hypoglossal canal.
Surg Neurol. 1996 May;45(5):477-9. doi: 10.1016/0090-3019(95)00375-4.
8
Acute tongue swelling, the only initial manifestation of carotid artery dissection: a case report with differentiation of clinical picture.急性舌肿胀,颈动脉夹层的唯一初始表现:一例临床症状鉴别报告
Ann Vasc Surg. 2015 Feb;29(2):365.e17-8. doi: 10.1016/j.avsg.2014.09.029. Epub 2014 Nov 24.
9
CT and MR findings of denervated tongue after radical neck dissection.根治性颈清扫术后失神经支配舌的CT和MR表现。
AJNR Am J Neuroradiol. 1997 Apr;18(4):747-50.
10
Idiopathic Isolated Unilateral Hypoglossal Nerve Palsy: A Report of 2 Cases and Review of the Literature.特发性孤立性单侧舌下神经麻痹:2例报告并文献复习
J Oral Maxillofac Surg. 2018 Jul;76(7):1454-1459. doi: 10.1016/j.joms.2018.01.019. Epub 2018 Feb 2.

本文引用的文献

1
Radiation-induced cranial nerve palsy: a cross-sectional study of nasopharyngeal cancer patients after definitive radiotherapy.放射性颅神经麻痹:根治性放疗后鼻咽癌患者的横断面研究。
Int J Radiat Oncol Biol Phys. 2011 Apr 1;79(5):1421-7. doi: 10.1016/j.ijrobp.2010.01.002. Epub 2010 Jun 3.
2
Isolated hypoglossal nerve palsy: a diagnostic challenge.
Eur Neurol. 2007;58(3):177-81. doi: 10.1159/000104720. Epub 2007 Jul 2.
3
Radiation-related cranial nerve palsy in patients with nasopharyngeal carcinoma.鼻咽癌患者的放射性颅神经麻痹
Cancer. 2002 Jul 15;95(2):404-9. doi: 10.1002/cncr.10668.
4
Radiation optic neuropathy after megavoltage external-beam irradiation: analysis of time-dose factors.兆伏级外照射后放射性视神经病变:时间-剂量因素分析
Int J Radiat Oncol Biol Phys. 1994 Nov 15;30(4):755-63. doi: 10.1016/0360-3016(94)90346-8.
5
Unilateral hypoglossal nerve atrophy as a late complication of radiation therapy ofhead and neck carcinoma: a report of four cases and a review of the literature on peripheral and cranial nerve damages after radiation therapy.单侧舌下神经萎缩作为头颈部癌放射治疗的晚期并发症:4例报告及放疗后周围神经和颅神经损伤的文献综述
Cancer. 1975 Jun;35(6):1537-44. doi: 10.1002/1097-0142(197506)35:6<1537::aid-cncr2820350610>3.0.co;2-l.