Suppr超能文献

肺畸形:新生儿呼吸窘迫及早期手术的预测因素

Pulmonary Malformations: Predictors of Neonatal Respiratory Distress and Early Surgery.

作者信息

Costanzo Sara, Filisetti Claudia, Vella Claudio, Rustico Mariangela, Fontana Paola, Lista Gianluca, Zirpoli Salvatore, Napolitano Marcello, Riccipetitoni Giovanna

机构信息

Department of Pediatric Surgery, V. Buzzi Children's Hospital, Milano, Italy.

Department of Pediatric Surgery, V. Buzzi Children's Hospital, Milano, Italy ; Department of Surgery, PhD School of Experimental Medicine, University of Pavia, Italy.

出版信息

J Neonatal Surg. 2016 Jul 3;5(3):27. doi: 10.21699/jns.v5i3.375. eCollection 2016 Jul-Sep.

Abstract

OBJECTIVES

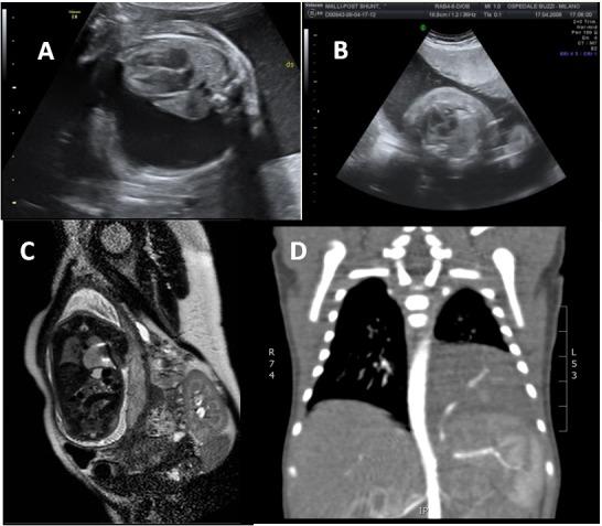
The objective of our study is to retrospectively analyze a single-centre series of antenatally detected pulmonary malformations (PM) and to evaluate their postnatal outcome.

MATERIALS AND METHODS

We retrospectively reviewed all prenatally diagnosed PM patients referred to our Centre in the period between January 1999 and December 2014. All cases were diagnosed by one of our Maternal-Fetal Specialists by US examination. Congenital pulmonary airway malformation (CPAM) volume ratio (CVR), development of fetal complications, need for fetal therapy, need for neonatal resuscitation and timing of surgery were analyzed.

RESULTS

A total of 70 fetuses were diagnosed with a PM in the period of study. An initial CVR higher than 1.6 was found in 16/70 patients (22.8%); 14/16 developed fetal complications (p less than .0001). Fifty-six fetuses (80%) did not develop any complications during pregnancy. To all complicated cases a prenatal treatment was offered, carried out in 12 (1 termination, 1 refusal). Survival rate was 100%. Sixty-three fetuses (90%) were asymptomatic at birth and did not require any neonatal resuscitation. Six patients submitted to fetal therapy and one untreated presented with neonatal respiratory distress, required mechanical ventilation at birth and early surgery in the neonatal period (7/70, 10%).

CONCLUSION

CVR > 1.6 and the presence of fetal complications can be considered as predictors of respiratory distress at birth and of the need for early surgery. Nevertheless, the vast majority of PM are asymptomatic at birth and only a small group of fetuses require prenatal and postnatal treatment and support.

摘要

目的

本研究的目的是回顾性分析单中心一系列产前检测出的肺部畸形(PM),并评估其出生后的结局。

材料与方法

我们回顾性分析了1999年1月至2014年12月期间转诊至本中心的所有产前诊断为PM的患者。所有病例均由我们的母胎专科医生通过超声检查诊断。分析先天性肺气道畸形(CPAM)体积比(CVR)、胎儿并发症的发生情况、胎儿治疗需求、新生儿复苏需求及手术时机。

结果

在研究期间共诊断出70例患有PM的胎儿。70例患者中有16例(22.8%)初始CVR高于1.6;其中14例(16例中的)出现胎儿并发症(p<0.0001)。56例胎儿(80%)在孕期未出现任何并发症。对所有复杂病例均提供了产前治疗,12例接受了治疗(1例终止妊娠,1例拒绝)。存活率为100%。63例胎儿(90%)出生时无症状,无需任何新生儿复苏。6例接受胎儿治疗的患者和1例未治疗的患者出现新生儿呼吸窘迫,出生时需要机械通气并在新生儿期早期进行手术(70例中的7例,10%)。

结论

CVR>1.6及存在胎儿并发症可被视为出生时呼吸窘迫及早期手术需求的预测指标。然而,绝大多数PM出生时无症状,只有一小部分胎儿需要产前和产后治疗及支持。

https://cdn.ncbi.nlm.nih.gov/pmc/blobs/05fc/4942427/88a44ff2c5ef/jns-5-27.f1.jpg

文献检索

告别复杂PubMed语法,用中文像聊天一样搜索,搜遍4000万医学文献。AI智能推荐,让科研检索更轻松。

立即免费搜索

文件翻译

保留排版,准确专业,支持PDF/Word/PPT等文件格式,支持 12+语言互译。

免费翻译文档

深度研究

AI帮你快速写综述,25分钟生成高质量综述,智能提取关键信息,辅助科研写作。

立即免费体验