Suppr超能文献

巨大动脉瘤破裂后发生视网膜分支静脉阻塞的多发性视网膜动脉巨大动脉瘤长期随访病例

Long-Term Follow-Up Case of Multiple Retinal Arterial Macroaneurysms Developing Branch Retinal Vein Occlusion following Ruptured Macroaneurysm.

作者信息

Terubayashi Yuya, Kida Teruyo, Fukumoto Masanori, Sugasawa Jun, Morishita Seita, Suzuki Hiroyuki, Ikeda Tsunehiko

机构信息

Department of Ophthalmology, Osaka Medical College, Takatsuki, Japan.

出版信息

Case Rep Ophthalmol. 2016 May 19;7(1):243-8. doi: 10.1159/000445824. eCollection 2016 Jan-Apr.

Abstract

PURPOSE

Retinal arterial macroaneurysm (RAM) has been reported in association with branch retinal vein occlusion (BRVO), and usually BRVO precedes RAM. We present a long-term follow-up case report of unilateral multiple RAMs that developed BRVO following ruptured RAM in the same retinal quadrant.

CASE PRESENTATION

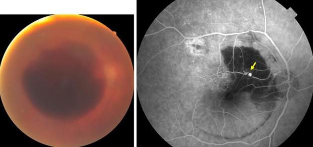
An 80-year-old woman presented with floaters in her right eye in June 2012. Visual acuity (VA) was 20/25 in her right eye with posterior capsular opacity. Her fundus showed the first ruptured RAM at the superotemporal vascular arcade with subinternal limiting membrane and subretinal hemorrhages not involving the macula. These were absorbed gradually with a VA of 20/20. After 2 years, the second RAM at the proximal superotemporal vascular arcade developed and impending BRVO occurred with macular edema at the distal site of the RAM. With the RAM located close to the arteriovenous crossing, her VA was dropped to 20/60. Intravitreal injection of ranibizumab was performed and macular edema was resolved with improved vision of 20/30. Three months later, she realized a sudden vision loss of 2/200. Her posterior pole showed massive pre- and subretinal hemorrhages, and vitrectomy was performed. The source of bleeding was the third RAM's rupture in a different artery. Her vision improved to 20/30. The unaffected eye showed no RAMs.

CONCLUSION

We experienced a long-term follow-up case of multiple RAMs showing different courses. We should cautiously note that BRVO can occur following RAM at the arteriovenous crossing.

摘要

目的

视网膜动脉大动脉瘤(RAM)已被报道与视网膜分支静脉阻塞(BRVO)相关,且通常BRVO先于RAM出现。我们报告一例长期随访病例,该病例为单侧多个RAM,在同一视网膜象限的RAM破裂后发生了BRVO。

病例介绍

一名80岁女性于2012年6月出现右眼飞蚊症。右眼视力(VA)为20/25,伴有后囊混浊。眼底检查显示颞上血管弓处首次出现破裂的RAM,伴有内界膜下和视网膜下出血,但未累及黄斑。这些出血逐渐吸收,视力恢复至20/20。2年后,颞上血管弓近端出现第二个RAM,并在RAM远端部位发生即将出现的BRVO,伴有黄斑水肿。由于RAM靠近动静脉交叉处,她的视力降至20/60。进行了玻璃体内注射雷珠单抗治疗,黄斑水肿消退,视力提高至20/30。3个月后,她突然视力下降至2/200。眼底后极部可见大量视网膜前和视网膜下出血,遂行玻璃体切除术。出血来源是另一支动脉中的第三个RAM破裂。她的视力提高至20/30。未受影响的眼睛未发现RAM。

结论

我们经历了一例多个RAM的长期随访病例,其病程各异。我们应谨慎注意,在动静脉交叉处的RAM之后可能会发生BRVO。

https://cdn.ncbi.nlm.nih.gov/pmc/blobs/10d7/4943772/cf3ff6e7e7bc/cop-0007-0243-g01.jpg

文献AI研究员

20分钟写一篇综述,助力文献阅读效率提升50倍。

立即体验

用中文搜PubMed

大模型驱动的PubMed中文搜索引擎

马上搜索

文档翻译

学术文献翻译模型,支持多种主流文档格式。

立即体验