Suppr超能文献

气肿性附睾睾丸炎作为直肠癌继发前列腺侵犯的一种伪装:一例报告

Emphysematous epididymo-orchitis as a camouflage of prostate invasion secondary to rectum cancer: A case report.

作者信息

Yen Ching-Heng, Liu Chin-Yu, Cha Tai-Lung, Wu Sheng-Tang, Meng En, Sun Guang-Huan, Yu Dah-Shyong, Chen Hong-I, Chang Sun-Yran, Tsao Chih-Wei

机构信息

Division of Urology, Department of Surgery, Tri-Service General Hospital, National Defense Medical Center Division of Urology, Department of Surgery, Tri-Service General Hospital, Song-Shan Branch, Taipei Department of Nutritional Science, Fu Jen Catholic University, New Taipei City Graduate Institute of Medical Sciences, Chang Jung Christian University, Tainan, Taiwan.

出版信息

Medicine (Baltimore). 2016 Jul;95(30):e4385. doi: 10.1097/MD.0000000000004385.

Abstract

INTRODUCTION

Emphysematous epididymo-orchitis is a rare cause of acute scrotum pain characterized by gas formation within the tissue. Diabetes mellitus and recto-seminal fistula secondary to sigmoid diverticulitis are generally accepted as being responsible for this disease. However, prostate invasion secondary to rectal cancer may be considered to be a newly identified pathogenetic mechanism. Herein, we report this rare case and illustrate the pathogenesis.

CASE PRESENTATION

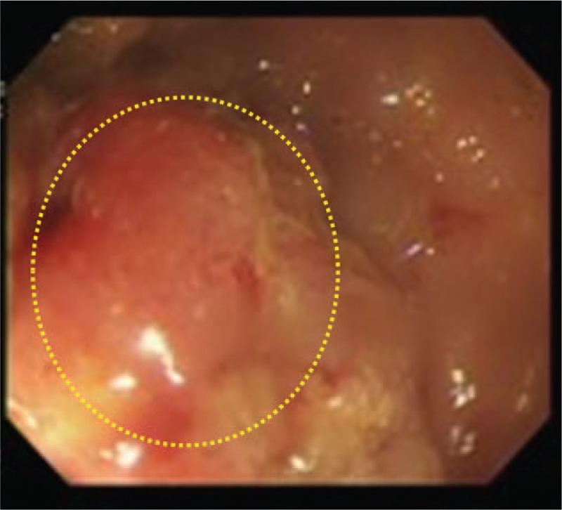
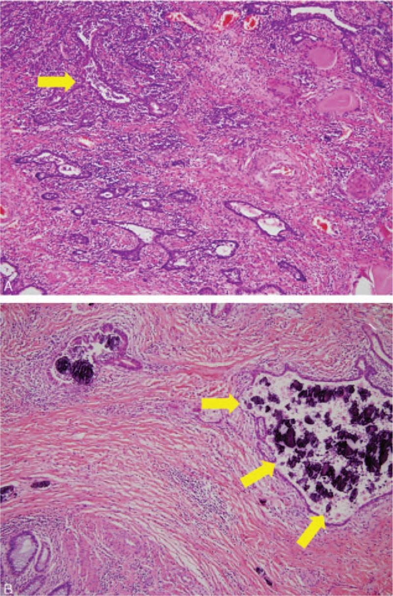
A 69-year-old man arrived at our emergency department presenting with sepsis and acute scrotal pain. Emphysematous epididymo-orchitis was diagnosed by scrotal sonography initially; however, advanced rectal cancer with prostate invasion was diagnosed by CT after a recurrent episode. An exploratory laparotomy with abdominoperineal resection and radical prostectomy were performed after neoadjuvant chemoradiotherapy. Histopathologic analysis confirmed the previous diagnosis. Emphysematous epididymo-orchitis caused by advanced rectal cancer is very rare, and our case is the first to be reported according to a literature search. Neoadjuvant chemoradiotherapy plus extended surgery can achieve a good oncological outcome.

CONCLUSION

This case indicated that the very rare presentation as emphysematous epididymo-orchitis caused by locally advanced colorectal cancer.

摘要

引言

气肿性附睾炎-睾丸炎是急性阴囊疼痛的罕见病因,其特征为组织内形成气体。糖尿病和乙状结肠憩室炎继发的直肠-精囊瘘通常被认为是该疾病的病因。然而,直肠癌继发的前列腺侵犯可能被视为一种新发现的发病机制。在此,我们报告这一罕见病例并阐述其发病机制。

病例介绍

一名69岁男性因脓毒症和急性阴囊疼痛来到我院急诊科。最初通过阴囊超声诊断为气肿性附睾炎-睾丸炎;然而,复发后通过CT诊断为晚期直肠癌伴前列腺侵犯。在新辅助放化疗后进行了经腹会阴联合切除术和根治性前列腺切除术的探查性剖腹手术。组织病理学分析证实了先前的诊断。由晚期直肠癌引起的气肿性附睾炎-睾丸炎非常罕见,根据文献检索,我们的病例是首例报道。新辅助放化疗加扩大手术可取得良好的肿瘤学结果。

结论

该病例表明,局部晚期结直肠癌以气肿性附睾炎-睾丸炎这种非常罕见的形式表现。

https://cdn.ncbi.nlm.nih.gov/pmc/blobs/067f/5265868/544d952414ba/medi-95-e4385-g001.jpg

文献AI研究员

20分钟写一篇综述,助力文献阅读效率提升50倍。

立即体验

用中文搜PubMed

大模型驱动的PubMed中文搜索引擎

马上搜索

文档翻译

学术文献翻译模型,支持多种主流文档格式。

立即体验