Suppr超能文献

金德勒综合征:一对兄妹的故事。

Kindler's Syndrome: A Tale of Two Siblings.

作者信息

Handa Navya, Kachhawa Dilip, Jain Vinod Kumar, Rao Pankaj, Das Anupam

机构信息

Department of Dermatology, Dr. S. N. Medical College, Jodhpur, Rajasthan, India.

Department of Dermatology, KPC Medical College and Hospital, Kolkata, West Bengal, India.

出版信息

Indian J Dermatol. 2016 Jul-Aug;61(4):468. doi: 10.4103/0019-5154.185767.

Abstract

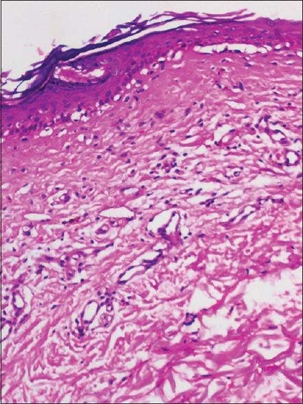
Kindler's syndrome (KS) is a rare inherited skin disease characterized by acral blistering, photosensitivity, progressive poikiloderma, and cutaneous atrophy along with different types of mucosal involvement. We hereby report KS in two siblings. The case is being reported for its rarity and for emphasizing the importance of considering this condition in the differential diagnosis of disorders that may cause blistering, cutaneous atrophy, and/or poikilodermatous skin changes. Besides, the presentation of the disease in two of the members of the same family makes the case even more interesting.

摘要

金德勒综合征(KS)是一种罕见的遗传性皮肤病,其特征为肢端水疱形成、光敏性、进行性皮肤异色症、皮肤萎缩以及不同类型的黏膜受累。我们在此报告一对患有KS的兄弟姐妹。报告该病例是因其罕见性,以及强调在可能导致水疱形成、皮肤萎缩和/或皮肤异色症样皮肤改变的疾病鉴别诊断中考虑这种病症的重要性。此外,同一家族中的两名成员患病,使该病例更具趣味性。

https://cdn.ncbi.nlm.nih.gov/pmc/blobs/9ef2/4966427/7317a5b9f062/IJD-61-468d-g001.jpg

文献AI研究员

20分钟写一篇综述,助力文献阅读效率提升50倍。

立即体验

用中文搜PubMed

大模型驱动的PubMed中文搜索引擎

马上搜索

文档翻译

学术文献翻译模型,支持多种主流文档格式。

立即体验