Meelu Omar A, Baber Usman, Theodoropoulos Kleanthis, Mennuni Marco G, Kini Annapoorna S, Sharma Samin K
Mount Sinai Heart Mount Sinai Medical Center New York New York USA.
Clin Case Rep. 2016 Jul 13;4(8):793-6. doi: 10.1002/ccr3.621. eCollection 2016 Aug.
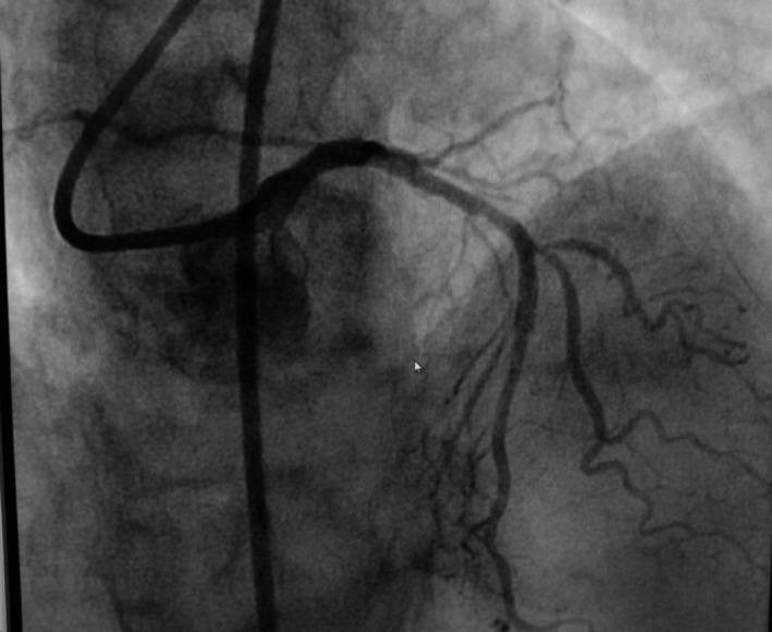
Possible links between inflammatory stimuli and atherothrombotic disease in the context of gallbladder pathology are not well understood. Our case demonstrates that clinical suspicion of cardiac disease after a diagnosis of acute cholecystitis should remain high in light of the dire consequences of a missed diagnosis.
在胆囊病理情况下,炎症刺激与动脉粥样硬化血栓形成疾病之间的潜在联系尚未完全明确。我们的病例表明,鉴于漏诊的严重后果,在诊断为急性胆囊炎后,对心脏病的临床怀疑应保持高度警惕。