Suppr超能文献

使用数字化全景X线摄影术确定颏孔位置

Location of mental foramen using digital panoramic Radiography.

作者信息

Mohamed Ajmal, Nataraj Kannan, Mathew Vinod B, Varma Beena, Mohamed Shamil, Valappila Nidhin J, Meena Aravind S

机构信息

Department of Oral Medicine, Royal Dental College, Chalissery, Kerala, India.

Department of Oral Medicine, Narayana Dental College, Nellore, Andhra Pradesh, India.

出版信息

J Forensic Dent Sci. 2016 May-Aug;8(2):79-82. doi: 10.4103/0975-1475.186365.

Abstract

OBJECTIVE

Comparative evaluation of the location of mental foramen in different age groups. Determine the variation in position of mental foramen with gender using digital panoramic radiography.

MATERIALS AND METHODS

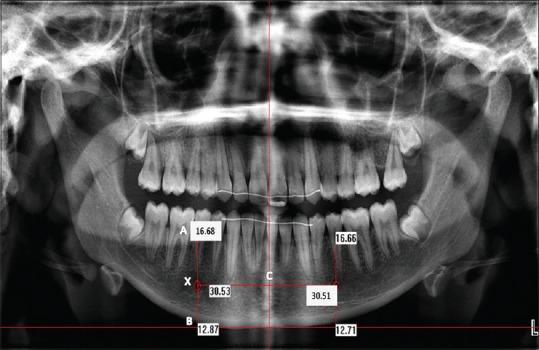
Digital panoramic radiographs of 250 patients were reviewed. The study population was divided into five age groups with 50 patients each. Radiographic position of mental foramen was evaluated in each radiograph based on three parameters. Measurements were taken in each radiograph using Planmeca Dimaxis pro version 4.4.0 (Helsinki, Finland). The collected data were subjected to statistical analysis using paired Student's t-test.

RESULTS

The mean distance of position of mental foramen showed a significant variation within the five age groups. In the first group, female patients showed an increase in mean distance of mental foramen position in relation to three parameters. From the second to fifth groups, male patient showed an increase in the mean distance of mental foramen position. The first and fifth group showed a reduced mean distance of mental foramen position when compared to other age groups.

CONCLUSION

This study concluded that the position of mental foramen varies with age. There was a gender-related variation in position of mental foramen within the population too.

摘要

目的

比较评估不同年龄组颏孔的位置。使用数字化全景X线片确定颏孔位置在性别上的差异。

材料与方法

回顾250例患者的数字化全景X线片。研究人群分为五个年龄组,每组50例患者。根据三个参数评估每张X线片中颏孔的影像学位置。使用普兰梅卡Dimaxis pro 4.4.0版本(芬兰赫尔辛基)在每张X线片中进行测量。对收集的数据采用配对学生t检验进行统计分析。

结果

颏孔位置的平均距离在五个年龄组内显示出显著差异。在第一组中,女性患者在三个参数方面颏孔位置的平均距离增加。从第二组到第五组,男性患者颏孔位置的平均距离增加。与其他年龄组相比,第一组和第五组颏孔位置的平均距离减小。

结论

本研究得出结论,颏孔位置随年龄变化。在人群中颏孔位置也存在与性别相关的差异。

https://cdn.ncbi.nlm.nih.gov/pmc/blobs/5862/4970418/c56f8864db25/JFDS-8-79-g001.jpg

文献AI研究员

20分钟写一篇综述,助力文献阅读效率提升50倍。

立即体验

用中文搜PubMed

大模型驱动的PubMed中文搜索引擎

马上搜索

文档翻译

学术文献翻译模型,支持多种主流文档格式。

立即体验