Anjana Ramamurti, Murali Nirupama, Malathi Narasimhan, Suresh Ranga Rao
Department of Periodontology, Faculty of Dental Sciences, Sri Ramachandra University, Chennai, Tamil Nadu, India.
Department of Oral Pathology, Faculty of Dental Sciences, Sri Ramachandra University, Chennai, Tamil Nadu, India.
J Indian Soc Periodontol. 2016 May-Jun;20(3):336-9. doi: 10.4103/0972-124X.179897.
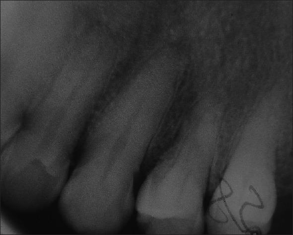
Odontogenic tumors (OTs) arising from the periodontium are quite rare. Squamous OT (SOT) is one such neoplasm which has an exceedingly rare occurrence. According to the literature, there have been very few reported cases of SOT with a very small percentage involving the gingiva. Most of the times, these tumors are located within the bone, only a very few peripheral cases been noted so far. Although predominantly benign, the possibility of a malignant transformation prevails. Our case describes a rare presentation of a peripheral SOT involving the upper anterior gingiva in a 59-year-old patient, which presented clinically as a firm and fibrotic swelling. An excisional biopsy was performed as a part of surgical management and for microscopic evaluation to confirm the clinical diagnosis. A soft tissue graft was harvested from an edentulous area to cover the deficit at the surgical site. The patient was evaluated at periodic intervals to assess the healing outcome and for any recurrence of the lesion.
源自牙周组织的牙源性肿瘤(OTs)相当罕见。鳞状牙源性肿瘤(SOT)就是这样一种极为罕见的肿瘤。据文献记载,SOT的报道病例极少,累及牙龈的病例占比非常小。大多数情况下,这些肿瘤位于骨内,迄今为止仅发现极少数外周型病例。尽管主要为良性,但仍存在恶变的可能性。我们的病例描述了一名59岁患者罕见的外周型SOT累及上前牙龈的情况,临床上表现为质地坚硬的纤维化肿胀。作为手术治疗的一部分,进行了切除活检并进行显微镜评估以确诊临床诊断。从无牙区采集软组织移植物以覆盖手术部位的缺损。定期对患者进行评估,以评估愈合效果及病变是否复发。