Zakoji Hidenori, Miyamoto Tatsuya, Kira Satoru, Sawada Norifumi, Ootake Yuko, Shimura Hiroshi, Mitsui Takahiko, Takeda Masayuki
Department of Urology, Faculty of Medicine, University of Yamanashi , Chuo, Yamanashi, Japan .
J Endourol Case Rep. 2015 Nov 1;1(1):56-8. doi: 10.1089/cren.2015.0018. eCollection 2015.
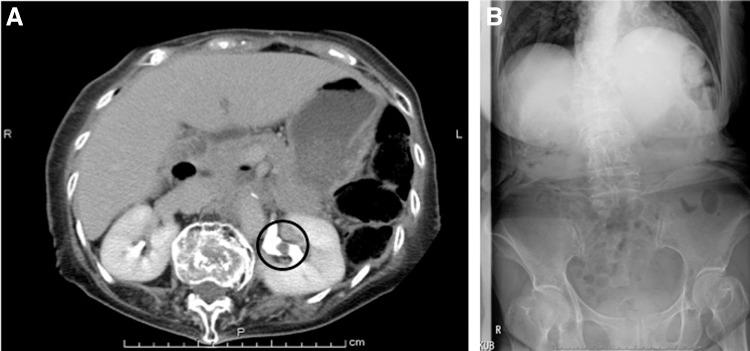
Kyphosis is usually described as the deformity of the spine that results in an abnormally round back. Patients with kyphosis form a challenging group to laparoscopic surgeons because of difficulties in positioning and abdominal approach. The narrow abdomen causes difficulty with trocar insertion and some operative procedures. Here we report the transperitoneal complete laparoscopic nephroureterectomy in a case of kyphosis. An 81-year-old woman underwent this operation for urothelial carcinoma of the upper urinary tract. We took best care of the positioning and the trocar insertion; we could have accomplished utilizing four ports at semilateral position without any troubles and complications. This procedure is safe and feasible, and not thought to be a contraindication for the patients with senile kyphosis.