Suppr超能文献

一名酒精戒断患者的中央桥脑髓鞘溶解症的临床演变:模糊的临床前景。

Clinical Evolution of Central Pontine Myelinolysis in a Patient with Alcohol Withdrawal: A Blurred Clinical Horizon.

作者信息

Mohammed Abdul S, Boddu Prajwal, Yazdani Dina F

机构信息

Department of Internal Medicine, Advocate Illinois Masonic Medical Center, 2356 N. Elston Avenue, No. 306, Chicago, IL 60614, USA.

Department of Internal Medicine, Advocate Illinois Masonic Medical Center, 856 W. Nelson Street, Apartment 2002, Chicago, IL 60657, USA.

出版信息

Case Rep Med. 2016;2016:6065259. doi: 10.1155/2016/6065259. Epub 2016 Aug 16.

Abstract

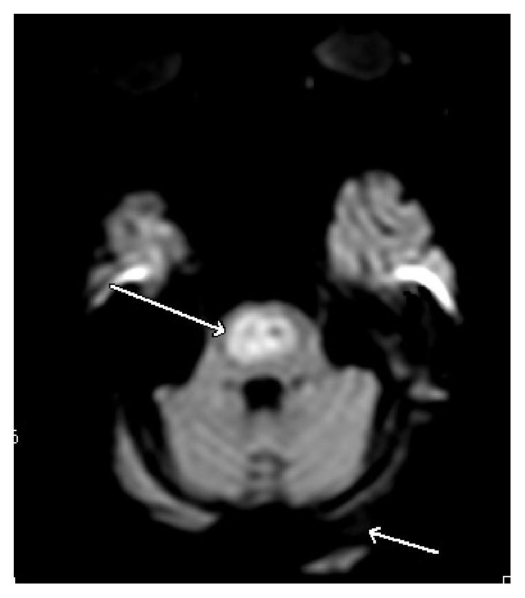
Central pontine myelinolysis (CPM), a potentially fatal and debilitating neurological condition, was first described in 1959 in a study on alcoholic and malnourished patients. It is a condition most frequently related to rapid correction of hyponatremia. Chronic alcoholism associated CPM tends to be benign with a favorable prognosis compared to CPM secondary to rapid correction of hyponatremia. We describe a normonatremic, alcoholic patient who presented with CPM after a rapid rise in his sodium levels. Our case illustrates the fact that CPM can manifest even in patients who are normonatremic at baseline. Rapid rises in sodium levels should be promptly reversed before clinical symptoms manifest in patient with risk factors for CPM irrespective of their baseline sodium levels. Furthermore, clinical evolution of CPM can be difficult to discern from the natural course of alcohol withdrawal delirium, requiring astuteness and maintenance of a high degree of clinical suspicion on the part of the physician.

摘要

桥脑中央髓鞘溶解症(CPM)是一种潜在致命且使人衰弱的神经系统疾病,于1959年在一项针对酗酒和营养不良患者的研究中首次被描述。它是一种最常与低钠血症快速纠正相关的疾病。与因低钠血症快速纠正继发的CPM相比,慢性酒精中毒相关的CPM往往预后良好,较为良性。我们描述了一名血钠正常的酗酒患者,其血钠水平快速上升后出现了CPM。我们的病例说明了即使是基线血钠正常的患者也可能出现CPM这一事实。对于有CPM危险因素的患者,无论其基线血钠水平如何,在临床症状出现之前,应迅速逆转血钠水平的快速上升。此外,CPM的临床进展可能难以与酒精戒断谵妄的自然病程相区分,这需要医生保持敏锐并高度临床怀疑。

https://cdn.ncbi.nlm.nih.gov/pmc/blobs/1cfd/5004014/59600949e8d7/CRIM2016-6065259.001.jpg

文献AI研究员

20分钟写一篇综述,助力文献阅读效率提升50倍。

立即体验

用中文搜PubMed

大模型驱动的PubMed中文搜索引擎

马上搜索

文档翻译

学术文献翻译模型,支持多种主流文档格式。

立即体验