• 文献检索
  • 文档翻译
  • 深度研究
  • 学术资讯
  • Suppr Zotero 插件Zotero 插件
  • 邀请有礼
  • 套餐&价格
  • 历史记录
应用&插件
Suppr Zotero 插件Zotero 插件浏览器插件Mac 客户端Windows 客户端微信小程序
定价
高级版会员购买积分包购买API积分包
服务
文献检索文档翻译深度研究API 文档MCP 服务
关于我们
关于 Suppr公司介绍联系我们用户协议隐私条款
关注我们

Suppr 超能文献

核心技术专利:CN118964589B侵权必究
粤ICP备2023148730 号-1Suppr @ 2026

文献检索

告别复杂PubMed语法,用中文像聊天一样搜索,搜遍4000万医学文献。AI智能推荐,让科研检索更轻松。

立即免费搜索

文件翻译

保留排版,准确专业,支持PDF/Word/PPT等文件格式,支持 12+语言互译。

免费翻译文档

深度研究

AI帮你快速写综述,25分钟生成高质量综述,智能提取关键信息,辅助科研写作。

立即免费体验

儿童上睑纤维脂肪瘤。

Fibrolipoma on upper eyelid in child.

作者信息

Corredor-Osorio Rafael, Ramos-Pineda Nelly, Eugenia Orellana María

机构信息

Instituto Venezolano de Oftalmología, Barquisimeto (Lara), Venezuela.

Ocular Pathology, Section Pathology Institute Dr. Jose A. O'Daly, Universidad Central de Venezuela, Caracas, Venezuela.

出版信息

GMS Ophthalmol Cases. 2016 Mar 17;6:Doc03. doi: 10.3205/oc000040. eCollection 2016.

DOI:10.3205/oc000040
PMID:27625962
原文链接:https://pmc.ncbi.nlm.nih.gov/articles/PMC5015794/
Abstract

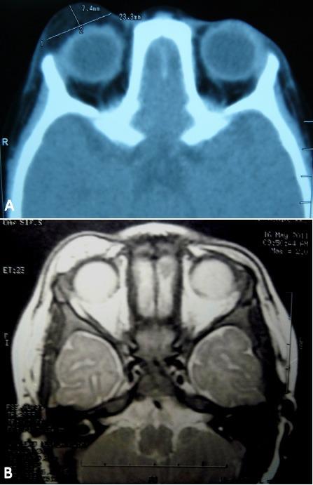
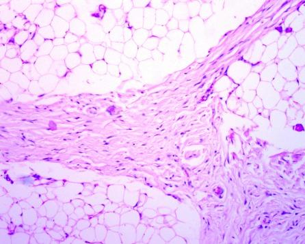
An 18-months-old male infant presented with a rapidly growing tumor on the right upper eyelid. Orbital computed tomography (CT) revealed a large, well-circumscribed mass with low density signal in the right upper eyelid. Magnetic resonance images (MRI) showed a lesion of mixed T1-signal intensity and high signal intensity in T2-weighted images. The tumor was treated by simple anterior orbitotomy with excisional biopsy, and the diagnosis of fibrolipoma was made by histopathologic examination. There was no evidence of tumor at the four-year follow-up. Fibrolipoma is one of the rare variant of the lipoma and only four cases have been reported in the orbit including the present case. Except for this case all other cases were reported in adults.

摘要

一名18个月大的男婴因右上眼睑出现迅速生长的肿瘤前来就诊。眼眶计算机断层扫描(CT)显示右上眼睑有一个大的、边界清晰的肿块,呈低密度信号。磁共振成像(MRI)显示在T1加权图像上病变信号强度混合,在T2加权图像上呈高信号强度。该肿瘤通过单纯前路眼眶切开术及切除活检进行治疗,组织病理学检查诊断为纤维脂肪瘤。四年随访时未发现肿瘤迹象。纤维脂肪瘤是脂肪瘤的罕见变体之一,包括本病例在内,眼眶内仅报告过4例。除本病例外,其他所有病例均报告于成人。

https://cdn.ncbi.nlm.nih.gov/pmc/blobs/aa51/5015794/a00b43b31325/OC-06-03-g-004.jpg
https://cdn.ncbi.nlm.nih.gov/pmc/blobs/aa51/5015794/4a1cd2878752/OC-06-03-g-001.jpg
https://cdn.ncbi.nlm.nih.gov/pmc/blobs/aa51/5015794/34033e7f307c/OC-06-03-g-002.jpg
https://cdn.ncbi.nlm.nih.gov/pmc/blobs/aa51/5015794/3ba87e07a891/OC-06-03-g-003.jpg
https://cdn.ncbi.nlm.nih.gov/pmc/blobs/aa51/5015794/a00b43b31325/OC-06-03-g-004.jpg
https://cdn.ncbi.nlm.nih.gov/pmc/blobs/aa51/5015794/4a1cd2878752/OC-06-03-g-001.jpg
https://cdn.ncbi.nlm.nih.gov/pmc/blobs/aa51/5015794/34033e7f307c/OC-06-03-g-002.jpg
https://cdn.ncbi.nlm.nih.gov/pmc/blobs/aa51/5015794/3ba87e07a891/OC-06-03-g-003.jpg
https://cdn.ncbi.nlm.nih.gov/pmc/blobs/aa51/5015794/a00b43b31325/OC-06-03-g-004.jpg

相似文献

1
Fibrolipoma on upper eyelid in child.儿童上睑纤维脂肪瘤。
GMS Ophthalmol Cases. 2016 Mar 17;6:Doc03. doi: 10.3205/oc000040. eCollection 2016.
2
Fibrolipoma of the orbit.眼眶纤维脂肪瘤。
Ophthalmic Plast Reconstr Surg. 2011 Jan-Feb;27(1):e16-8. doi: 10.1097/IOP.0b013e3181dee5fb.
3
Fibrolipoma of the orbit.眼眶纤维脂肪瘤。
Ophthalmic Plast Reconstr Surg. 2013 May-Jun;29(3):e79-81. doi: 10.1097/IOP.0b013e318272f32b.
4
Neural fibrolipoma of the superficial peroneal nerve in the ankle: a case report with immunohistochemical analysis.
Pathol Int. 2002 Nov;52(11):730-3. doi: 10.1046/j.1440-1827.2002.01412.x.
5
A girl with a giant fibrolipoma in her thoracic cavity: a rare case report.一名胸腔内患有巨大纤维脂肪瘤的女孩:一例罕见病例报告。
J Med Case Rep. 2019 May 7;13(1):140. doi: 10.1186/s13256-019-2032-9.
6
Diagnosis and treatment of upper eyelid lipoma: A case report.上睑脂肪瘤的诊断与治疗:一例报告
Am J Ophthalmol Case Rep. 2020 Aug 18;20:100874. doi: 10.1016/j.ajoc.2020.100874. eCollection 2020 Dec.
7
Orbital Lipoma as an Uncommon Cause of Unilateral Proptosis: A Case Report.眼眶脂肪瘤作为单侧眼球突出的罕见病因:一例报告
Int Med Case Rep J. 2020 Sep 11;13:415-418. doi: 10.2147/IMCRJ.S266285. eCollection 2020.
8
Fibrolipoma of the ring finger: MR imaging and histological correlation.环指纤维脂肪瘤:MR 成像与组织学相关性。
In Vivo. 2013 Jul-Aug;27(4):541-4.
9
Intrathoracic fibrolipoma resected using complete thoracoscopic surgery: a case report.采用全胸腔镜手术切除的胸内纤维脂肪瘤:一例报告
J Cardiothorac Surg. 2018 Nov 14;13(1):112. doi: 10.1186/s13019-018-0808-4.
10
Angiolipoma of the Orbit: A Rare Tumor in an Unusual Location.
Ophthalmic Plast Reconstr Surg. 2015 Nov-Dec;31(6):e142-5. doi: 10.1097/IOP.0000000000000180.

引用本文的文献

1
A girl with a giant fibrolipoma in her thoracic cavity: a rare case report.一名胸腔内患有巨大纤维脂肪瘤的女孩:一例罕见病例报告。
J Med Case Rep. 2019 May 7;13(1):140. doi: 10.1186/s13256-019-2032-9.

本文引用的文献

1
Intraoral lipoma: a case report.口腔内脂肪瘤:一例报告。
Case Rep Med. 2014;2014:480130. doi: 10.1155/2014/480130. Epub 2014 Jan 30.
2
Trauma as pathogenesis of a plantar forefoot fibrolipoma: first case and review of the literature.创伤作为足底前足纤维脂肪瘤的发病机制:首例病例及文献综述
Case Rep Surg. 2013;2013:691276. doi: 10.1155/2013/691276. Epub 2013 Dec 24.
3
Fibrolipoma of the nasal septum; report of the first case.鼻中隔纤维脂肪瘤;首例报告。
J Otolaryngol Head Neck Surg. 2013 Feb 2;42(1):11. doi: 10.1186/1916-0216-42-11.
4
Lipomas of oral cavity: case reports with review of literature.口腔脂肪瘤:病例报告及文献综述
J Maxillofac Oral Surg. 2009 Dec;8(4):394-7. doi: 10.1007/s12663-009-0096-6. Epub 2010 Apr 24.
5
Fibrolipoma of buccal mucosa.颊黏膜纤维脂肪瘤
Contemp Clin Dent. 2012 Apr;3(Suppl 1):S112-4. doi: 10.4103/0976-237X.95119.
6
Oral fibrolipoma-a rare histological entity: report of 3 cases and review of literature.口腔纤维脂肪瘤——一种罕见的组织学实体:3例报告及文献复习
J Dent (Tehran). 2010 Fall;7(4):226-31. Epub 2010 Sep 30.
7
Fibrolipoma of the orbit.眼眶纤维脂肪瘤。
Ophthalmic Plast Reconstr Surg. 2011 Jan-Feb;27(1):e16-8. doi: 10.1097/IOP.0b013e3181dee5fb.
8
Oral lipomas in a Brazilian population: a 10-year study and analysis of 450 cases reported in the literature.巴西人群中的口腔脂肪瘤:10 年研究及对文献中报道的 450 例病例的分析。
Med Oral Patol Oral Cir Bucal. 2010 Sep 1;15(5):e691-6. doi: 10.4317/medoral.15.e691.
9
A case of orbital lipoma with exophthalmos and visual disturbance.1例伴有眼球突出和视觉障碍的眼眶脂肪瘤。
Jpn J Ophthalmol. 2009 Jul;53(4):442-4. doi: 10.1007/s10384-009-0679-2. Epub 2009 Sep 8.
10
Giant fibrolipoma mimicking abdominal lipodystrophy.酷似腹部脂肪营养不良的巨大纤维脂肪瘤。
Indian J Plast Surg. 2008 Jan;41(1):97-8. doi: 10.4103/0970-0358.41127.