Fleckenstein Florian Nima, Schernthaner Rüdiger Egbert, Duran Rafael, Sohn Jae Ho, Sahu Sonia, Marshall Karen, Lin MingDe, Gebauer Bernhard, Chapiro Julius, Salem Riad, Geschwind Jean-François
Yale University School of Medicine, Yale New Haven Hospital, New Haven, CT, USA; Department of Diagnostic and Interventional Radiology, Charité Universitätsmedizin, Campus Virchow Klinikum, Berlin, Germany.
Medical University of Vienna, Department of Biomedical Imaging and Image-Guided Therapy, Vienna, Austria.
Transl Oncol. 2016 Oct;9(5):377-383. doi: 10.1016/j.tranon.2016.07.005. Epub 2016 Sep 12.
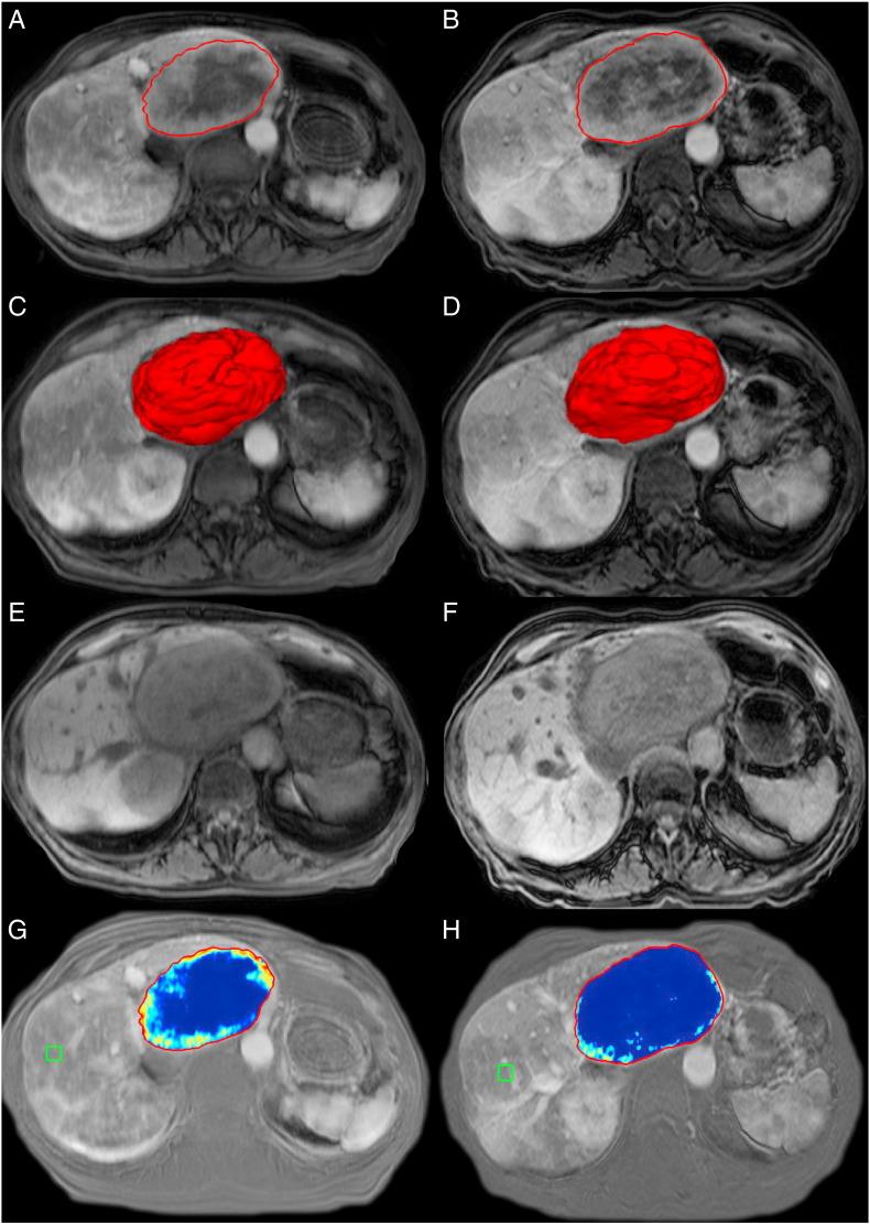
Liver metastases from renal cell carcinoma (RCC) are not uncommon in the course of disease. However, data about tumor response to intraarterial therapy (IAT) are scarce. This study assessed whether changes of enhancing tumor volume using quantitative European Association for the Study of the Liver (qEASL) on magnetic resonance imaging (MRI) and computed tomography (CT) can evaluate tumor response and predict overall survival (OS) early after therapy.
Fourteen patients with liver metastatic RCC treated with IAT (transarterial chemoembolization: n= 9 and yttrium-90: n= 5) were retrospectively included. All patients underwent contrast-enhanced imaging (MRI: n= 10 and CT: n= 4) 3 to 4 weeks pre- and posttreatment. Response to treatment was evaluated on the arterial phase using Response Evaluation Criteria in Solid Tumors (RECIST), World Health Organization, modified RECIST, EASL, tumor volume, and qEASL. Paired t test was used to compare measurements pre- and post-IAT. Patients were stratified into responders (≥65% decrease in qEASL) and nonresponders (<65% decrease in qEASL). OS was evaluated using Kaplan-Meier curves with log-rank test and the Cox proportional hazard model.
Mean qEASL (cm) decreased from 93.5 to 67.2 cm (P= .004) and mean qEASL (%) from 63.1% to 35.6% (P= .001). No significant changes were observed using other response criteria. qEASL was the only significant predictor of OS when used to stratify patients into responders and nonresponders with median OS of 31.9 versus 11.1 months (hazard ratio [HR], 0.43; 95% confidence interval [CI], 0.19-0.97; P= .042) for qEASL (cm) and 29.9 versus 10.2 months (HR, 0.09; 95% CI, 0.01-0.74; P= .025) for qEASL (%).
Three-dimensional (3D) quantitative tumor analysis is a reliable predictor of OS when assessing treatment response after IAT in patients with RCC metastatic to the liver. qEASL outperforms conventional non-3D methods and can be used as a surrogate marker for OS early after therapy.
肾细胞癌(RCC)肝转移在疾病过程中并不少见。然而,关于肿瘤对动脉内治疗(IAT)反应的数据却很稀少。本研究评估了在磁共振成像(MRI)和计算机断层扫描(CT)上使用定量欧洲肝脏研究协会(qEASL)测量的强化肿瘤体积变化是否能够在治疗后早期评估肿瘤反应并预测总生存期(OS)。
回顾性纳入了14例接受IAT治疗(经动脉化疗栓塞:n = 9;钇-90:n = 5)的RCC肝转移患者。所有患者在治疗前3至4周和治疗后均接受了对比增强成像检查(MRI:n = 10;CT:n = 4)。在动脉期使用实体瘤疗效评价标准(RECIST)、世界卫生组织标准、改良RECIST标准、EASL标准、肿瘤体积和qEASL标准评估治疗反应。采用配对t检验比较IAT前后的测量值。将患者分为反应者(qEASL降低≥65%)和无反应者(qEASL降低<65%)。使用Kaplan-Meier曲线和对数秩检验以及Cox比例风险模型评估总生存期。
平均qEASL(cm)从93.5降至67.2 cm(P = .004),平均qEASL(%)从63.1%降至35.6%(P = .001)。使用其他反应标准未观察到显著变化。当用于将患者分为反应者和无反应者时,qEASL是总生存期的唯一显著预测指标,qEASL(cm)的中位总生存期为31.9个月对11.1个月(风险比[HR],0.43;95%置信区间[CI],0.19 - 0.97;P = .042),qEASL(%)的中位总生存期为29.9个月对10.2个月(HR,0.09;95%CI,0.01 - 0.74;P = .025)。
在评估RCC肝转移患者IAT后的治疗反应时,三维(3D)定量肿瘤分析是总生存期的可靠预测指标。qEASL优于传统的非3D方法,可作为治疗后早期总生存期的替代标志物。